Skip to main content

GAPDH Antibody (GA1R) - Azide and BSA Free

Novus Biologicals, part of Bio-Techne | Catalog # NBP2-37828

Novus Biologicals, part of Bio-Techne

Key Product Details

Species Reactivity

Human, Mouse, Rat, Porcine, Bacteria, Chicken, Hamster, Insect, Rabbit, Yeast

Applications

Immunohistochemistry, Immunohistochemistry-Paraffin, Western Blot, ELISA, Flow Cytometry, Immunocytochemistry/ Immunofluorescence, Simple Western, CyTOF-ready

Label

Unconjugated

Antibody Source

Monoclonal Mouse IgG1 Clone # GA1R

Format

Azide and BSA Free

Concentration

1 mg/ml

Product Specifications

Immunogen

This GAPDH protein was developed against recombinant GAPDH

Reactivity Notes

Porcine reactivity reported in scientific literature (PMID: 17868880). Please note that this antibody is reactive to Mouse and derived from the same host, Mouse. Additional Mouse on Mouse blocking steps may be required for IHC and ICC experiments. Please contact Technical Support for more information.

Specificity

This GAPDH antibody detects GAPDH from BL-21 bacteria, Sf9 insect, Saccharomyces cerevisiae (yeast), human, mouse, rat, rabbit, hamster, and chicken samples. This product has been successfully used in Western blot, ELISA, and immunofluorescence.

Clonality

Monoclonal

Host

Mouse

Isotype

IgG1

Theoretical MW

36 kDa.
Disclaimer note: The observed molecular weight of the protein may vary from the listed predicted molecular weight due to post translational modifications, post translation cleavages, relative charges, and other experimental factors.

Description

Novus Biologicals Mouse GAPDH Antibody (GA1R) - Azide and BSA Free (NBP2-37828) is a monoclonal antibody validated for use in IHC, WB, ELISA, Flow, ICC/IF and Simple Western. Anti-GAPDH Antibody: Cited in 1 publication. All Novus Biologicals antibodies are covered by our 100% guarantee.

Scientific Data Images for GAPDH Antibody (GA1R) - Azide and BSA Free

Western Blot: GAPDH Antibody (GA1R)Azide and BSA Free [NBP2-37828]

Western Blot: GAPDH Antibody (GA1R)Azide and BSA Free [NBP2-37828]

Western Blot: GAPDH Antibody (GA1R) [NBP2-37828] - Analysis of BL-21 bacteria (1), Sf9 insect (2), and Saccharomyces cerevisiae (3). Theoretical molecular weight: 36 kDa.
Immunocytochemistry/ Immunofluorescence: GAPDH Antibody (GA1R) - Azide and BSA Free [NBP2-37828]

Immunocytochemistry/ Immunofluorescence: GAPDH Antibody (GA1R) - Azide and BSA Free [NBP2-37828]

Immunocytochemistry/Immunofluorescence: GAPDH Antibody (GA1R) [NBP2-37828] - Analysis of GAPDH (green) in HeLa. Formalin-fixed cells were permeabilized with 0.1% Triton X-100 in TBS for 10 minutes at room temperature and blocked with 5% normal goat serum for 15 minutes at room temperature. Cells were probed with a GAPDH monoclonal antibody at a dilution of 1:100 for at least 1 hour at room temperature, washed with PBS, and incubated with DyLight 488 goat anti-mouse IgG secondary antibody at a dilution of 1:400 for 30 minutes at room temperature. Nuclei (blue) were stained with Hoechst 33342 dye.
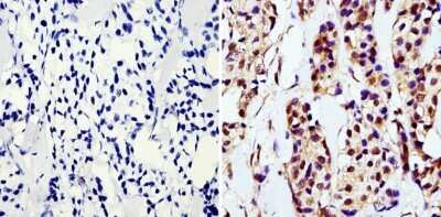
Immunohistochemistry-Paraffin: GAPDH Antibody (GA1R) - Azide and BSA Free [NBP2-37828]

Immunohistochemistry-Paraffin: GAPDH Antibody (GA1R) - Azide and BSA Free [NBP2-37828]

Immunohistochemistry-Paraffin: GAPDH Antibody (GA1R) [NBP2-37828] - Analysis showing staining in the nucleus and cytoplasm of paraffin-embedded human breast carcinoma (right) compared with a negative control without primary antibody (left).

