Skip to main content

GLI-1 Antibody (CL12193) - Azide and BSA Free

Novus Biologicals, part of Bio-Techne | Catalog # NBP3-44013

Novus Biologicals, part of Bio-Techne

Key Product Details

Species Reactivity

Human, Mouse

Applications

Immunohistochemistry-Paraffin, Immunocytochemistry/ Immunofluorescence

Label

Unconjugated

Antibody Source

Monoclonal Mouse IgG2B Clone # CL12193

Format

Azide and BSA Free

Concentration

LYOPH mg/ml

Product Specifications

Immunogen

This antibody was generated using a synthetic peptide of P08151, with the exact immunogen sequence remaining proprietary.

Clonality

Monoclonal

Host

Mouse

Isotype

IgG2B

Description

Novus Biologicals Mouse GLI-1 Antibody (CL12193) - Azide and BSA Free (NBP3-15131) is a monoclonal antibody validated for use in IHC and ICC/IF. All Novus Biologicals antibodies are covered by our 100% guarantee.

Scientific Data Images for GLI-1 Antibody (CL12193) - Azide and BSA Free

GLI-1 Antibody (CL12193) - Azide and BSA Free Immunohistochemistry-Paraffin: GLI-1 Antibody [NBP3-44013]

Immunohistochemistry-Paraffin: GLI-1 Antibody [NBP3-44013]

Staining of human cerebellum shows moderate nuclear positivity in Purkinje cells, as well as in neurons in molecular layer.
GLI-1 Antibody (CL12193) - Azide and BSA Free Immunohistochemistry-Paraffin: GLI-1 Antibody [NBP3-44013]

Immunohistochemistry-Paraffin: GLI-1 Antibody [NBP3-44013]

Staining of human liver shows no positivity in hepatocytes as expected.
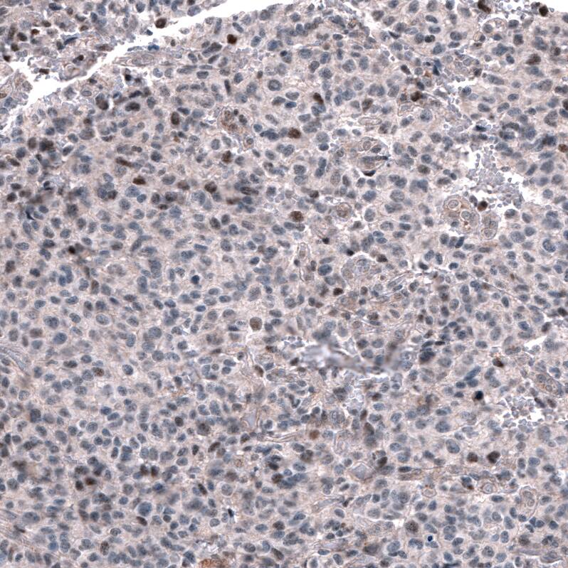
GLI-1 Antibody (CL12193) - Azide and BSA Free Immunohistochemistry-Paraffin: GLI-1 Antibody [NBP3-44013]

Immunohistochemistry-Paraffin: GLI-1 Antibody [NBP3-44013]

Staining of human oligodendroglioma shows moderate nuclear positivity in a subset of tumor cells.

Applications for GLI-1 Antibody (CL12193) - Azide and BSA Free

Application
Recommended Usage

Immunocytochemistry/ Immunofluorescence

2-10 ug/ml

Immunohistochemistry-Paraffin

1:500 - 1:1000
Application Notes
For IHC-Paraffin, HIER pH 6 retrieval is recommended. Immunocytochemistry/ Immunofluorescence/IF Fixation Permeabilization: Use PFA/Triton X-100.

Formulation, Preparation, and Storage

Purification

Protein A purified

Reconstitution

Centrifuge the vial of lyophilized antibody at 12,000 x g for 20 seconds. Reconstitute by adding sterile, distilled water to achieve a final antibody concentration of 1mg/ml.

Formulation

Lyophilized from a 0.2 um filtered solution in PBS with Trehalose

Format

Azide and BSA Free

Preservative

No Preservative

Concentration

LYOPH mg/ml

Shipping

The product is shipped at ambient temperature. Upon receipt, store it immediately at the temperature recommended below.

Stability & Storage

Store at 4C short term. Aliquot and store at -20C long term. Avoid freeze-thaw cycles.

Background: GLI-1

Gli1 was produced against a peptide corresponding to the carboxy-terminal region of the mouse Gli-1 protein. This region is not conserved among other gli family members, namely Gli-2 and Gli-3. Gli was termed by Kinzler et al. (1987) as 'glioma-associated oncogene' amplified in malignant gliomas. Analysis of the cloned gene demonstrates that the gene contains 5 repeats of zinc-finger sequences, which places gli in the family of Kruppel (Kr) zinc finger proteins. Northern analysis reveals that GLI is expressed in embryonal carcinoma cells but not in most adult tissue. GLI has been localized to 12q13-q14.3 by Southern blot analysis. On mouse the gene is located on chromosome 10. In mice, 3 zinc finger transcription factors, Gli-1, Gl-i2 and Gli-3, have been implicated in the transduction of Sonic hedgehog (Shh) signal. In papillary epithelium, shh, gli1 and ptc all follow similar expression patterns. Gli1 expression is central and probably sufficient for tumor development in humans.

Long Name

Glioma-Associated Oncogene Homolog 1 [Zinc Finger Protein]

Alternate Names

GLI1

Gene Symbol

GLI1

Additional GLI-1 Products

Product Documents for GLI-1 Antibody (CL12193) - Azide and BSA Free

Certificate of Analysis

To download a Certificate of Analysis, please enter a lot number in the search box below.

Product Specific Notices for GLI-1 Antibody (CL12193) - Azide and BSA Free

This product is for research use only and is not approved for use in humans or in clinical diagnosis. Primary Antibodies are guaranteed for 1 year from date of receipt.

Loading...
Loading...
Loading...
Loading...
Loading...