Skip to main content

GCET2 Antibody (HGAL/2373) - Azide and BSA Free

Novus Biologicals, part of Bio-Techne | Catalog # NBP3-14265

Novus Biologicals, part of Bio-Techne

Key Product Details

Species Reactivity

Human

Applications

Immunohistochemistry-Paraffin, Protein Array

Label

Unconjugated

Antibody Source

Monoclonal Mouse IgG2b Kappa Clone # HGAL/2373

Format

Azide and BSA Free

Concentration

1 mg/ml

Product Specifications

Immunogen

Recombinant fragment (178 Amino acid residues from around aa1-200) of human GCET2 protein (Uniprot: Q8N6F7)

Localization

Cytoplasm, Cell membrane

Marker

Human Germinal Center Associated Lymphoma Marker

Clonality

Monoclonal

Host

Mouse

Isotype

IgG2b Kappa

Theoretical MW

21 kDa.
Disclaimer note: The observed molecular weight of the protein may vary from the listed predicted molecular weight due to post translational modifications, post translation cleavages, relative charges, and other experimental factors.

Description

1.0 mg/ml of antibody purified from Bioreactor Concentrate by Protein A/G. Prepared in 10mM PBS WITHOUT BSA & azide. Also available at 200 ug/ml WITH BSA & azide (NBP3-13920).

Antibody with azide - store at 2 to 8C. Antibody without azide - store at -20 to -80 C.

Scientific Data Images for GCET2 Antibody (HGAL/2373) - Azide and BSA Free

Protein Array: GCET2 Antibody (HGAL/2373) - Azide and BSA Free [NBP3-14265]

Protein Array: GCET2 Antibody (HGAL/2373) - Azide and BSA Free [NBP3-14265]

Protein Array: GCET2 Antibody (HGAL/2373) - Azide and BSA Free [NBP3-14265] - Analysis of Protein Array containing >19,000 full-length human proteins using GCET2 Antibody (HGAL/2373).
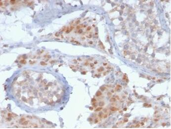
GCET2 Antibody (HGAL/2373) - Azide and BSA Free Immunohistochemistry-Paraffin: GCET2 Antibody (HGAL/2373) - Azide and BSA Free [NBP3-14265] -

Immunohistochemistry-Paraffin: GCET2 Antibody (HGAL/2373) - Azide and BSA Free [NBP3-14265] -

Formalin-fixed, paraffin-embedded human testis stained with GCET2 Antibody (HGAL/2373) - Azide and BSA Free.

Applications for GCET2 Antibody (HGAL/2373) - Azide and BSA Free

Application
Recommended Usage

Immunohistochemistry-Paraffin

1-2 ug/ml
Application Notes
Immunohistochemistry (Formalin-fixed): 1-2ug/ml for 30 minutes at RT. Staining of formalin-fixed tissues requires heating tissue sections in 10mM Tris with 1mM EDTA, pH 9.0, for 45 min at 95C followed by cooling at RT for 20 minutes

Formulation, Preparation, and Storage

Purification

Protein A or G purified

Formulation

10mM PBS

Format

Azide and BSA Free

Preservative

No Preservative

Concentration

1 mg/ml

Shipping

The product is shipped with polar packs. Upon receipt, store it immediately at the temperature recommended below.

Stability & Storage

Store at -20 to -80C. Avoid freeze-thaw cycles.

Background: GCET2

GCET2 encodes a protein which may function in signal transduction pathways and whose expression is elevated in germinal cell lymphomas. It contains a putative PDZ-interacting domain, an immunoreceptor tyrosine-based activation motif (ITAM), and two putative SH2 binding sites. In B cells, its expression is specifically induced by interleukin-4. Alternative splicing results in multiple transcript variants encoding different isoforms. [provided by RefSeq]

Alternate Names

GAL, GCAT2, germinal center B-cell-expressed transcript 2 protein, germinal center expressed transcript 2, Germinal center-associated lymphoma protein, hGAL, MGC40441

Gene Symbol

GCSAM

Additional GCET2 Products

Product Documents for GCET2 Antibody (HGAL/2373) - Azide and BSA Free

Certificate of Analysis

To download a Certificate of Analysis, please enter a lot number in the search box below.

Product Specific Notices for GCET2 Antibody (HGAL/2373) - Azide and BSA Free

This product is for research use only and is not approved for use in humans or in clinical diagnosis. Primary Antibodies are guaranteed for 1 year from date of receipt.

Loading...
Loading...
Loading...
Loading...