Skip to main content

GAPDH Antibody (1A10) - Azide and BSA Free

Novus Biologicals, part of Bio-Techne | Catalog # NBP2-80748

Novus Biologicals, part of Bio-Techne
Catalog #
Availability
Size / Price
Qty
Loading...
NBP2-80748

Key Product Details

Species Reactivity

Human, Mouse (Negative), Rat (Negative)

Applications

Immunohistochemistry, Immunohistochemistry-Paraffin, Western Blot, ELISA, Flow Cytometry, Immunocytochemistry/ Immunofluorescence, Simple Western, CyTOF-ready

Label

Unconjugated

Antibody Source

Monoclonal Mouse IgG1 Clone # 1A10

Format

Azide and BSA Free

Concentration

1 mg/ml

Product Specifications

Immunogen

GAPDH antibody developed against purified recombinant fragment of human GAPDH expressed in E. coli. [UniProt# P04406]

Reactivity Notes

Mouse reactivity reported in scientific literature (PMID: 25833141).

Localization

Cytoplasmic

Clonality

Monoclonal

Host

Mouse

Isotype

IgG1

Theoretical MW

36 kDa.
Disclaimer note: The observed molecular weight of the protein may vary from the listed predicted molecular weight due to post translational modifications, post translation cleavages, relative charges, and other experimental factors.

Description

Novus Biologicals Mouse GAPDH Antibody (1A10) - Azide and BSA Free (NBP1-47339) is a monoclonal antibody validated for use in IHC, WB, ELISA, Flow, ICC/IF and Simple Western. All Novus Biologicals antibodies are covered by our 100% guarantee.

Scientific Data Images for GAPDH Antibody (1A10) - Azide and BSA Free

Western Blot: GAPDH Antibody (1A10)Azide and BSA Free [NBP2-80748]

Western Blot: GAPDH Antibody (1A10)Azide and BSA Free [NBP2-80748]

Western Blot: GAPDH Antibody (1A10) - Azide and BSA Free [NBP2-80748] - Analaysis using anti-GAPDH mAb against Hela (1), A549 (2), A431 (3), MCF-7 (4), K562 (5), Jurkat (6), HL60 (7), SKN-SH (8) and SKBR-3 (9) cell lysate. Theoretical molecular weight: 36 kDa. Image from the standard format of this antibody.
Immunocytochemistry/ Immunofluorescence: GAPDH Antibody (1A10) - Azide and BSA Free [NBP2-80748]

Immunocytochemistry/ Immunofluorescence: GAPDH Antibody (1A10) - Azide and BSA Free [NBP2-80748]

Immunocytochemistry/Immunofluorescence: GAPDH Antibody (1A10) - Azide and BSA Free [NBP2-80748] - GAPDH was detected in immersion fixed HeLa human cervical epithelial carcinoma cell line using 2 ug/mL of mouse anti-GAPDH monoclonal (NB300-328), 2 ug/mL mL of mouse anti- GAPDH monoclonal (NBP1-47339). Cells were stained using the appropriate secondary antibody donkey anti-mouse IgG-NL557 (NL007) and counterstained with DAPI (blue). Image from the standard format of this antibody.
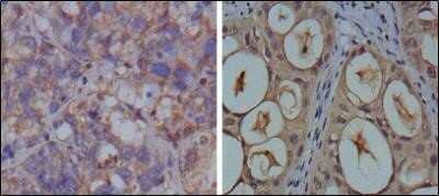
Immunohistochemistry-Paraffin: GAPDH Antibody (1A10) - Azide and BSA Free [NBP2-80748]

Immunohistochemistry-Paraffin: GAPDH Antibody (1A10) - Azide and BSA Free [NBP2-80748]

Immunohistochemistry-Paraffin: GAPDH Antibody (1A10) - Azide and BSA Free [NBP2-80748] - Analysis of paraffin-embedded human breast carcinoma (left) and kidney carcinoma (right), showing cytoplasmic localization using anti-GAPDH mAb with DAB staining. Image from the standard format of this antibody.

