Skip to main content

GCH1 Antibody

Novus Biologicals, part of Bio-Techne | Catalog # NBP1-20923

Novus Biologicals, part of Bio-Techne
Catalog #
Availability
Size / Price
Qty
Loading...
NBP1-20923

Key Product Details

Species Reactivity

Validated:

Human

Predicted:

Mouse (100%), Rat (100%). Backed by our 100% Guarantee.

Applications

Immunohistochemistry, Immunohistochemistry-Paraffin, Peptide ELISA

Label

Unconjugated

Antibody Source

Polyclonal Goat IgG

Concentration

0.5 mg/ml

Product Specifications

Immunogen

Peptide with sequence C-GKVHIGYLPNKQ corresponding to internal region according to NP_001019195.1 , NP_001019241.1 , NP_001019242.1 .

Epitope

C terminus

Specificity

This antibody is expected to recognize all four isoforms (NP_000152.1 ; NP_001019195.1 ; NP_001019241.1 ; NP_001019242.1)

Clonality

Polyclonal

Host

Goat

Isotype

IgG

Description

Novus Biologicals Goat GCH1 Antibody (NBP1-20923) is a polyclonal antibody validated for use in IHC and ELISA. Anti-GCH1 Antibody: Cited in 1 publication. All Novus Biologicals antibodies are covered by our 100% guarantee.

Scientific Data Images for GCH1 Antibody

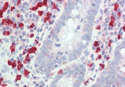
Immunohistochemistry: GCH1 Antibody [NBP1-20923]

Immunohistochemistry: GCH1 Antibody [NBP1-20923]

Immunohistochemistry: GCH1 Antibody [NBP1-20923] - (5ug/ml) staining of paraffin embedded Human Small Intestine. Steamed antigen retrieval with citrate buffer pH 6, AP-staining.
GCH1 Antibody [NBP1-20923] - (5ug/ml) staining of paraffin embedded Human Cerebellum. Steamed antigen retrieval with citrate buffer pH 6, AP-staining.

Applications for GCH1 Antibody

Application
Recommended Usage

Immunohistochemistry

5 ug/ml

Immunohistochemistry-Paraffin

5 ug/ml

Peptide ELISA

Detection limit 1:16000

Formulation, Preparation, and Storage

Purification

Immunogen affinity purified

Formulation

Tris saline (20 mM Tris pH 7.3, 150 mM NaCl), 0.5% BSA

Preservative

0.02% Sodium Azide

Concentration

0.5 mg/ml

Shipping

The product is shipped with polar packs. Upon receipt, store it immediately at the temperature recommended below.

Stability & Storage

Store at -20C. Avoid freeze-thaw cycles.

Background: GCH1

This gene encodes a member of the GTP cyclohydrolase family. The encoded protein is the first and rate-limiting enzyme in tetrahydrobiopterin (BH4) biosynthesis, catalyzing the conversion of GTP into 7,8-dihydroneopterin triphosphate. BH4 is an essential cofactor required by aromatic amino acid hydroxylases as well as nitric oxide synthases. Mutations in this gene are associated with malignant hyperphenylalaninemia and dopa-responsive dystonia. Several alternatively spliced transcript variants encoding different isoforms have been described; however, not all variants give rise to a functional enzyme.

Long Name

GTP Cyclohydrolase 1

Alternate Names

DYT5, DYT5a, GTP-CH-1, GTP-CH-I, GTPCH1

Entrez Gene IDs

2643 (Human); 14528 (Mouse); 29244 (Rat)

Gene Symbol

GCH1

Additional GCH1 Products

Product Documents for GCH1 Antibody

Certificate of Analysis

To download a Certificate of Analysis, please enter a lot number in the search box below.

Product Specific Notices for GCH1 Antibody

This product is for research use only and is not approved for use in humans or in clinical diagnosis. Primary Antibodies are guaranteed for 1 year from date of receipt.

Loading...
Loading...
Loading...
Loading...