Skip to main content

Galanin R2/GALR2 Antibody - BSA Free

Novus Biologicals, part of Bio-Techne | Catalog # NBP1-91921

Novus Biologicals, part of Bio-Techne
Catalog #
Availability
Size / Price
Qty
Loading...
NBP1-91921
NBP1-91921-25ul

Key Product Details

Species Reactivity

Human

Applications

Immunohistochemistry, Immunohistochemistry-Paraffin, Western Blot

Label

Unconjugated

Antibody Source

Polyclonal Rabbit IgG

Format

BSA Free

Concentration

Concentrations vary lot to lot. See vial label for concentration. If unlisted please contact technical services.

Product Specifications

Immunogen

This antibody was developed against Recombinant Protein corresponding to amino acids: RGTHSGSVLERESSDLLHMSEAAGALRPCPGASQPCILEPCPGPSWQGPKAGDSILTVDVA

Clonality

Polyclonal

Host

Rabbit

Isotype

IgG

Description

Novus Biologicals Rabbit Galanin R2/GALR2 Antibody - BSA Free (NBP1-91921) is a polyclonal antibody validated for use in IHC and WB. All Novus Biologicals antibodies are covered by our 100% guarantee.

Scientific Data Images for Galanin R2/GALR2 Antibody - BSA Free

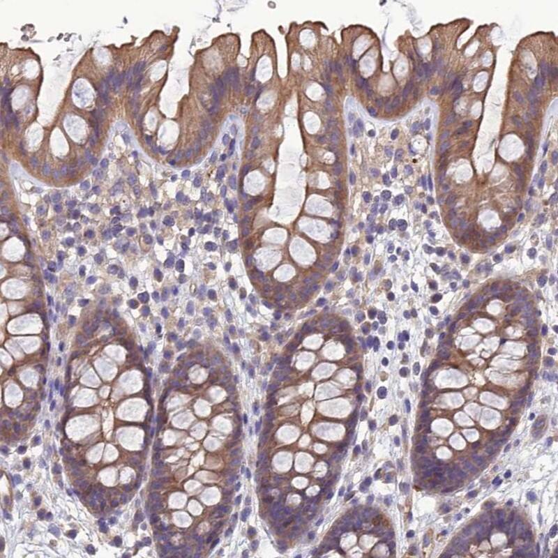
Immunohistochemistry-Paraffin: Galanin R2/GALR2 Antibody [NBP1-91921]

Immunohistochemistry-Paraffin: Galanin R2/GALR2 Antibody [NBP1-91921]

Immunohistochemistry-Paraffin: Galanin R2/GALR2 Antibody [NBP1-91921] - Staining of human colon shows moderate cytoplasmic positivity in glandular cells.
Galanin R2/GALR2 Antibody - BSA Free Western Blot: Galanin R2/GALR2 Antibody - BSA Free [NBP1-91921]

Western Blot: Galanin R2/GALR2 Antibody - BSA Free [NBP1-91921]

Analysis in control (vector only transfected HEK293T lysate) and GALR2 over-expression lysate (Co-expressed with a C-terminal myc-DDK tag (~3.1 kDa) in mammalian HEK293T cells).
Galanin R2/GALR2 Antibody - BSA Free Immunohistochemistry: Galanin R2/GALR2 Antibody - BSA Free [NBP1-91921]

Immunohistochemistry: Galanin R2/GALR2 Antibody - BSA Free [NBP1-91921]

Staining of human colon shows moderate cytoplasmic positivity in glandular cells.

Applications for Galanin R2/GALR2 Antibody - BSA Free

Application
Recommended Usage

Immunohistochemistry

1:200 - 1:500

Immunohistochemistry-Paraffin

1:200 - 1:500

Western Blot

0.04-0.4 ug/ml
Application Notes
For IHC-Paraffin, HIER pH 6 retrieval is recommended.

Formulation, Preparation, and Storage

Purification

Immunogen affinity purified

Formulation

PBS (pH 7.2) and 40% Glycerol

Format

BSA Free

Preservative

0.02% Sodium Azide

Concentration

Concentrations vary lot to lot. See vial label for concentration. If unlisted please contact technical services.

Shipping

The product is shipped with polar packs. Upon receipt, store it immediately at the temperature recommended below.

Stability & Storage

Store at 4C short term. Aliquot and store at -20C long term. Avoid freeze-thaw cycles.

Background: Galanin R2/GALR2

Galanin is an important neuromodulator present in the brain, gastrointestinal system, and hypothalamopituitary axis. It is a 30-amino acid non-C-terminally amidated peptide that potently stimulates growth hormone secretion, inhibits cardiac vagal slowing of heart rate, abolishes sinus arrhythmia, and inhibits postprandial gastrointestinal motility. The actions of galanin are mediated through interaction with specific membrane receptors that are members of the 7-transmembrane family of G protein-coupled receptors. GALR2 interacts with the N-terminal residues of the galanin peptide. The primary signaling mechanism for GALR2 is through the phospholipase C/protein kinase C pathway (via Gq), in contrast to GALR1, which communicates its intracellular signal by inhibition of adenylyl cyclase through Gi. However, it has been demonstrated that GALR2 couples efficiently to both the Gq and Gi proteins to simultaneously activate 2 independent signal transduction pathways.

Long Name

Galanin Receptor Type 2

Alternate Names

GAL2R, GalaninR2, GALNR2, GALR2

Gene Symbol

GALR2

Additional Galanin R2/GALR2 Products

Product Documents for Galanin R2/GALR2 Antibody - BSA Free

Certificate of Analysis

To download a Certificate of Analysis, please enter a lot number in the search box below.

Product Specific Notices for Galanin R2/GALR2 Antibody - BSA Free

This product is for research use only and is not approved for use in humans or in clinical diagnosis. Primary Antibodies are guaranteed for 1 year from date of receipt.

Loading...
Loading...
Loading...
Loading...