Applications for GAPDH Antibody (1A10) - Azide and BSA Free

Application
Recommended Usage

ELISA

1:10000

Flow Cytometry

5 ug/ml

Immunocytochemistry/ Immunofluorescence

1:200-1:1000

Immunohistochemistry

1:200-1:1000

Simple Western

1:50

Western Blot

1:500-1:2000
Application Notes
In Simple Western only 10 - 15 uL of the recommended dilution is used per data point.
See Simple Western Antibody Database for Simple Western validation: antibody dilution of 1:50. Separated by Size-Wes, Sally Sue/Peggy Sue.

Formulation, Preparation, and Storage

Purification

Protein G purified

Formulation

PBS

Format

Azide and BSA Free

Preservative

No Preservative

Concentration

1 mg/ml

Shipping

The product is shipped with polar packs. Upon receipt, store it immediately at the temperature recommended below.

Stability & Storage

Store at 4C short term. Aliquot and store at -20C long term. Avoid freeze-thaw cycles.

Background: GAPDH

Glyceraldehyde 3-Phosphate Dehydrogenase (GAPDH) is a ubiquitous enzyme involved in glycolysis, converting glyceraldehyde-3-phosphate into 1,3 diphosphoglycerate. This constitutively expressed, homotetramer protein can be found in the nucleus and cytoplasm, and the monomer has a theoretical molecular weight of 36 kDa. Known as a housekeeping gene, GAPDH routinely serves as a control for real-time PCR (RT-PCR) and as a loading control for Western Blots (1-3). In addition to its role in glycolysis, GAPDH has multiple cellular functions including membrane trafficking, transcription activation, apoptosis, DNA repair, and has been implicated in various pathologies such as cancer and neurodegenerative diseases including Alzheimer's and Huntington's (4,5).

References

1) Barber RD, Harmer DW, Coleman RA, Clark BJ. (2005) GAPDH as a housekeeping gene: analysis of GAPDH mRNA expression in a panel of 72 human tissues. Physiol Genomics. 21(3):389-95. PMID: 15769908

2) Jia Y, Takimoto K. (2006) Mitogen-activated protein kinases control cardiac KChIP2 gene expression. Circ Res. 98(3):386-93. PMID: 16385079

3) Godsel LM, Hsieh SN, Amargo EV, Bass AE, Pascoe-McGillicuddy LT, Huen AC, Thorne ME, Gaudry CA, Park JK, Myung K, Goldman RD, Chew TL, Green KJ. (2005) Desmoplakin assembly dynamics in four dimensions: multiple phases differentially regulated by intermediate filaments and actin. J Cell Biol. 171(6):1045-59. PMID: 16365169

4) Sirover MA1. (1999) New insights into an old protein: the functional diversity of mammalian glyceraldehyde-3-phosphate dehydrogenase. Biochim Biophys Acta. 1432(2): 159-84. PMID: 10407139

5) Tristan C, Shahani N, Sedlak TW, Sawa A. (2011) The diverse functions of GAPDH: views from different subcellular compartments. Cell Signal. 23(2):317-23. PMID: 20727968

Long Name

Glyceraldehyde-3-phosphate Dehydrogenase

Alternate Names

G3PDH

Gene Symbol

GAPDH

Additional GAPDH Products

Product Documents for GAPDH Antibody (1A10) - Azide and BSA Free

Certificate of Analysis

To download a Certificate of Analysis, please enter a lot number in the search box below.

Product Specific Notices for GAPDH Antibody (1A10) - Azide and BSA Free

This product is for research use only and is not approved for use in humans or in clinical diagnosis. Primary Antibodies are guaranteed for 1 year from date of receipt.

Loading...
Loading...
Loading...
Loading...
Loading...
Loading...