Skip to main content

Galectin-3BP/MAC-2BP/LGALS3BP Antibody (OTI6B7)

Novus Biologicals, part of Bio-Techne | Catalog # NBP2-01160

Novus Biologicals, part of Bio-Techne
Catalog #
Availability
Size / Price
Qty
Loading...
NBP2-01160

Key Product Details

Species Reactivity

Validated:

Human

Cited:

Human

Applications

Validated:

Immunohistochemistry, Immunohistochemistry-Paraffin, Western Blot, Flow Cytometry

Cited:

Western Blot, Flow Cytometry

Label

Unconjugated

Antibody Source

Monoclonal Mouse IgG2A Clone # OTI6B7

Concentration

1 mg/ml

Product Specifications

Immunogen

Human recombinant protein fragment corresponding to amino acids 19-300 of human LGALS3BP(NP_005558) produced in E.coil.

Clonality

Monoclonal

Host

Mouse

Isotype

IgG2A

Theoretical MW

65.2 kDa.
Disclaimer note: The observed molecular weight of the protein may vary from the listed predicted molecular weight due to post translational modifications, post translation cleavages, relative charges, and other experimental factors.

Scientific Data Images for Galectin-3BP/MAC-2BP/LGALS3BP Antibody (OTI6B7)

Western Blot: LGALS3BP Antibody (6B7) [NBP2-01160] Analysis of extracts (35ug) from 9 different cell lines by using anti-LGALS3BP monoclonal antibody.
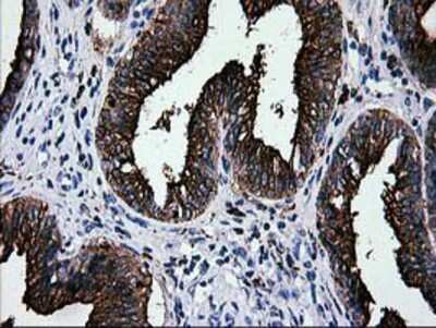
Immunohistochemistry-Paraffin: Galectin-3BP/MAC-2BP/LGALS3BP Antibody (OTI6B7) [NBP2-01160]

Immunohistochemistry-Paraffin: Galectin-3BP/MAC-2BP/LGALS3BP Antibody (OTI6B7) [NBP2-01160]

Immunohistochemistry-Paraffin: LGALS3BP Antibody (6B7) [NBP2-01160] - Staining of paraffin-embedded Human prostate tissue using anti-LGALS3BP mouse monoclonal antibody.
Flow Cytometry: Galectin-3BP/MAC-2BP/LGALS3BP Antibody (OTI6B7) [NBP2-01160]

Flow Cytometry: Galectin-3BP/MAC-2BP/LGALS3BP Antibody (OTI6B7) [NBP2-01160]

Flow Cytometry: LGALS3BP Antibody (6B7) [NBP2-01160] - HEK293T cells transfected with either overexpression plasmid (Red) or empty vector control plasmid (Blue) were immunostained by anti-LGALS3BP antibody, and then analyzed by flow cytometry.

Applications for Galectin-3BP/MAC-2BP/LGALS3BP Antibody (OTI6B7)

Application
Recommended Usage

Flow Cytometry

1:100

Immunohistochemistry

1:150

Immunohistochemistry-Paraffin

1:150

Western Blot

1:200-500

Formulation, Preparation, and Storage

Purification

Immunogen affinity purified

Formulation

PBS (pH 7.3), 1.0% BSA and 50% Glycerol

Preservative

0.02% Sodium Azide

Concentration

1 mg/ml

Shipping

The product is shipped with polar packs. Upon receipt, store it immediately at the temperature recommended below.

Stability & Storage

Store at -20C. Avoid freeze-thaw cycles.

Background: Galectin-3BP/MAC-2BP

The galectins are a family of beta-galactoside-binding proteins implicated in modulating cell-cell and cell-matrix interactions. LGALS3BP has been found elevated in the serum of patients with cancer and in those infected by the human immunodeficiency virus (HIV). It appears to be implicated in immune response associated with natural killer (NK) and lymphokine-activated killer (LAK) cell cytotoxicity. Using fluorescence in situ hybridization the full length 90K cDNA has been localized to chromosome 17q25. The native protein binds specifically to a human macrophage-associated lectin known as Mac-2 and also binds galectin 1. [provided by RefSeq].

Long Name

Galectin-3 Binding Protein

Alternate Names

90K, Galectin3BP, LGALS3BP, MAC-2BP

Entrez Gene IDs

3959 (Human)

Gene Symbol

LGALS3BP

Additional Galectin-3BP/MAC-2BP Products

Product Documents for Galectin-3BP/MAC-2BP/LGALS3BP Antibody (OTI6B7)

Certificate of Analysis

To download a Certificate of Analysis, please enter a lot number in the search box below.

Product Specific Notices for Galectin-3BP/MAC-2BP/LGALS3BP Antibody (OTI6B7)

This product is for research use only and is not approved for use in humans or in clinical diagnosis. Primary Antibodies are guaranteed for 1 year from date of receipt.

Loading...
Loading...
Loading...
Loading...
Loading...