Skip to main content

GEMIN2 Antibody - BSA Free

Novus Biologicals, part of Bio-Techne | Catalog # NBP3-38028

Novus Biologicals, part of Bio-Techne
Catalog #
Availability
Size / Price
Qty
Loading...
NBP3-38028-100ul
NBP3-38028-20ul

Key Product Details

Species Reactivity

Human, Mouse, Rat

Applications

ELISA, Immunohistochemistry, Immunohistochemistry-Paraffin, Western Blot

Label

Unconjugated

Antibody Source

Polyclonal Rabbit IgG

Format

BSA Free

Concentration

Please see the vial label for concentration. If unlisted please contact technical services.

Product Specifications

Immunogen

A synthetic peptide corresponding to a sequence within amino acids 180-280 of human GEMIN2 (NP_003607.1)

Sequence:
LSIVSRMNQATVTSVLEYLSNWFGERDFTPELGRWLYALLACLEKPLLPEAHSLIRQLARRCSEVRLLVDSKDDERVPALNLLICLVSRYFDQRDLADEPS

Clonality

Polyclonal

Host

Rabbit

Isotype

IgG

Theoretical MW

32 kDa.
Disclaimer note: The observed molecular weight of the protein may vary from the listed predicted molecular weight due to post translational modifications, post translation cleavages, relative charges, and other experimental factors.

Description

Novus Biologicals Rabbit GEMIN2 Antibody - BSA Free (NBP3-38028) is a polyclonal antibody validated for use in IHC, WB and ELISA. All Novus Biologicals antibodies are covered by our 100% guarantee.

Scientific Data Images for GEMIN2 Antibody - BSA Free

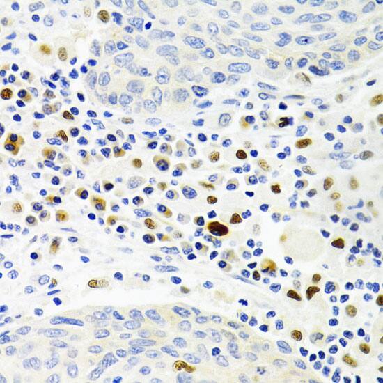
GEMIN2 Antibody

Immunohistochemistry: GEMIN2 Antibody [NBP3-38028] -

Immunohistochemistry: GEMIN2 Antibody [NBP3-38028] - Immunohistochemistry analysis of paraffin-embedded Mouse testis using GEMIN2 Rabbit pAb at dilution of 1:100 (40x lens). Microwave antigen retrieval performed with 0.01M PBS Buffer (pH 7.2) prior to IHC staining.
GEMIN2 Antibody

Immunohistochemistry: GEMIN2 Antibody [NBP3-38028] -

Immunohistochemistry: GEMIN2 Antibody [NBP3-38028] - Immunohistochemistry analysis of paraffin-embedded Rat liver using GEMIN2 Rabbit pAb at dilution of 1:200 (40x lens). Microwave antigen retrieval performed with 0.01M PBS Buffer (pH 7.2) prior to IHC staining.
GEMIN2 Antibody

Western Blot: GEMIN2 Antibody [NBP3-38028] -

Western Blot: GEMIN2 Antibody [NBP3-38028] - Western blot analysis of lysates from Jurkat cells, using GEMIN2 Rabbit pAb at 1:500 dilution.
Secondary antibody: HRP-conjugated Goat anti-Rabbit IgG (H+L) at 1:10000 dilution.
Lysates/proteins: 25ug per lane.
Blocking buffer: 3% nonfat dry milk in TBST.
Detection: ECL Basic Kit.
Exposure time: 90s.

Applications for GEMIN2 Antibody - BSA Free

Application
Recommended Usage

Immunohistochemistry-Paraffin

1:50 - 1:200

Western Blot

1:500 - 1:1000

Formulation, Preparation, and Storage

Purification

Affinity purified

Formulation

PBS (pH 7.3), 50% glycerol

Format

BSA Free

Preservative

0.02% Sodium Azide

Concentration

Please see the vial label for concentration. If unlisted please contact technical services.

Shipping

The product is shipped with polar packs. Upon receipt, store it immediately at the temperature recommended below.

Stability & Storage

Store at -20C. Avoid freeze-thaw cycles.

Background: GEMIN2

SIP1 encodes one of the proteins found in the SMN complex, which consists of the suvival of motor neuron protein and several gemin proteins. The SMN complex is localized to a subnuclear compartment called gems (gemini of coiled bodies) and is required for assembly of spliceosomal snRNPs and for pre-mRNA splicing. This protein interacts directly with the survival of motor neuron protein and it is required for formation of the SMN complex. A knockout mouse targeting the mouse homolog of this gene exhibited disrupted snRNP assembly and motor neuron degeneration.

Alternate Names

Component of gems 2, gemin-2, GEMIN2survival of motor neuron protein-interacting protein 1, SIP1-delta, SMN interacting protein 1-delta, SMN-interacting protein 1, survival of motor neuron protein interacting protein 1

Gene Symbol

GEMIN2

Additional GEMIN2 Products

Product Documents for GEMIN2 Antibody - BSA Free

Certificate of Analysis

To download a Certificate of Analysis, please enter a lot number in the search box below.

Product Specific Notices for GEMIN2 Antibody - BSA Free

This product is for research use only and is not approved for use in humans or in clinical diagnosis. Primary Antibodies are guaranteed for 1 year from date of receipt.

Loading...
Loading...
Loading...
Loading...