Skip to main content

GBX2 Antibody (GBX2/7235)

Novus Biologicals, part of Bio-Techne | Catalog # NBP3-23833

Novus Biologicals, part of Bio-Techne
Catalog #
Availability
Size / Price
Qty
Loading...
NBP3-23833-20ug
NBP3-23833-100ug

Key Product Details

Species Reactivity

Human

Applications

Immunohistochemistry-Paraffin

Label

Unconjugated

Antibody Source

Monoclonal Mouse IgG2 kappa Clone # GBX2/7235

Concentration

0.2 mg/ml

Product Specifications

Immunogen

Recombinant fragment (around aa150-350) of human GBX2 protein (exact sequence is proprietary)

Localization

Nucleus.

Clonality

Monoclonal

Host

Mouse

Isotype

IgG2 kappa

Description

Store at 2 to 8C. Non-hazardous. No MSDS required.

Scientific Data Images for GBX2 Antibody (GBX2/7235)

GBX2 Antibody (GBX2/7235)

Immunohistochemistry-Paraffin: GBX2 Antibody (GBX2/7235) [NBP3-23833] -

Formalin-fixed, paraffin-embedded human brain stained with GBX2 antibody (GBX2/7235). Inset: PBS instead of primary antibody; secondary only negative control.
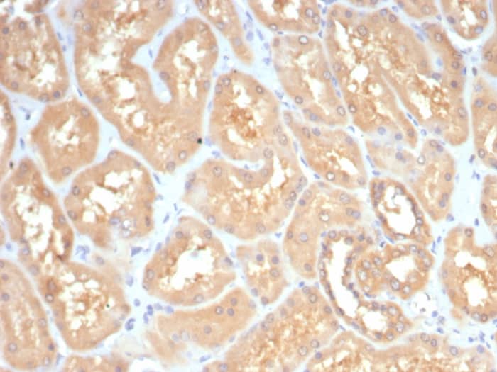
GBX2 Antibody (GBX2/7235)

Immunohistochemistry-Paraffin: GBX2 Antibody (GBX2/7235) [NBP3-23833] -

Formalin-fixed, paraffin-embedded human kidney stained with GBX2 antibody (GBX2/7235). HIER: Tris/EDTA, pH9.0, 45min. Secondary: HRP-polymer, 30min. DAB, 5min.

Applications for GBX2 Antibody (GBX2/7235)

Application
Recommended Usage

Immunohistochemistry-Paraffin

1-2ug/ml
Application Notes
Immunohistochemistry-Paraffin: 1-2ug/ml for 30 minutes at RT. Staining of formalin-fixed tissues requires heating tissue sections in 10mM Tris with 1mM EDTA, pH 9.0, for 45 min at 95C followed by cooling at RT for 20 minutes. Optimal dilution for a specific application should be determined.

Formulation, Preparation, and Storage

Purification

Protein A or G purified

Formulation

10mM PBS with 0.05% BSA

Preservative

0.05% Sodium Azide

Concentration

0.2 mg/ml

Shipping

The product is shipped with polar packs. Upon receipt, store it immediately at the temperature recommended below.

Stability & Storage

Store at 4C.

Background: GBX2

GBX2 (Gastrulation brain homeobox 2) is a homeobox protein which is involved in enbryonic cell pluripotency and differentiation. GBX2 is expressed in all three embryonic germ layers of the late gastrula/early neurula. Gbx2 is overexpressed in a panel of human prostatic cancer cell lines (TSU-pr1, PC3, DU145, LNCaP).

Long Name

Gastrulation Brain Homeobox 2

Alternate Names

Gastrulation and brain-specific homeobox protein 2, gastrulation brain homeo box 2, gastrulation brain homeobox 2, homeobox protein GBX-2

Gene Symbol

GBX2

Additional GBX2 Products

Product Documents for GBX2 Antibody (GBX2/7235)

Certificate of Analysis

To download a Certificate of Analysis, please enter a lot number in the search box below.

Product Specific Notices for GBX2 Antibody (GBX2/7235)

This product is for research use only and is not approved for use in humans or in clinical diagnosis. Primary Antibodies are guaranteed for 1 year from date of receipt.

Loading...
Loading...
Loading...
Loading...