GLS2 Antibody (CL7716) - Azide and BSA Free
Novus Biologicals, part of Bio-Techne | Catalog # NBP3-44209
Conjugate
Catalog #
Forumulation
Catalog #
Key Product Details
Validated by
Orthogonal Validation
Species Reactivity
Human
Applications
Immunohistochemistry-Paraffin
Label
Unconjugated
Antibody Source
Monoclonal Mouse IgG2A Clone # CL7716
Format
Azide and BSA Free
Concentration
LYOPH mg/ml
Product Specifications
Immunogen
This antibody was generated using a synthetic peptide of Q9UI32, with the exact immunogen sequence remaining proprietary.
Clonality
Monoclonal
Host
Mouse
Isotype
IgG2A
Description
Novus Biologicals Mouse GLS2 Antibody (CL7716) - Azide and BSA Free (NBP2-88907) is a monoclonal antibody validated for use in IHC. All Novus Biologicals antibodies are covered by our 100% guarantee.
Scientific Data Images for GLS2 Antibody (CL7716) - Azide and BSA Free
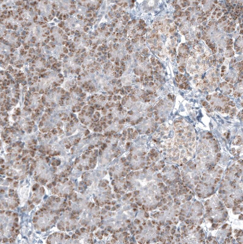
Immunohistochemistry-Paraffin: GLS2 Antibody [NBP3-44209]
Staining of human pancreas shows moderate granular cytoplasmic positivity in exocrine glandular cells.Immunohistochemistry-Paraffin: GLS2 Antibody [NBP3-44209]
Staining of human skeletal muscle shows no positivity in myocytes as expected.Applications for GLS2 Antibody (CL7716) - Azide and BSA Free
Application
Recommended Usage
Immunohistochemistry-Paraffin
1:500 - 1:1000
Application Notes
For IHC-Paraffin, HIER pH 6 retrieval is recommended.
Formulation, Preparation, and Storage
Purification
Protein A purified
Reconstitution
Centrifuge the vial of lyophilized antibody at 12,000 x g for 20 seconds. Reconstitute by adding sterile, distilled water to achieve a final antibody concentration of 1mg/ml.
Formulation
Lyophilized from a 0.2 um filtered solution in PBS with Trehalose
Format
Azide and BSA Free
Preservative
No Preservative
Concentration
LYOPH mg/ml
Shipping
The product is shipped at ambient temperature. Upon receipt, store it immediately at the temperature recommended below.
Stability & Storage
Store at 4C short term. Aliquot and store at -20C long term. Avoid freeze-thaw cycles.
Background: GLS2
Alternate Names
EC 3.5.1.2, GAbreast cell glutaminase, GLSglutaminase GA, glutaminase 2 (liver, mitochondrial), glutaminase I, glutaminase liver isoform, mitochondrial, hLGA, LGA, L-glutaminase, L-glutamine amidohydrolase, MGC71567, phosphate-activated glutaminase, phosphate-dependent glutaminase, truncated glutaminase 2
Gene Symbol
GLS2
Additional GLS2 Products
Product Documents for GLS2 Antibody (CL7716) - Azide and BSA Free
Product Specific Notices for GLS2 Antibody (CL7716) - Azide and BSA Free
This product is for research use only and is not approved for use in humans or in clinical diagnosis. Primary Antibodies are guaranteed for 1 year from date of receipt.
Loading...
Loading...
Loading...
Loading...
Loading...