Skip to main content

GALK2 Antibody - BSA Free

Novus Biologicals, part of Bio-Techne | Catalog # NBP2-48900

Novus Biologicals, part of Bio-Techne
Catalog #
Availability
Size / Price
Qty
Loading...
NBP2-48900
NBP2-48900-25ul

Key Product Details

Species Reactivity

Validated:

Human

Predicted:

Mouse (94%), Rat (97%). Backed by our 100% Guarantee.

Applications

Immunocytochemistry/ Immunofluorescence, Immunohistochemistry, Immunohistochemistry-Paraffin, Western Blot

Label

Unconjugated

Antibody Source

Polyclonal Rabbit IgG

Format

BSA Free

Concentration

Concentrations vary lot to lot. See vial label for concentration. If unlisted please contact technical services.

Product Specifications

Immunogen

This antibody was developed against a recombinant protein corresponding to amino acids: EICAKSERYIGTEGGGMDQSISFLAEEGTAKLIEFSPLRATDVKLPSGAVFVIANSCVEMNKAATSHFNIRVMECRLAAKLLAKYK

Clonality

Polyclonal

Host

Rabbit

Isotype

IgG

Description

Novus Biologicals Rabbit GALK2 Antibody - BSA Free (NBP2-48900) is a polyclonal antibody validated for use in IHC, WB and ICC/IF. All Novus Biologicals antibodies are covered by our 100% guarantee.

Scientific Data Images for GALK2 Antibody - BSA Free

Western Blot: GALK2 Antibody [NBP2-48900]

Western Blot: GALK2 Antibody [NBP2-48900]

Western Blot: GALK2 Antibody [NBP2-48900] - Lane 1: Marker [kDa] 250, 130, 95, 72, 55, 36, 28, 17, 10
Lane 2: Human cell line RT-4
Lane 3: Human cell line U-251MG sp
Lane 4: Human plasma (IgG/HSA depleted)
Lane 5: Human liver tissue
Immunocytochemistry/ Immunofluorescence: GALK2 Antibody [NBP2-48900]

Immunocytochemistry/ Immunofluorescence: GALK2 Antibody [NBP2-48900]

Immunocytochemistry/Immunofluorescence: GALK2 Antibody [NBP2-48900] - Immunofluorescent staining of human cell line PC-3 shows localization to nucleoplasm & cytosol.
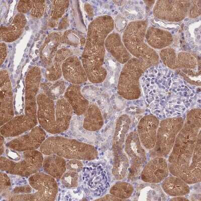
Immunohistochemistry-Paraffin: GALK2 Antibody [NBP2-48900]

Immunohistochemistry-Paraffin: GALK2 Antibody [NBP2-48900]

Immunohistochemistry-Paraffin: GALK2 Antibody [NBP2-48900] - Staining of human kidney shows moderate cytoplasmic positivity in cells in tubules.

Applications for GALK2 Antibody - BSA Free

Application
Recommended Usage

Immunocytochemistry/ Immunofluorescence

0.25-2 ug/ml

Immunohistochemistry

1:20 - 1:50

Immunohistochemistry-Paraffin

1:20 - 1:50

Western Blot

0.04-0.4 ug/ml
Application Notes
For IHC-Paraffin, HIER pH 6 retrieval is recommended. Immunocytochemistry/Immunofluorescence Fixation Permeabilization: Use PFA/Triton X-100.

Formulation, Preparation, and Storage

Purification

Immunogen affinity purified

Formulation

PBS (pH 7.2) and 40% Glycerol

Format

BSA Free

Preservative

0.02% Sodium Azide

Concentration

Concentrations vary lot to lot. See vial label for concentration. If unlisted please contact technical services.

Shipping

The product is shipped with polar packs. Upon receipt, store it immediately at the temperature recommended below.

Stability & Storage

Store at 4C short term. Aliquot and store at -20C long term. Avoid freeze-thaw cycles.

Background: GALK2

GALK2 encodes a highly efficient N-acetylgalactosamine (GalNAc) kinase, which has galactokinase activity when galactose is present at high concentrations. Two alternatively spliced transcript variants encoding different isoforms have been found for this gene.

Alternate Names

EC 2.7.1, EC 2.7.1.157, galactokinase 2MGC1745, GalNAc kinase, GK2N-acetylgalactosamine kinase

Gene Symbol

GALK2

Additional GALK2 Products

Product Documents for GALK2 Antibody - BSA Free

Certificate of Analysis

To download a Certificate of Analysis, please enter a lot number in the search box below.

Product Specific Notices for GALK2 Antibody - BSA Free

This product is for research use only and is not approved for use in humans or in clinical diagnosis. Primary Antibodies are guaranteed for 1 year from date of receipt.

Loading...
Loading...
Loading...
Loading...