Skip to main content

Gamma-Glutamyltransferase 7 Antibody - BSA Free

Novus Biologicals, part of Bio-Techne | Catalog # NBP3-46235

Novus Biologicals, part of Bio-Techne
Catalog #
Availability
Size / Price
Qty
Loading...
NBP3-46235

Key Product Details

Species Reactivity

Human, Mouse, Rat

Applications

ELISA, Immunohistochemistry, Western Blot

Label

Unconjugated

Antibody Source

Polyclonal Rabbit IgG

Format

BSA Free

Concentration

Please see the vial label for concentration. If unlisted please contact technical services.

Product Specifications

Immunogen

gamma-glutamyltransferase 7. (Uniprot# Q9UJ14)

Clonality

Polyclonal

Host

Rabbit

Isotype

IgG

Description

Novus Biologicals Rabbit Gamma-Glutamyltransferase 7 Antibody - BSA Free (NBP3-46235) is a polyclonal antibody validated for use in IHC, WB and ELISA. All Novus Biologicals antibodies are covered by our 100% guarantee.

Scientific Data Images for Gamma-Glutamyltransferase 7 Antibody - BSA Free

Gamma-Glutamyltransferase 7 Antibody - BSA Free

Western Blot: Gamma-Glutamyltransferase 7 Antibody - BSA Free [NBP3-46235] -

Western Blot: Gamma-Glutamyltransferase 7 Antibody - BSA Free [NBP3-46235] - HEK-293 cells were subjected to SDS PAGE followed by western blot with (Gamma-Glutamyltransferase 7 Antibody) at dilution of 1:1000
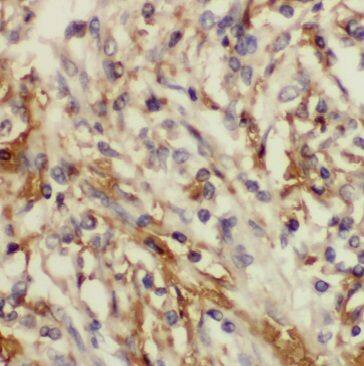
Gamma-Glutamyltransferase 7 Antibody - BSA Free

Immunohistochemistry: Gamma-Glutamyltransferase 7 Antibody - BSA Free [NBP3-46235] -

Immunohistochemistry: Gamma-Glutamyltransferase 7 Antibody - BSA Free [NBP3-46235] - Immunohistochemistry of paraffin-embedded human lung cancer tissue slide using (Gamma-Glutamyltransferase 7 Antibody) at dilution of 1:50

Applications for Gamma-Glutamyltransferase 7 Antibody - BSA Free

Application
Recommended Usage

Immunohistochemistry

1:20-1:200

Western Blot

1:500-1:2000
Application Notes
Theoretical Molecular Weight is 75-100 kDa

Formulation, Preparation, and Storage

Purification

Immunogen affinity purified

Formulation

PBS, 50% Glycerol, pH (7.3)

Format

BSA Free

Preservative

0.02% Sodium Azide

Concentration

Please see the vial label for concentration. If unlisted please contact technical services.

Shipping

The product is shipped with polar packs. Upon receipt, store it immediately at the temperature recommended below.

Stability & Storage

Store at -20C. Avoid freeze-thaw cycles.

Background: Gamma-Glutamyltransferase 7

Long Name

Glutathione hydrolase 7

Alternate Names

EC 2.3.2.2, EC 3.4.19.13, GGT 7, GGT7, GGTL3, GGTL5

Gene Symbol

GGT7

Additional Gamma-Glutamyltransferase 7 Products

Product Documents for Gamma-Glutamyltransferase 7 Antibody - BSA Free

Certificate of Analysis

To download a Certificate of Analysis, please enter a lot number in the search box below.

Product Specific Notices for Gamma-Glutamyltransferase 7 Antibody - BSA Free

This product is for research use only and is not approved for use in humans or in clinical diagnosis. Primary Antibodies are guaranteed for 1 year from date of receipt.

Loading...
Loading...
Loading...
Loading...