GBAS Antibody (OTI1B8)
Novus Biologicals, part of Bio-Techne | Catalog # NBP2-45730
Conjugate
Catalog #
Forumulation
Catalog #
Key Product Details
Species Reactivity
Human, Mouse, Rat, Canine, Monkey
Applications
Immunohistochemistry, Immunohistochemistry-Paraffin, Western Blot, Immunocytochemistry/ Immunofluorescence
Label
Unconjugated
Antibody Source
Monoclonal Mouse IgG1 Clone # OTI1B8
Concentration
1 mg/ml
Product Specifications
Immunogen
Full length human recombinant protein of human GBAS(NP_001474) produced in E.coli.
Reactivity Notes
Please note that this antibody is reactive to Mouse and derived from the same host, Mouse. Mouse-On-Mouse blocking reagent may be needed for IHC and ICC experiments to reduce high background signal. You can find these reagents under catalog numbers PK-2200-NB and MP-2400-NB. Please contact Technical Support if you have any questions.
Clonality
Monoclonal
Host
Mouse
Isotype
IgG1
Theoretical MW
33.6 kDa.
Disclaimer note: The observed molecular weight of the protein may vary from the listed predicted molecular weight due to post translational modifications, post translation cleavages, relative charges, and other experimental factors.
Disclaimer note: The observed molecular weight of the protein may vary from the listed predicted molecular weight due to post translational modifications, post translation cleavages, relative charges, and other experimental factors.
Scientific Data Images for GBAS Antibody (OTI1B8)
Western Blot: GBAS Antibody (OTI1B8) [NBP2-45730]
Western Blot: GBAS Antibody (OTI1B8) [NBP2-45730] - Analysis of HEK293T cells were transfected with the pCMV6-ENTRY control (Left lane) or pCMV6-ENTRY GBAS.Immunohistochemistry: GBAS Antibody (OTI1B8) [NBP2-45730]
Immunohistochemistry: GBAS Antibody (OTI1B8) [NBP2-45730] - Analysis of Adenocarcinoma of Human endometrium tissue. (Heat-induced epitope retrieval by 10mM citric buffer, pH6.0, 120C for 3min)Western Blot: GBAS Antibody (OTI1B8) [NBP2-45730]
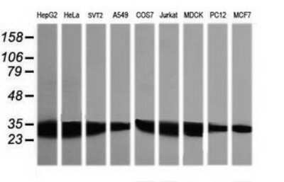
Western Blot: GBAS Antibody (OTI1B8) [NBP2-45730] - Analysis of extracts (35ug) from 9 different cell lines by usin g GBAS monoclonal antibody (HepG2: human; HeLa: human; SVT2: mouse; A549: human; COS7: monkey; Jurkat: human; MDCK: canine; PC12: rat; MCF7: human).Applications for GBAS Antibody (OTI1B8)
Application
Recommended Usage
Immunocytochemistry/ Immunofluorescence
1:50-1:100
Immunohistochemistry
1:150
Western Blot
1:200-1:2000
Formulation, Preparation, and Storage
Purification
Immunogen affinity purified
Formulation
PBS (pH 7.3), 1.0% BSA and 50% Glycerol
Preservative
0.02% Sodium Azide
Concentration
1 mg/ml
Shipping
The product is shipped with polar packs. Upon receipt, store it immediately at the temperature recommended below.
Stability & Storage
Store at -20C. Avoid freeze-thaw cycles.
Background: GBAS
Alternate Names
glioblastoma amplified sequence, Glioblastoma-amplified sequence, NIPSNAP2NipSnap2,4-nitrophenylphosphatase domain and non-neuronal SNAP25-like 2, protein NipSnap homolog 2
Gene Symbol
NIPSNAP2
Additional GBAS Products
Product Documents for GBAS Antibody (OTI1B8)
Product Specific Notices for GBAS Antibody (OTI1B8)
This product is for research use only and is not approved for use in humans or in clinical diagnosis. Primary Antibodies are guaranteed for 1 year from date of receipt.
Loading...
Loading...
Loading...
Loading...