Skip to main content

gamma Tubulin Antibody (4D11)

Novus Biologicals, part of Bio-Techne | Catalog # NB100-74421

Novus Biologicals, part of Bio-Techne
Catalog #
Availability
Size / Price
Qty
Loading...
NB100-74421-0.025mg
NB100-74421

Key Product Details

Species Reactivity

Validated:

Human, Mouse, Rat, Primate

Cited:

Human

Applications

Validated:

Immunohistochemistry, Immunohistochemistry-Paraffin, Western Blot, Immunocytochemistry/ Immunofluorescence, Immunoprecipitation

Cited:

Western Blot

Label

Unconjugated

Antibody Source

Monoclonal Mouse IgG2B Clone # 4D11

Concentration

1 mg/ml

Product Specifications

Immunogen

Recombinant protein containing residues A A T R P D Y I S W G T Q E Q of human gamma Tubulin.

Reactivity Notes

Please note that this antibody is reactive to Mouse and derived from the same host, Mouse. Additional Mouse on Mouse blocking steps may be required for IHC and ICC experiments. Please contact Technical Support for more information.

Specificity

gamma Tubulin (4D11)

Marker

Centrosome Marker

Clonality

Monoclonal

Host

Mouse

Isotype

IgG2B

Scientific Data Images for gamma Tubulin Antibody (4D11)

Western Blot: gamma Tubulin Antibody (4D11) [NB100-74421]

Western Blot: gamma Tubulin Antibody (4D11) [NB100-74421]

Western Blot: gamma Tubulin Antibody (4D11) [NB100-74421] - Proteins were transferred to a PVDF membrane and blocked with 5% Milk/TBST for at least 1 hour. Membranes were probed with a mouse monoclonal antibody recognizing g-Tubulin at a dilution of 1:1000 overnight at 4C on a rocking platform. Membranes were washed in TBS-0.1%Tween 20 and probed with a goat anti-mouse-HRP secondary antibody at a dilution of 1:20,000 for at least one hour. Membranes were washed and chemiluminescent detection performed.
Immunocytochemistry/ Immunofluorescence: gamma Tubulin Antibody (4D11) [NB100-74421]

Immunocytochemistry/ Immunofluorescence: gamma Tubulin Antibody (4D11) [NB100-74421]

Immunocytochemistry/Immunofluorescence: gamma Tubulin Antibody (4D11) [NB100-74421] - Analysis of g-Tubulin using anti-g-Tubulin monoclonal antibody (shown in green) in HeLa (A) and U2-OS cells (B).
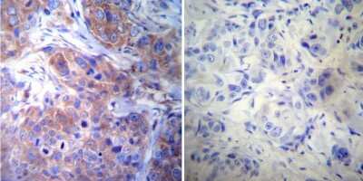
Immunohistochemistry-Paraffin: gamma Tubulin Antibody (4D11) [NB100-74421]

Immunohistochemistry-Paraffin: gamma Tubulin Antibody (4D11) [NB100-74421]

Immunohistochemistry-Paraffin: gamma Tubulin Antibody (4D11) [NB100-74421] - Both normal and cancer biopsies of deparaffinized human Breast carcinoma tissue.

Applications for gamma Tubulin Antibody (4D11)

Application
Recommended Usage

Immunocytochemistry/ Immunofluorescence

1:50

Immunohistochemistry

1:200

Immunohistochemistry-Paraffin

1:200

Immunoprecipitation

1:10 - 1:500

Western Blot

1:1000

Formulation, Preparation, and Storage

Purification

Protein G purified

Formulation

PBS with 1 mg/ml BSA

Preservative

0.05% Sodium Azide

Concentration

1 mg/ml

Shipping

The product is shipped with polar packs. Upon receipt, store it immediately at the temperature recommended below.

Stability & Storage

Store at -20C. Avoid freeze-thaw cycles.

Background: gamma Tubulin

Gamma tubulin, a member of the tubulin superfamily, is a ubiquitous and highly conserved protein within the microtubule organizing centre (MTOC). Gamma tubulin is not a component of microtubules, rather it functions as the microtubule nucleator at the MOTC, is responsible for binding microtubule minus ends and mediating the link between microtubles and the centrosome. By binding to the beta tubulin subunit of the tubulin molecule, it establishes the polarity of a microtubule leaving the alpha tubulin subunit exposed at the positive end. The abundance of Gamma tubulin is less than 1% of the level of either alpha or beta tubulin. It shares approximately 28-32% identity with alpha tubulin from various organisms and 32-36% identity with beta tubulins. The detection, localization and characterization of proteins involved in microtubule function is fundamental to the understanding of mitosis, meiosis and the microtubule cytoskeleton.

Long Name

Tubulin gamma-1 chain

Alternate Names

Gamma-1-tubulin, GCP-1, TUBG, TUBG1

Entrez Gene IDs

7283 (Human); 103733 (Mouse); 252921 (Rat)

Gene Symbol

TUBG1

UniProt

Additional gamma Tubulin Products

Product Documents for gamma Tubulin Antibody (4D11)

Certificate of Analysis

To download a Certificate of Analysis, please enter a lot number in the search box below.

Product Specific Notices for gamma Tubulin Antibody (4D11)

This product is for research use only and is not approved for use in humans or in clinical diagnosis. Primary Antibodies are guaranteed for 1 year from date of receipt.

Loading...
Loading...
Loading...
Loading...