Skip to main content

GADD34 Antibody - BSA Free

Novus Biologicals, part of Bio-Techne | Catalog # NBP1-89800

Novus Biologicals, part of Bio-Techne
Catalog #
Availability
Size / Price
Qty
Loading...
NBP1-89800-25ul
NBP1-89800

Key Product Details

Species Reactivity

Validated:

Human, Mouse

Cited:

Mouse

Applications

Immunohistochemistry, Immunohistochemistry-Paraffin

Label

Unconjugated

Antibody Source

Polyclonal Rabbit IgG

Format

BSA Free

Concentration

Concentrations vary lot to lot. See vial label for concentration. If unlisted please contact technical services.

Product Specifications

Immunogen

This antibody was developed against Recombinant Protein corresponding to amino acids: QPGEDTEEEEDEDSDTGSAEDEREAETSASTPPASAFLKAWVYRPGEDTEEEEDEDVDSEDKEDDSEAALGEAESDPHPSHPDQRAHFRGWGYRPGKETEEEEAAEDWGEAEPCP

Reactivity Notes

Use in Mouse reported in scientific publication (PMID: 32435966).

Localization

Endoplasmic reticulum

Marker

ER Stress Marker

Clonality

Polyclonal

Host

Rabbit

Isotype

IgG

Theoretical MW

74 kDa.
Disclaimer note: The observed molecular weight of the protein may vary from the listed predicted molecular weight due to post translational modifications, post translation cleavages, relative charges, and other experimental factors.

Description

Novus Biologicals Rabbit GADD34 Antibody - BSA Free (NBP1-89800) is a polyclonal antibody validated for use in IHC. Anti-GADD34 Antibody: Cited in 1 publication. All Novus Biologicals antibodies are covered by our 100% guarantee.

Scientific Data Images for GADD34 Antibody - BSA Free

GADD34 Antibody - BSA Free Immunohistochemistry-Paraffin: GADD34 Antibody - BSA Free [NBP1-89800]

Immunohistochemistry-Paraffin: GADD34 Antibody - BSA Free [NBP1-89800]

Staining of human prostate shows strong cytoplasmic granular positivity in glandular cells.
GADD34 Antibody - BSA Free Immunohistochemistry-Paraffin: GADD34 Antibody - BSA Free [NBP1-89800]

Immunohistochemistry-Paraffin: GADD34 Antibody - BSA Free [NBP1-89800]

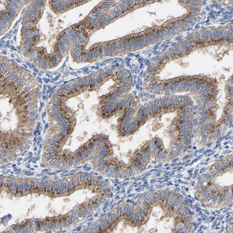
Staining of human rectum shows strong cytoplasmic granular positivity in glandular cells.
GADD34 Antibody - BSA Free Immunohistochemistry-Paraffin: GADD34 Antibody - BSA Free [NBP1-89800]

Immunohistochemistry-Paraffin: GADD34 Antibody - BSA Free [NBP1-89800]

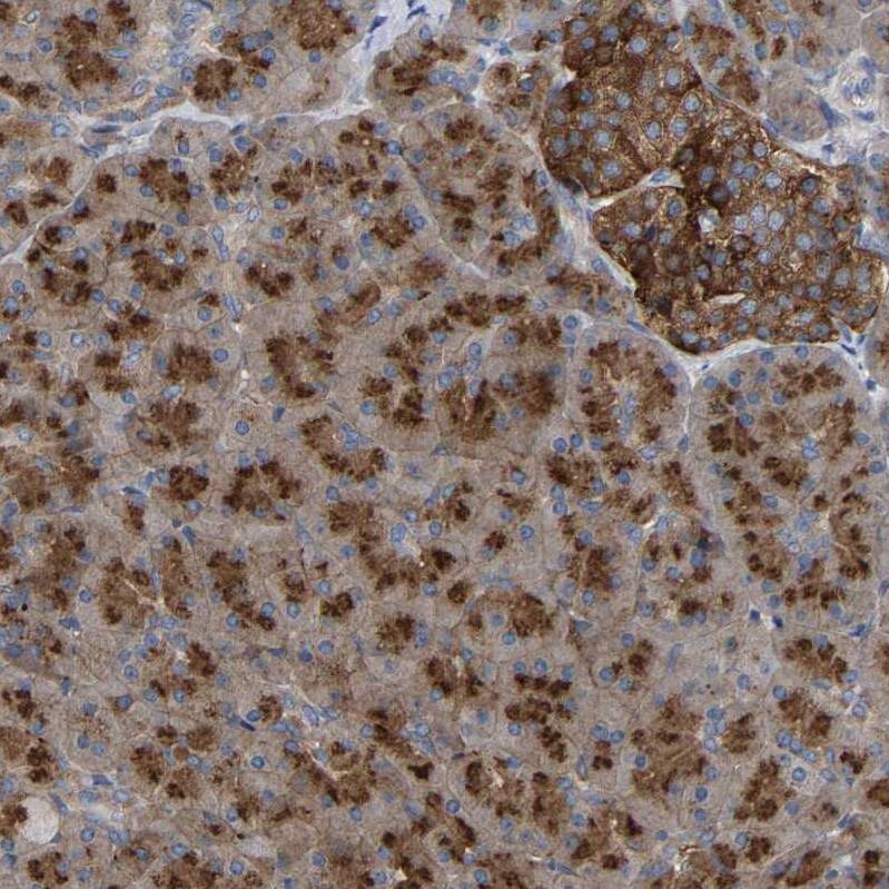
Staining of human pancreas shows strong cytoplasmic granular positivity in exocrine glandular cells.

Applications for GADD34 Antibody - BSA Free

Application
Recommended Usage

Immunohistochemistry

1:20 - 1:50

Immunohistochemistry-Paraffin

1:20 - 1:50
Application Notes
IHC-P, Retrieval method: HIER pH6

Formulation, Preparation, and Storage

Purification

Affinity purified

Formulation

PBS (pH 7.2) and 40% Glycerol

Format

BSA Free

Preservative

0.02% Sodium Azide

Concentration

Concentrations vary lot to lot. See vial label for concentration. If unlisted please contact technical services.

Shipping

The product is shipped with polar packs. Upon receipt, store it immediately at the temperature recommended below.

Stability & Storage

Store at 4C short term. Aliquot and store at -20C long term. Avoid freeze-thaw cycles.

Background: GADD34

GADD34 is a phosphatase whose expression is increased by exposure of cells to DNA damage or stress induced growth arrest. Induction is correlated with apoptosis following exposure to ionizing radiation.

Long Name

Protein phosphatase 1 regulatory subunit 15A

Alternate Names

PPP1R15A

Entrez Gene IDs

23645 (Human)

Gene Symbol

PPP1R15A

UniProt

Additional GADD34 Products

Product Documents for GADD34 Antibody - BSA Free

Certificate of Analysis

To download a Certificate of Analysis, please enter a lot number in the search box below.

Product Specific Notices for GADD34 Antibody - BSA Free

This product is for research use only and is not approved for use in humans or in clinical diagnosis. Primary Antibodies are guaranteed for 1 year from date of receipt.

Loading...
Loading...
Loading...
Loading...