Skip to main content

GBP1 Antibody (3X7O9)

Novus Biologicals, part of Bio-Techne | Catalog # NBP3-15278

Recombinant Monoclonal Antibody
Novus Biologicals, part of Bio-Techne
Catalog #
Availability
Size / Price
Qty
Loading...
NBP3-15278-100ul
NBP3-15278-20ul

Key Product Details

Species Reactivity

Human, Rat

Applications

Immunohistochemistry, Immunohistochemistry-Paraffin, Western Blot

Label

Unconjugated

Antibody Source

Recombinant Monoclonal Rabbit IgG Clone # 3X7O9 expressed in HEK293

Concentration

Please see the vial label for concentration. If unlisted please contact technical services.

Product Specifications

Immunogen

A synthetic peptide corresponding to a sequence within amino acids 493-592 of human GBP1 (P32455). RVKAESAQASAKMLQEMQRKNEQMMEQKERSYQEHLKQLTEKMENDRVQLLKEQERTLALKLQEQEQLLKEGFQKESRIMKNEIQDLQTKMRRRKACTIS

Clonality

Monoclonal

Host

Rabbit

Isotype

IgG

Description

Novus Biologicals Rabbit GBP1 Antibody (3X7O9) (NBP3-15278) is a recombinant monoclonal antibody validated for use in IHC and WB. All Novus Biologicals antibodies are covered by our 100% guarantee.

Scientific Data Images for GBP1 Antibody (3X7O9)

Western Blot: GBP1 Antibody (3X7O9) [NBP3-15278]

Western Blot: GBP1 Antibody (3X7O9) [NBP3-15278]

Western Blot: GBP1 Antibody (3X7O9) [NBP3-15278] - Western blot analysis of extracts of various cell lines, using GBP1 antibody (NBP3-15278) at 1:1000 dilution. Secondary antibody: HRP Goat Anti-Rabbit IgG (H+L) at 1:10000 dilution. Lysates/proteins: 25ug per lane. Blocking buffer: 3% nonfat dry milk in TBST. Detection: ECL Basic Kit. Exposure time: 180s.
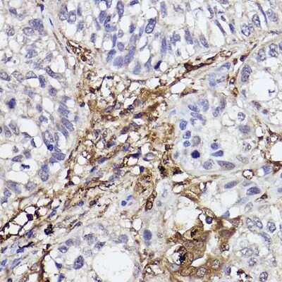
Immunohistochemistry-Paraffin: GBP1 Antibody (3X7O9) [NBP3-15278]

Immunohistochemistry-Paraffin: GBP1 Antibody (3X7O9) [NBP3-15278]

Immunohistochemistry-Paraffin: GBP1 Antibody (3X7O9) [NBP3-15278] - Immunohistochemistry of paraffin-embedded human lung cancer using GBP1 Rabbit mAb (NBP3-15278) at dilution of 1:100 (40x lens).Perform high pressure antigen retrieval with 10 mM citrate buffer pH 6.0 before commencing with IHC staining protocol.

Applications for GBP1 Antibody (3X7O9)

Application
Recommended Usage

Immunohistochemistry

1:50 - 1:200

Western Blot

1:500 - 1:1000

Formulation, Preparation, and Storage

Purification

Affinity purified

Formulation

PBS (pH 7.3), 50% glycerol, 0.05% BSA

Preservative

0.02% Sodium Azide

Concentration

Please see the vial label for concentration. If unlisted please contact technical services.

Shipping

The product is shipped with polar packs. Upon receipt, store it immediately at the temperature recommended below.

Stability & Storage

Store at -20C. Avoid freeze-thaw cycles.

Background: GBP1

Guanylate binding protein expression is induced by interferon. Guanylate binding proteins are characterized by their ability to specifically bind guanine nucleotides (GMP, GDP, and GTP) and are distinguished from the GTP-binding proteins by the presence of 2 binding motifs rather than 3. [provided by RefSeq]

Alternate Names

GBP-1, GTP-binding protein 1, Guanine nucleotide-binding protein 1, guanylate binding protein 1, interferon-inducible, guanylate binding protein 1, interferon-inducible, 67kDa, HuGBP-1, interferon-induced guanylate-binding protein 1

Gene Symbol

GBP1

Additional GBP1 Products

Product Documents for GBP1 Antibody (3X7O9)

Certificate of Analysis

To download a Certificate of Analysis, please enter a lot number in the search box below.

Product Specific Notices for GBP1 Antibody (3X7O9)

This product is for research use only and is not approved for use in humans or in clinical diagnosis. Primary Antibodies are guaranteed for 1 year from date of receipt.

Loading...
Loading...
Loading...
Loading...