Applications for GAPDH Antibody (GA1R) - Azide and BSA Free

Application
Recommended Usage

ELISA

1:100 - 1:2000

Flow Cytometry

2 ug

Immunocytochemistry/ Immunofluorescence

1:20 - 1:200

Immunohistochemistry

1:50 - 1:500

Immunohistochemistry-Paraffin

1:50 - 1:500

Western Blot

1:1000 - 1:10000
Application Notes
See Simple Western Antibody Database for Simple Western validation: separated by Size

Formulation, Preparation, and Storage

Purification

Protein A purified

Formulation

PBS (pH 7.2)

Format

Azide and BSA Free

Preservative

No Preservative

Concentration

1 mg/ml

Shipping

The product is shipped with polar packs. Upon receipt, store it immediately at the temperature recommended below.

Stability & Storage

Store at 4C short term. Aliquot and store at -20C long term. Avoid freeze-thaw cycles.

Background: GAPDH

Glyceraldehyde 3-Phosphate Dehydrogenase (GAPDH) is a ubiquitous enzyme involved in glycolysis, converting glyceraldehyde-3-phosphate into 1,3 diphosphoglycerate. This constitutively expressed, homotetramer protein can be found in the nucleus and cytoplasm, and the monomer has a theoretical molecular weight of 36 kDa. Known as a housekeeping gene, GAPDH routinely serves as a control for real-time PCR (RT-PCR) and as a loading control for Western Blots (1-3). In addition to its role in glycolysis, GAPDH has multiple cellular functions including membrane trafficking, transcription activation, apoptosis, DNA repair, and has been implicated in various pathologies such as cancer and neurodegenerative diseases including Alzheimer's and Huntington's (4,5).

References

1) Barber RD, Harmer DW, Coleman RA, Clark BJ. (2005) GAPDH as a housekeeping gene: analysis of GAPDH mRNA expression in a panel of 72 human tissues. Physiol Genomics. 21(3):389-95. PMID: 15769908

2) Jia Y, Takimoto K. (2006) Mitogen-activated protein kinases control cardiac KChIP2 gene expression. Circ Res. 98(3):386-93. PMID: 16385079

3) Godsel LM, Hsieh SN, Amargo EV, Bass AE, Pascoe-McGillicuddy LT, Huen AC, Thorne ME, Gaudry CA, Park JK, Myung K, Goldman RD, Chew TL, Green KJ. (2005) Desmoplakin assembly dynamics in four dimensions: multiple phases differentially regulated by intermediate filaments and actin. J Cell Biol. 171(6):1045-59. PMID: 16365169

4) Sirover MA1. (1999) New insights into an old protein: the functional diversity of mammalian glyceraldehyde-3-phosphate dehydrogenase. Biochim Biophys Acta. 1432(2): 159-84. PMID: 10407139

5) Tristan C, Shahani N, Sedlak TW, Sawa A. (2011) The diverse functions of GAPDH: views from different subcellular compartments. Cell Signal. 23(2):317-23. PMID: 20727968

Long Name

Glyceraldehyde-3-phosphate Dehydrogenase

Alternate Names

G3PDH

Gene Symbol

GAPDH

Additional GAPDH Products

Product Documents for GAPDH Antibody (GA1R) - Azide and BSA Free

Certificate of Analysis

To download a Certificate of Analysis, please enter a lot number in the search box below.

Product Specific Notices for GAPDH Antibody (GA1R) - Azide and BSA Free

This product is for research use only and is not approved for use in humans or in clinical diagnosis. Primary Antibodies are guaranteed for 1 year from date of receipt.

Loading...
Loading...
Loading...
Loading...
Loading...
Loading...