Skip to main content

GLCCl1 Antibody - BSA Free

Novus Biologicals, part of Bio-Techne | Catalog # NBP1-87939

Novus Biologicals, part of Bio-Techne
Catalog #
Availability
Size / Price
Qty
Loading...
NBP1-87939
NBP1-87939-25ul

Key Product Details

Species Reactivity

Validated:

Human

Predicted:

Mouse (100%), Rat (100%). Backed by our 100% Guarantee.

Applications

Immunohistochemistry, Immunohistochemistry-Paraffin

Label

Unconjugated

Antibody Source

Polyclonal Rabbit IgG

Format

BSA Free

Concentration

Concentrations vary lot to lot. See vial label for concentration. If unlisted please contact technical services.

Product Specifications

Immunogen

This antibody was developed against Recombinant Protein corresponding to amino acids: MPLSNISVPKSSVSRVPCNVEGISPELEKVFIKENNGKEEVSKPLDIPDGRRAPLPAHYRSSSTRSIDTQTPSVQERSSSCSSHSPCVSPFCPPESQDGSPCSTEDLLYDRDKDSGSSSPLPKYASSPKPNNSYMFKRE

Clonality

Polyclonal

Host

Rabbit

Isotype

IgG

Description

Novus Biologicals Rabbit GLCCl1 Antibody - BSA Free (NBP1-87939) is a polyclonal antibody validated for use in IHC. All Novus Biologicals antibodies are covered by our 100% guarantee.

Scientific Data Images for GLCCl1 Antibody - BSA Free

Immunohistochemistry-Paraffin: GLCCl1 Antibody [NBP1-87939]

Immunohistochemistry-Paraffin: GLCCl1 Antibody [NBP1-87939]

Immunohistochemistry-Paraffin: GLCCl1 Antibody [NBP1-87939] - Staining of human skeletal muscle shows weak to moderate cytoplasmic positivity in myocytes.
Immunohistochemistry-Paraffin: GLCCl1 Antibody [NBP1-87939]

Immunohistochemistry-Paraffin: GLCCl1 Antibody [NBP1-87939]

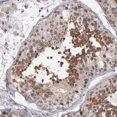
Immunohistochemistry-Paraffin: GLCCl1 Antibody [NBP1-87939] - Staining of human testis shows distinct cytoplasmic positivity in primary spermatocytes in seminiferus ducts.
Immunohistochemistry-Paraffin: GLCCl1 Antibody [NBP1-87939]

Immunohistochemistry-Paraffin: GLCCl1 Antibody [NBP1-87939]

Immunohistochemistry-Paraffin: GLCCl1 Antibody [NBP1-87939] - Staining of human colon shows moderate to strong cytoplasmic positivity in glandular cells.

Applications for GLCCl1 Antibody - BSA Free

Application
Recommended Usage

Immunohistochemistry

1:50 - 1:200

Immunohistochemistry-Paraffin

1:50 - 1:200
Application Notes
For IHC-Paraffin, HIER pH 6 retrieval is recommended.

Formulation, Preparation, and Storage

Purification

Immunogen affinity purified

Formulation

PBS (pH 7.2) and 40% Glycerol

Format

BSA Free

Preservative

0.02% Sodium Azide

Concentration

Concentrations vary lot to lot. See vial label for concentration. If unlisted please contact technical services.

Shipping

The product is shipped with polar packs. Upon receipt, store it immediately at the temperature recommended below.

Stability & Storage

Store at 4C short term. Aliquot and store at -20C long term. Avoid freeze-thaw cycles.

Background: GLCCl1

Alternate Names

FAM117C, GCTR, GIG18, glucocorticoid induced transcript 1, glucocorticoid-induced transcript 1 protein, TSSN1

Gene Symbol

GLCCI1

UniProt

Additional GLCCl1 Products

Product Documents for GLCCl1 Antibody - BSA Free

Certificate of Analysis

To download a Certificate of Analysis, please enter a lot number in the search box below.

Product Specific Notices for GLCCl1 Antibody - BSA Free

This product is for research use only and is not approved for use in humans or in clinical diagnosis. Primary Antibodies are guaranteed for 1 year from date of receipt.

Loading...
Loading...
Loading...
Loading...