Skip to main content

GATA-4 Antibody - BSA Free

Novus Biologicals, part of Bio-Techne | Catalog # NBP2-24585

Catalog #
Availability
Size / Price
Qty
Loading...
NBP2-24585SS
NBP2-24585
Conjugate
Catalog #

Key Product Details

Species Reactivity

Validated:

Human, Mouse

Cited:

Human, Mouse

Applications

Validated:

Immunohistochemistry, Immunohistochemistry-Paraffin, Western Blot

Cited:

Western Blot

Label

Unconjugated

Antibody Source

Polyclonal Rabbit IgG

Format

BSA Free

Concentration

1.0 mg/ml

Product Specifications

Immunogen

A portion of amino acids 330-380 of human GATA-4 was used as the immunogen for the antibody.

Reactivity Notes

Mouse reactivity reported in scientific literature (PMID: 28132888).

Clonality

Polyclonal

Host

Rabbit

Isotype

IgG

Scientific Data Images for GATA-4 Antibody - BSA Free

Western Blot: GATA-4 AntibodyBSA Free [NBP2-24585]

Western Blot: GATA-4 AntibodyBSA Free [NBP2-24585]

Western Blot: GATA-4 Antibody [NBP2-24585] - Analysis of GATA-4 in human kidney lysate in the 1) absence and 2) presence of immunizing peptide using this antibody. I goat anti-rabbit Ig HRP secondary antibody and PicoTect ECL substrate solution were used for this test.
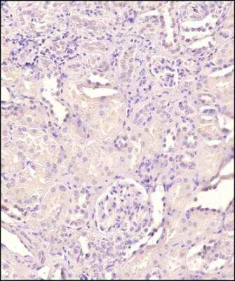
Immunohistochemistry-Paraffin: GATA-4 Antibody - BSA Free [NBP2-24585]

Immunohistochemistry-Paraffin: GATA-4 Antibody - BSA Free [NBP2-24585]

Immunohistochemistry-Paraffin: GATA-4 Antibody [NBP2-24585] - Analysis of a FFPE tissue section of human kidney using 1:200 dilution of GATA-4 antibody (NBP2-24585). The staining was developed using HRP labeled anti-rabbit secondary antibody and DAB reagent, and nuclei of cells were counter-stained with hematoxylin.
Immunohistochemistry-Paraffin: GATA-4 Antibody - BSA Free [NBP2-24585]

Immunohistochemistry-Paraffin: GATA-4 Antibody - BSA Free [NBP2-24585]

Immunohistochemistry-Paraffin: GATA-4 Antibody [NBP2-24585] - Formalin-fixed, paraffin-embedded human prostate probed with GATA-4 antibody at 10 ug/ml.

Applications for GATA-4 Antibody - BSA Free

Application
Recommended Usage

Immunohistochemistry-Paraffin

10 ug/ml. Use reported by customer review

Western Blot

1-3 ug/ml

Reviewed Applications

Read 1 review rated 5 using NBP2-24585 in the following applications:

Formulation, Preparation, and Storage

Purification

Immunogen affinity purified

Formulation

PBS

Format

BSA Free

Preservative

0.05% Sodium Azide

Concentration

1.0 mg/ml

Shipping

The product is shipped with polar packs. Upon receipt, store it immediately at the temperature recommended below.

Stability & Storage

Store at -20C. Avoid freeze-thaw cycles.

Background: GATA-4

GATA4 is a 46 kDa member of the GATA family of zinc finger containing transcription factors that is involved in the development of cardiac hypertrophy and remodeling, and plays a critical role in regulating basal and agonist or stress induced gene expression in cardiac and smooth muscle cell types. GATA4 contains a conserved MAPK phosphorylation site at serine 105 within the transcriptional activation domain. Serine 105 of GATA4 is phosphorylated in response to agonist stimulation through MEK 1 ERK1 / 2, and weakly through JNK or p38 MAPKs.

Alternate Names

GATA4

Gene Symbol

GATA4

UniProt

Additional GATA-4 Products

Product Documents for GATA-4 Antibody - BSA Free

Certificate of Analysis

To download a Certificate of Analysis, please enter a lot number in the search box below.

Product Specific Notices for GATA-4 Antibody - BSA Free

This product is for research use only and is not approved for use in humans or in clinical diagnosis. Primary Antibodies are guaranteed for 1 year from date of receipt.

Loading...
Loading...
Loading...
Loading...