Skip to main content

Ghrelin/Obestatin Antibody - BSA Free

Novus Biologicals, part of Bio-Techne | Catalog # NBP1-89773

Novus Biologicals, part of Bio-Techne
Catalog #
Availability
Size / Price
Qty
Loading...
NBP1-89773
NBP1-89773-25ul

Key Product Details

Validated by

Orthogonal Validation

Species Reactivity

Human

Applications

Immunohistochemistry, Immunohistochemistry-Paraffin, Western Blot

Label

Unconjugated

Antibody Source

Polyclonal Rabbit IgG

Format

BSA Free

Concentration

Concentrations vary lot to lot. See vial label for concentration. If unlisted please contact technical services.

Product Specifications

Immunogen

This antibody was developed against Recombinant Protein corresponding to amino acids: RKESKKPPAKLQPRALAGWLRPEDGGQAEGAEDELEVRFNAPFDVGIKLSGVQYQQHS

Reactivity Notes

Immunogen displays the following percentage of sequence identity for non-tested species: Mouse (84%), Rat (86%)

Clonality

Polyclonal

Host

Rabbit

Isotype

IgG

Description

Novus Biologicals Rabbit Ghrelin/Obestatin Antibody - BSA Free (NBP1-89773) is a polyclonal antibody validated for use in IHC and WB. All Novus Biologicals antibodies are covered by our 100% guarantee.

Scientific Data Images for Ghrelin/Obestatin Antibody - BSA Free

Ghrelin/Obestatin Antibody - BSA Free Immunohistochemistry-Paraffin: Ghrelin/Obestatin Antibody - BSA Free [NBP1-89773]

Immunohistochemistry-Paraffin: Ghrelin/Obestatin Antibody - BSA Free [NBP1-89773]

Analysis in human stomach and liver tissues using NBP1-89773 antibody. Corresponding GHRL RNA-seq data are presented for the same tissues.
Immunohistochemistry-Paraffin: Ghrelin/Obestatin Antibody [NBP1-89773]

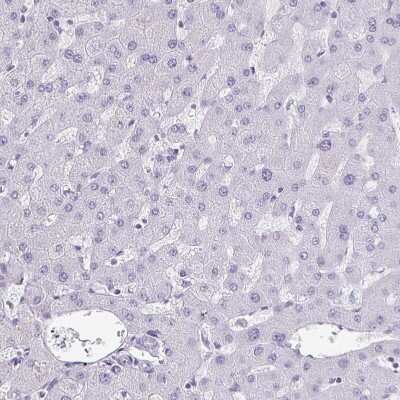
Immunohistochemistry-Paraffin: Ghrelin/Obestatin Antibody [NBP1-89773]

Immunohistochemistry-Paraffin: Ghrelin/Obestatin Antibody [NBP1-89773] - Staining of human liver shows no positivity in hepatocytes as expected.
Immunohistochemistry-Paraffin: Ghrelin/Obestatin Antibody [NBP1-89773]

Immunohistochemistry-Paraffin: Ghrelin/Obestatin Antibody [NBP1-89773]

Immunohistochemistry-Paraffin: Ghrelin/Obestatin Antibody [NBP1-89773] - Staining of human colon shows no positivity in glandular cells as expected.

Applications for Ghrelin/Obestatin Antibody - BSA Free

Application
Recommended Usage

Immunohistochemistry

1:1000 - 1:2500

Immunohistochemistry-Paraffin

1:1000 - 1:2500

Western Blot

0.04-0.4 ug/ml
Application Notes
For IHC-Paraffin, HIER pH 6 retrieval is recommended.

Formulation, Preparation, and Storage

Purification

Immunogen affinity purified

Formulation

PBS (pH 7.2) and 40% Glycerol

Format

BSA Free

Preservative

0.02% Sodium Azide

Concentration

Concentrations vary lot to lot. See vial label for concentration. If unlisted please contact technical services.

Shipping

The product is shipped with polar packs. Upon receipt, store it immediately at the temperature recommended below.

Stability & Storage

Store at 4C short term. Aliquot and store at -20C long term. Avoid freeze-thaw cycles.

Background: Ghrelin/Obestatin

Ghrelin is a 28 residue pepetide expressed by stomach cells that is responsible for the hunger sensation. Expression is increased during times of fasting, and decreased after food consumption. Ghrelin is initially derived from a preprohormone called preproghrelin, which also generates a second peptide called obestatin. Obestatin is an endogenous ligand for the orphan G protein-coupled receptor GPR39 and is involved in satiety and decreased food intake. Ghrelin antibodies are useful tools for lipid and metabolism research as well as neuroscience studies.

Alternate Names

appetite-regulating hormone, ghrelin, ghrelin/obestatin preprohormone, ghrelin/obestatin prepropeptide, Growth hormone secretagogue, Growth hormone-releasing peptide, Motilin-related peptide, MTLRPgrowth hormone secretagogue receptor ligand, obestatin, Protein M46

Gene Symbol

GHRL

Additional Ghrelin/Obestatin Products

Product Documents for Ghrelin/Obestatin Antibody - BSA Free

Certificate of Analysis

To download a Certificate of Analysis, please enter a lot number in the search box below.

Product Specific Notices for Ghrelin/Obestatin Antibody - BSA Free

This product is for research use only and is not approved for use in humans or in clinical diagnosis. Primary Antibodies are guaranteed for 1 year from date of receipt.

Loading...
Loading...
Loading...
Loading...