Skip to main content

Galectin-3BP/MAC-2BP/LGALS3BP Antibody (D5) - BSA Free

Novus Biologicals, part of Bio-Techne | Catalog # NBP3-41468

Novus Biologicals, part of Bio-Techne
Catalog #
Availability
Size / Price
Qty
Loading...
NBP3-41468

Key Product Details

Species Reactivity

Human, Rat

Applications

Immunohistochemistry, Immunohistochemistry-Paraffin, Western Blot

Label

Unconjugated

Antibody Source

Monoclonal Mouse IgG2b Kappa Clone # D5

Format

BSA Free

Concentration

1 mg/ml

Product Specifications

Immunogen

Immunized with recombinant Human Galectin-3BP/MAC-2BP/LGALS3BP (Uniprot#: Q08380; Met24-Leu221 (Uniprot#: Q08380)

Clonality

Monoclonal

Host

Mouse

Isotype

IgG2b Kappa

Description

Novus Biologicals Mouse Galectin-3BP/MAC-2BP/LGALS3BP Antibody (D5) - BSA Free (NBP3-41468) is a monoclonal antibody validated for use in IHC and WB. All Novus Biologicals antibodies are covered by our 100% guarantee.

Scientific Data Images for Galectin-3BP/MAC-2BP/LGALS3BP Antibody (D5) - BSA Free

Galectin-3BP/MAC-2BP/LGALS3BP Antibody (D5)

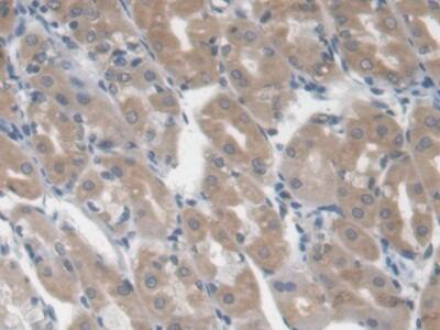
Immunohistochemistry-Paraffin: Galectin-3BP/MAC-2BP/LGALS3BP Antibody (D5) [NBP3-41468] -

Immunohistochemistry-Paraffin: Galectin-3BP/MAC-2BP/LGALS3BP Antibody (D5) [NBP3-41468] - DAB staining on IHC-P; Samples: Human Prostate Tissue; Primary Ab: 20ug/ml NBP3-41468; Second Ab: 2ug/mL HRP-Linked Caprine Anti-Mouse IgG Polyclonal Antibody
Galectin-3BP/MAC-2BP/LGALS3BP Antibody (D5)

Immunohistochemistry-Paraffin: Galectin-3BP/MAC-2BP/LGALS3BP Antibody (D5) [NBP3-41468] -

Immunohistochemistry-Paraffin: Galectin-3BP/MAC-2BP/LGALS3BP Antibody (D5) [NBP3-41468] - DAB staining on IHC-P; Samples: Human Stomach Tissue; Primary Ab: 20ug/ml NBP3-41468

Applications for Galectin-3BP/MAC-2BP/LGALS3BP Antibody (D5) - BSA Free

Application
Recommended Usage

Immunohistochemistry

5-20ug/mL

Immunohistochemistry-Paraffin

5-20ug/mL

Western Blot

0.01-3ug/mL

Formulation, Preparation, and Storage

Purification

Protein A or G purified

Formulation

PBS, pH7.4, 50% glycerol

Format

BSA Free

Preservative

0.02% Sodium Azide

Concentration

1 mg/ml

Shipping

The product is shipped with polar packs. Upon receipt, store it immediately at the temperature recommended below.

Stability & Storage

Store at 4C short term. Aliquot and store at -20C long term. Avoid freeze-thaw cycles.

Background: Galectin-3BP/MAC-2BP

Plasmid: pCMV-LGALS3BP Full length

Long Name

Galectin-3 Binding Protein

Alternate Names

90K, Galectin3BP, LGALS3BP, MAC-2BP

Gene Symbol

LGALS3BP

Additional Galectin-3BP/MAC-2BP Products

Product Documents for Galectin-3BP/MAC-2BP/LGALS3BP Antibody (D5) - BSA Free

Certificate of Analysis

To download a Certificate of Analysis, please enter a lot number in the search box below.

Product Specific Notices for Galectin-3BP/MAC-2BP/LGALS3BP Antibody (D5) - BSA Free

This product is for research use only and is not approved for use in humans or in clinical diagnosis. Primary Antibodies are guaranteed for 1 year from date of receipt.

Loading...
Loading...
Loading...
Loading...