Skip to main content

GBAS Antibody - BSA Free

Novus Biologicals, part of Bio-Techne | Catalog # NBP2-38984

Novus Biologicals, part of Bio-Techne
Catalog #
Availability
Size / Price
Qty
Loading...
NBP2-38984
NBP2-38984-25ul

Key Product Details

Validated by

Orthogonal Validation

Species Reactivity

Human

Applications

Immunocytochemistry/ Immunofluorescence, Immunohistochemistry, Immunohistochemistry-Paraffin, Western Blot

Label

Unconjugated

Antibody Source

Polyclonal Rabbit IgG

Format

BSA Free

Concentration

Concentrations vary lot to lot. See vial label for concentration. If unlisted please contact technical services.

Product Specifications

Immunogen

This antibody was developed against a recombinant protein corresponding to amino acids: CSLLPRLRTWTSSSNRSREDSWLKSLFVRKVD

Clonality

Polyclonal

Host

Rabbit

Isotype

IgG

Description

Novus Biologicals Rabbit GBAS Antibody - BSA Free (NBP2-38984) is a polyclonal antibody validated for use in IHC, WB and ICC/IF. All Novus Biologicals antibodies are covered by our 100% guarantee.

Scientific Data Images for GBAS Antibody - BSA Free

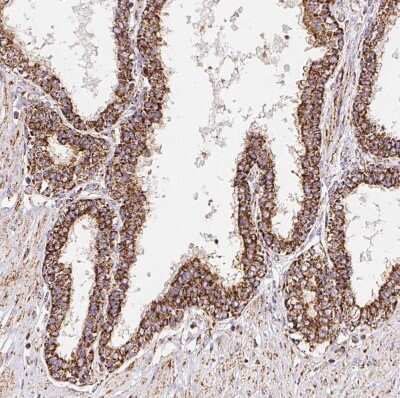
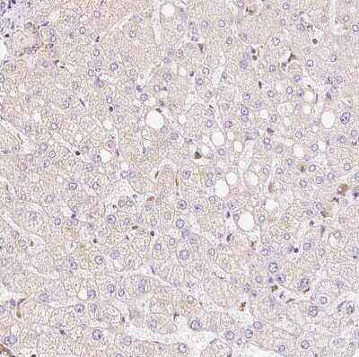
Immunohistochemistry-Paraffin: GBAS Antibody [NBP2-38984]

Immunohistochemistry-Paraffin: GBAS Antibody [NBP2-38984]

Immunohistochemistry-Paraffin: GBAS Antibody [NBP2-38984] - Staining in human heart muscle and liver tissues using NBP2-38984 antibody. Corresponding GBAS RNA-seq data are presented for the same tissues.
Western Blot: GBAS Antibody [NBP2-38984]

Western Blot: GBAS Antibody [NBP2-38984]

Western Blot: GBAS Antibody [NBP2-38984] - Analysis in human cell lines A-431 and MCF-7 using anti-GBAS antibody. Corresponding GBAS RNA-seq data are presented for the same cell lines. Loading control: anti-PPIB.
Immunocytochemistry/ Immunofluorescence: GBAS Antibody [NBP2-38984]

Immunocytochemistry/ Immunofluorescence: GBAS Antibody [NBP2-38984]

Immunocytochemistry/Immunofluorescence: GBAS Antibody [NBP2-38984] - Immunofluorescent staining of human cell line A-431 shows localization to mitochondria. Antibody staining is shown in green.

Applications for GBAS Antibody - BSA Free

Application
Recommended Usage

Immunocytochemistry/ Immunofluorescence

0.25-2 ug/ml

Immunohistochemistry

1:2500 - 1:5000

Immunohistochemistry-Paraffin

1:2500 - 1:5000

Western Blot

0.04 - 0.4 ug/ml
Application Notes
For IHC-Paraffin, HIER pH 6 retrieval is recommended. ICC/IF,Fixation Permeabilization: Use PFA/Triton X-100.

Formulation, Preparation, and Storage

Purification

Immunogen affinity purified

Formulation

PBS (pH 7.2) and 40% Glycerol

Format

BSA Free

Preservative

0.02% Sodium Azide

Concentration

Concentrations vary lot to lot. See vial label for concentration. If unlisted please contact technical services.

Shipping

The product is shipped with polar packs. Upon receipt, store it immediately at the temperature recommended below.

Stability & Storage

Store at 4C short term. Aliquot and store at -20C long term. Avoid freeze-thaw cycles.

Background: GBAS

Chromosomal region 7p12, which contains GBAS, is amplified in approximately 40% of glioblastomas, the most common andmalignant form of central nervous system tumor.The predicted 286-amino acid protein contains a signal peptide, atransmembrane domain, and 2 tyrosine phosphorylation sites. The GBAS transcript is expressed most abundantly in heartand skeletal muscle. GBAS protein might be involved in vesicular transport. (provided by RefSeq)

Alternate Names

glioblastoma amplified sequence, Glioblastoma-amplified sequence, NIPSNAP2NipSnap2,4-nitrophenylphosphatase domain and non-neuronal SNAP25-like 2, protein NipSnap homolog 2

Gene Symbol

NIPSNAP2

UniProt

Additional GBAS Products

Product Documents for GBAS Antibody - BSA Free

Certificate of Analysis

To download a Certificate of Analysis, please enter a lot number in the search box below.

Product Specific Notices for GBAS Antibody - BSA Free

This product is for research use only and is not approved for use in humans or in clinical diagnosis. Primary Antibodies are guaranteed for 1 year from date of receipt.

Loading...
Loading...
Loading...
Loading...