Skip to main content

GCLM Antibody (CPTC-GCLM-1)

Novus Biologicals, part of Bio-Techne | Catalog # NBP3-07298

Novus Biologicals, part of Bio-Techne
Catalog #
Availability
Size / Price
Qty
Loading...
NBP3-07298-100ug
NBP3-07298-20ug

Key Product Details

Species Reactivity

Human

Applications

Immunohistochemistry-Paraffin, Western Blot

Label

Unconjugated

Antibody Source

Monoclonal Mouse IgG2a Kappa Clone # CPTC-GCLM-1

Concentration

0.2 mg/ml

Product Specifications

Immunogen

Recombinant human full-length GCLM protein (Uniprot: P48507)

Localization

Cytoplasm

Clonality

Monoclonal

Host

Mouse

Isotype

IgG2a Kappa

Theoretical MW

31 kDa.
Disclaimer note: The observed molecular weight of the protein may vary from the listed predicted molecular weight due to post translational modifications, post translation cleavages, relative charges, and other experimental factors.

Description

200ug/ml of antibody purified from Bioreactor Concentrate by Protein A or G. Prepared in 10 mM PBS with 0.05% BSA & 0.05% azide. Also available WITHOUT BSA & azide at 1.0 mg/ml. (NBP3-08471)

Antibody with azide - store at 2 to 8C. Antibody without azide - store at -20 to -80C.

Scientific Data Images for GCLM Antibody (CPTC-GCLM-1)

Western Blot: GCLM Antibody (CPTC-GCLM-1) [NBP3-07298]

Western Blot: GCLM Antibody (CPTC-GCLM-1) [NBP3-07298]

Western Blot: GCLM Antibody (CPTC-GCLM-1) [NBP3-07298] - Western Blot Analysis of A549, A431 & HepG2 cell lysates using GCLM Mouse Monoclonal Antibody (CPTC-GCLM-1).
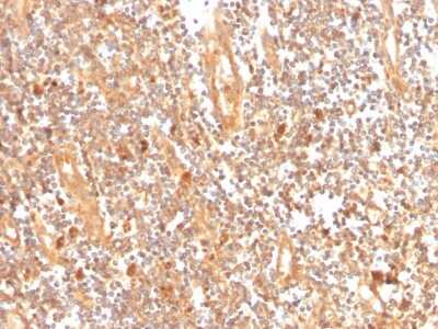
Immunohistochemistry-Paraffin: GCLM Antibody (CPTC-GCLM-1) [NBP3-07298]

Immunohistochemistry-Paraffin: GCLM Antibody (CPTC-GCLM-1) [NBP3-07298]

Immunohistochemistry-Paraffin: GCLM Antibody (CPTC-GCLM-1) [NBP3-07298] - Formalin-fixed, paraffin-embedded human tonsil stained with GCLM Mouse Monoclonal Antibody (CPTC-GCLM-1).
Immunohistochemistry-Paraffin: GCLM Antibody (CPTC-GCLM-1) [NBP3-07298]

Immunohistochemistry-Paraffin: GCLM Antibody (CPTC-GCLM-1) [NBP3-07298]

Immunohistochemistry-Paraffin: GCLM Antibody (CPTC-GCLM-1) [NBP3-07298] - Formalin-fixed, paraffin-embedded human tonsil stained with GCLM Mouse Monoclonal Antibody (CPTC-GCLM-1).

Applications for GCLM Antibody (CPTC-GCLM-1)

Application
Recommended Usage

Immunohistochemistry-Paraffin

1-2 ug/ml

Western Blot

1-2 ug/ml
Application Notes
Immunohistochemistry (Formalin-fixed): 1-2ug/ml for 30 minutes at RT. Staining of formalin-fixed tissues requires heating tissue sections in 10mM Tris with 1mM EDTA, pH 9.0, for 45 min at 95C followed by cooling at RT for 20 minutes.
Optimal dilution for a specific application should be determined.

Formulation, Preparation, and Storage

Purification

Protein A or G purified

Formulation

10 mM PBS with 0.05% BSA

Preservative

0.05% Sodium Azide

Concentration

0.2 mg/ml

Shipping

The product is shipped with polar packs. Upon receipt, store it immediately at the temperature recommended below.

Stability & Storage

Store at 4C.

Background: GCLM

Glutamate-cysteine ligase, also known as gamma-glutamylcysteine synthetase, is the first rate limiting enzyme of glutathione synthesis. The enzyme consists of two subunits, a heavy catalytic subunit and a light regulatory subunit. Gamma glutamylcysteine synthetase deficiency has been implicated in some forms of hemolytic anemia. [provided by RefSeq]

Alternate Names

Gamma-ECS regulatory subunit, Gamma-glutamylcysteine synthetase regulatory subunit, GCS light chain, GLCLRglutamate--cysteine ligase regulatory subunit, glutamate-cysteine ligase (gamma-glutamylcysteine synthetase), regulatory(30.8kD), Glutamate--cysteine ligase modifier subunit, glutamate-cysteine ligase regulatory protein, glutamate-cysteine ligase, modifier subunit, GSC light chain

Gene Symbol

GCLM

UniProt

Additional GCLM Products

Product Documents for GCLM Antibody (CPTC-GCLM-1)

Certificate of Analysis

To download a Certificate of Analysis, please enter a lot number in the search box below.

Product Specific Notices for GCLM Antibody (CPTC-GCLM-1)

This product is for research use only and is not approved for use in humans or in clinical diagnosis. Primary Antibodies are guaranteed for 1 year from date of receipt.

Loading...
Loading...
Loading...
Loading...