Skip to main content

GAS8 Antibody - BSA Free

Novus Biologicals, part of Bio-Techne | Catalog # NBP2-14037

Novus Biologicals, part of Bio-Techne
Catalog #
Availability
Size / Price
Qty
Loading...
NBP2-14037

Key Product Details

Species Reactivity

Validated:

Human

Predicted:

Mouse (96%), Rat (96%). Backed by our 100% Guarantee.

Applications

Immunohistochemistry, Immunohistochemistry-Paraffin

Label

Unconjugated

Antibody Source

Polyclonal Rabbit IgG

Format

BSA Free

Concentration

Concentrations vary lot to lot. See vial label for concentration. If unlisted please contact technical services.

Product Specifications

Immunogen

This antibody was developed against a recombinant protein corresponding to the amino acids: VEKKEVQFNEVLAASNLDPAALTLVSRKLEDVLESKNSTIKDLQYELAQVCKAHNDLLRTYEAKLLAFGIPLDNVGFKPLETAVIGQTLGQG

Clonality

Polyclonal

Host

Rabbit

Isotype

IgG

Description

Novus Biologicals Rabbit GAS8 Antibody - BSA Free (NBP2-14037) is a polyclonal antibody validated for use in IHC. All Novus Biologicals antibodies are covered by our 100% guarantee.

Scientific Data Images for GAS8 Antibody - BSA Free

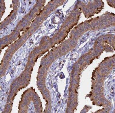
Immunohistochemistry-Paraffin: GAS8 Antibody [NBP2-14037]

Immunohistochemistry-Paraffin: GAS8 Antibody [NBP2-14037]

Immunohistochemistry-Paraffin: GAS8 Antibody [NBP2-14037] - Staining of human small intestine shows strong membranous and cytoplasmic positivity in glandular cells.
Immunohistochemistry-Paraffin: GAS8 Antibody [NBP2-14037]

Immunohistochemistry-Paraffin: GAS8 Antibody [NBP2-14037]

Immunohistochemistry-Paraffin: GAS8 Antibody [NBP2-14037] - Staining of human testis shows moderate cytoplasmic positivity in cells in seminiferous ducts.
Immunohistochemistry-Paraffin: GAS8 Antibody [NBP2-14037]

Immunohistochemistry-Paraffin: GAS8 Antibody [NBP2-14037]

Immunohistochemistry-Paraffin: GAS8 Antibody [NBP2-14037] - Staining of human fallopian tube shows moderate to strong cytoplasmic positivity in glandular cells.

Applications for GAS8 Antibody - BSA Free

Application
Recommended Usage

Immunohistochemistry

1:200 - 1:500

Immunohistochemistry-Paraffin

1:200 - 1:500
Application Notes
For IHC-Paraffin, HIER pH 6 retrieval is recommended.

Formulation, Preparation, and Storage

Purification

Affinity purified

Formulation

PBS (pH 7.2) and 40% Glycerol

Format

BSA Free

Preservative

0.02% Sodium Azide

Concentration

Concentrations vary lot to lot. See vial label for concentration. If unlisted please contact technical services.

Shipping

The product is shipped with polar packs. Upon receipt, store it immediately at the temperature recommended below.

Stability & Storage

Store at 4C short term. Aliquot and store at -20C long term. Avoid freeze-thaw cycles.

Background: GAS8

GAS8 includes 11 exons spanning 25 kb and maps to a region of chromosome 16 that is sometimes deleted in breast and prostrate cancer. The second intron contains an apparently intronless gene, C16orf3, that is transcribed in the opposite orientation. This gene is a putative tumor suppressor gene. Transcript Variant: This variant (1) is predicted to encode a protein.

Alternate Names

GAS-11, GAS11MGC138326, GAS-8, growth arrest specific 11, growth arrest-specific 11, growth arrest-specific 8, Growth arrest-specific protein 11, growth arrest-specific protein 8

Gene Symbol

GAS8

Additional GAS8 Products

Product Documents for GAS8 Antibody - BSA Free

Certificate of Analysis

To download a Certificate of Analysis, please enter a lot number in the search box below.

Product Specific Notices for GAS8 Antibody - BSA Free

This product is for research use only and is not approved for use in humans or in clinical diagnosis. Primary Antibodies are guaranteed for 1 year from date of receipt.

Loading...
Loading...
Loading...
Loading...