Skip to main content

GANC Antibody

Novus Biologicals, part of Bio-Techne | Catalog # NBP3-48498

Novus Biologicals, part of Bio-Techne
Catalog #
Availability
Size / Price
Qty
Loading...
NBP3-48498

Key Product Details

Species Reactivity

Human

Applications

Immunohistochemistry, Immunohistochemistry-Paraffin, Western Blot, Immunocytochemistry/ Immunofluorescence

Label

Unconjugated

Antibody Source

Polyclonal Rabbit IgG

Concentration

Concentrations vary lot to lot. See vial label for concentration. If unlisted please contact technical services.

Product Specifications

Immunogen

Recombinant protein encompassing a sequence within the center region of human GANC. The exact sequence is proprietary.

Clonality

Polyclonal

Host

Rabbit

Isotype

IgG

Description

Novus Biologicals Rabbit GANC Antibody (NBP3-48498) is a polyclonal antibody validated for use in IHC, WB and ICC/IF. All Novus Biologicals antibodies are covered by our 100% guarantee.

Scientific Data Images for GANC Antibody

GANC Antibody

Western Blot: GANC Antibody [NBP3-48498] -

Sample (30 ug of whole cell lysate)
A: HeLa
5% SDS PAGE
NBP3-48498 diluted at 1:1000
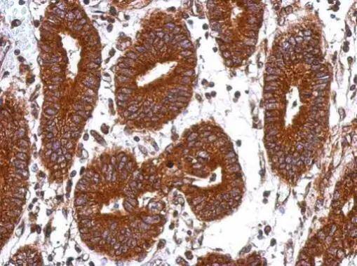
GANC Antibody

Immunohistochemistry: GANC Antibody [NBP3-48498] -

Immunohistochemical analysis of paraffin-embedded human colon carcinoma, using GANC(NBP3-48498) antibody at 1:500 dilution.

Antigen Retrieval: (EDTA based, pH 8.0) buffer, 15min

Applications for GANC Antibody

Application
Recommended Usage

Immunocytochemistry/ Immunofluorescence

1:100-1:1000

Immunohistochemistry-Paraffin

1:100-1:1000

Western Blot

1:500-1:3000

Formulation, Preparation, and Storage

Purification

Antigen Affinity-purified

Formulation

0.1M Tris, 0.1M Glycine, 20% Glycerol

Preservative

0.01% Thimerosal

Concentration

Concentrations vary lot to lot. See vial label for concentration. If unlisted please contact technical services.

Shipping

The product is shipped with polar packs. Upon receipt, store it immediately at the temperature recommended below.

Stability & Storage

Store at 4C short term. Aliquot and store at -20C long term. Avoid freeze-thaw cycles.

Background: GANC

Glycosyl hydrolase enzymes hydrolyse the glycosidic bond between two or more carbohydrates, or between a carbohydrate and a non-carbohydrate moiety. This gene encodes a member of glycosyl hydrolases family 31. This enzyme hydrolyses terminal, non-reducing 1,4-linked alpha-D-glucose residues and releases alpha-D-glucose. This is a key enzyme in glycogen metabolism and its gene localizes to a chromosomal region (15q15) that is associated with susceptibility to diabetes. [provided by RefSeq]

Long Name

Neutral alpha-glucosidase C

Alternate Names

EC 3.2.1.20

Gene Symbol

GANC

Additional GANC Products

Product Documents for GANC Antibody

Certificate of Analysis

To download a Certificate of Analysis, please enter a lot number in the search box below.

Product Specific Notices for GANC Antibody

This product is for research use only and is not approved for use in humans or in clinical diagnosis. Primary Antibodies are guaranteed for 1 year from date of receipt.

Loading...
Loading...
Loading...
Loading...