Skip to main content

GEFT Antibody - BSA Free

Novus Biologicals, part of Bio-Techne | Catalog # NBP2-16636

Novus Biologicals, part of Bio-Techne
Catalog #
Availability
Size / Price
Qty
Loading...
NBP2-16636

Key Product Details

Species Reactivity

Human, Mouse

Applications

Immunohistochemistry, Immunohistochemistry-Paraffin, Western Blot

Label

Unconjugated

Antibody Source

Polyclonal Rabbit IgG

Format

BSA Free

Concentration

Concentrations vary lot to lot. See vial label for concentration. If unlisted please contact technical services.

Product Specifications

Immunogen

Recombinant protein encompassing a sequence within the center region of human GEFT. The exact sequence is proprietary.

Localization

Cytoplasm; myofibril; sarcomere

Clonality

Polyclonal

Host

Rabbit

Isotype

IgG

Theoretical MW

64 kDa.
Disclaimer note: The observed molecular weight of the protein may vary from the listed predicted molecular weight due to post translational modifications, post translation cleavages, relative charges, and other experimental factors.

Description

Novus Biologicals Rabbit GEFT Antibody - BSA Free (NBP2-16636) is a polyclonal antibody validated for use in IHC and WB. All Novus Biologicals antibodies are covered by our 100% guarantee.

Scientific Data Images for GEFT Antibody - BSA Free

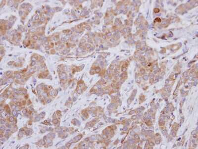
Immunohistochemistry-Paraffin: GEFT Antibody [NBP2-16636]

Immunohistochemistry-Paraffin: GEFT Antibody [NBP2-16636]

Immunohistochemistry-Paraffin: GEFT Antibody [NBP2-16636] - Immunohistochemical analysis of paraffin-embedded Breast ca, using antibody at 1:250 dilution.
GEFT Antibody - BSA Free

Western Blot: GEFT Antibody [NBP2-16636] -

Sample (30 ug of whole cell lysate)
A: IMR32
10% SDS PAGE
NBP2-16636 diluted at 1:1000
GEFT Antibody - BSA Free

Western Blot: GEFT Antibody [NBP2-16636] -

Mouse tissue extract (50 ug) was separated by 10% SDS-PAGE, and the membrane was blotted with GEFT antibody (NBP2-16636) diluted at 1:1000. The HRP-conjugated anti-rabbit IgG antibody was used to detect the primary antibody.

Applications for GEFT Antibody - BSA Free

Application
Recommended Usage

Immunohistochemistry

1:100-1:1000

Immunohistochemistry-Paraffin

1:100-1:1000

Western Blot

1:500-1:3000

Formulation, Preparation, and Storage

Purification

Antigen Affinity-purified

Formulation

0.1M Tris, 0.1M Glycine, 20% Glycerol

Format

BSA Free

Preservative

0.01% Thimerosal

Concentration

Concentrations vary lot to lot. See vial label for concentration. If unlisted please contact technical services.

Shipping

The product is shipped with polar packs. Upon receipt, store it immediately at the temperature recommended below.

Stability & Storage

Aliquot and store at -20C or -80C. Avoid freeze-thaw cycles.

Background: GEFT

The Rho family of small GTPases act as molecular switches to control a wide range of cellular processes. Guanine nucleotide exchange factors (GEFs), like GEFT, activate Rho GTPases by accelerating GDP/GTP exchange (Souchet et al., 2002 [PubMed 11861769]).[supplied by OMIM]

Alternate Names

GEFTRAC/CDC42 exchange factor, Guanine nucleotide exchange factor GEFT, p63RhoGEFrho guanine nucleotide exchange factor 25, Rac/Cdc42/Rho exchange factor GEFT, Rho guanine nucleotide exchange factor (GEF) 25, RhoA/RAC/CDC42 exchange factor, RhoA/Rac/Cdc42 guanine nucleotide exchange factor GEFT

Gene Symbol

ARHGEF25

Additional GEFT Products

Product Documents for GEFT Antibody - BSA Free

Certificate of Analysis

To download a Certificate of Analysis, please enter a lot number in the search box below.

Product Specific Notices for GEFT Antibody - BSA Free

This product is for research use only and is not approved for use in humans or in clinical diagnosis. Primary Antibodies are guaranteed for 1 year from date of receipt.

Loading...
Loading...
Loading...
Loading...

⚠ WARNING: This product can expose you to chemicals including mercury, which is known to the State of California to cause reproductive toxicity with developmental effects.  For more information go to www.P65Warnings.ca.gov.