Skip to main content

GEMIN2 Antibody - BSA Free

Novus Biologicals, part of Bio-Techne | Catalog # NBP2-38553

Novus Biologicals, part of Bio-Techne
Catalog #
Availability
Size / Price
Qty
Loading...
NBP2-38553
NBP2-38553-25ul

Key Product Details

Validated by

Orthogonal Validation

Species Reactivity

Human

Applications

Immunohistochemistry, Immunohistochemistry-Paraffin

Label

Unconjugated

Antibody Source

Polyclonal Rabbit IgG

Format

BSA Free

Concentration

Concentrations vary lot to lot. See vial label for concentration. If unlisted please contact technical services.

Product Specifications

Immunogen

This antibody was developed against a recombinant protein corresponding to amino acids: QWQQQQVAQFSTVRQNVNKHRSHWKSQQLDSNVTMPKSEDEEGWKKFCLGEKLCADGAVGPATNESPGIDYVQIGFPPLLSIVSRMNQ

Reactivity Notes

Immunogen displays the following percentage of sequence identity for non-tested species: Mouse (88%), Rat (88%)

Clonality

Polyclonal

Host

Rabbit

Isotype

IgG

Description

Novus Biologicals Rabbit GEMIN2 Antibody - BSA Free (NBP2-38553) is a polyclonal antibody validated for use in IHC. All Novus Biologicals antibodies are covered by our 100% guarantee.

Scientific Data Images for GEMIN2 Antibody - BSA Free

Immunohistochemistry-Paraffin: GEMIN2 Antibody [NBP2-38553]

Immunohistochemistry-Paraffin: GEMIN2 Antibody [NBP2-38553]

Immunohistochemistry-Paraffin: GEMIN2 Antibody [NBP2-38553] - Staining in human testis and liver tissues using anti-GEMIN2 antibody. Corresponding GEMIN2 RNA-seq data are presented for the same tissues.
Immunohistochemistry-Paraffin: GEMIN2 Antibody [NBP2-38553]

Immunohistochemistry-Paraffin: GEMIN2 Antibody [NBP2-38553]

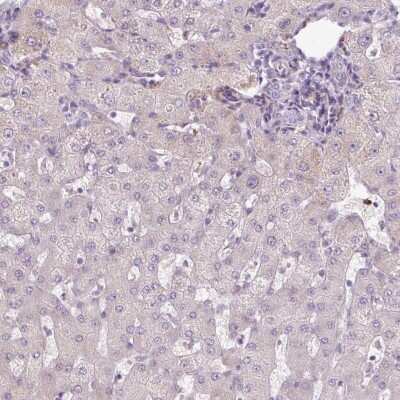
Immunohistochemistry-Paraffin: GEMIN2 Antibody [NBP2-38553] - Staining of human liver shows low expression as expected.
Immunohistochemistry-Paraffin: GEMIN2 Antibody [NBP2-38553]

Immunohistochemistry-Paraffin: GEMIN2 Antibody [NBP2-38553]

Immunohistochemistry-Paraffin: GEMIN2 Antibody [NBP2-38553] - Staining of human testis shows high expression.

Applications for GEMIN2 Antibody - BSA Free

Application
Recommended Usage

Immunohistochemistry

1:200 - 1:500

Immunohistochemistry-Paraffin

1:200 - 1:500
Application Notes
For IHC-Paraffin, HIER pH 6 retrieval is recommended. Immunocytochemistry/Immunofluorescence Fixation Permeabilization: Use PFA/Triton X-100.

Formulation, Preparation, and Storage

Purification

Immunogen affinity purified

Formulation

PBS (pH 7.2) and 40% Glycerol

Format

BSA Free

Preservative

0.02% Sodium Azide

Concentration

Concentrations vary lot to lot. See vial label for concentration. If unlisted please contact technical services.

Shipping

The product is shipped with polar packs. Upon receipt, store it immediately at the temperature recommended below.

Stability & Storage

Store at 4C short term. Aliquot and store at -20C long term. Avoid freeze-thaw cycles.

Background: GEMIN2

SIP1 encodes one of the proteins found in the SMN complex, which consists of the suvival of motor neuron protein and several gemin proteins. The SMN complex is localized to a subnuclear compartment called gems (gemini of coiled bodies) and is required for assembly of spliceosomal snRNPs and for pre-mRNA splicing. This protein interacts directly with the survival of motor neuron protein and it is required for formation of the SMN complex. A knockout mouse targeting the mouse homolog of this gene exhibited disrupted snRNP assembly and motor neuron degeneration.

Alternate Names

Component of gems 2, gemin-2, GEMIN2survival of motor neuron protein-interacting protein 1, SIP1-delta, SMN interacting protein 1-delta, SMN-interacting protein 1, survival of motor neuron protein interacting protein 1

Gene Symbol

GEMIN2

UniProt

Additional GEMIN2 Products

Product Documents for GEMIN2 Antibody - BSA Free

Certificate of Analysis

To download a Certificate of Analysis, please enter a lot number in the search box below.

Product Specific Notices for GEMIN2 Antibody - BSA Free

This product is for research use only and is not approved for use in humans or in clinical diagnosis. Primary Antibodies are guaranteed for 1 year from date of receipt.

Loading...
Loading...
Loading...
Loading...