Skip to main content

Gabpb2 Antibody - BSA Free

Novus Biologicals, part of Bio-Techne | Catalog # NBP1-33690

Novus Biologicals, part of Bio-Techne
Catalog #
Availability
Size / Price
Qty
Loading...
NBP1-33690

Key Product Details

Species Reactivity

Validated:

Human

Predicted:

Bovine (96%), Mouse (94%). Backed by our 100% Guarantee.

Applications

Immunohistochemistry, Immunohistochemistry-Paraffin, Western Blot, Immunocytochemistry/ Immunofluorescence

Label

Unconjugated

Antibody Source

Polyclonal Rabbit IgG

Format

BSA Free

Concentration

Concentrations vary lot to lot. See vial label for concentration. If unlisted please contact technical services.

Product Specifications

Immunogen

Recombinant protein encompassing a sequence within the center region of human Gabpb2. The exact sequence is proprietary.

Localization

Nucleus

Clonality

Polyclonal

Host

Rabbit

Isotype

IgG

Description

Novus Biologicals Rabbit Gabpb2 Antibody - BSA Free (NBP1-33690) is a polyclonal antibody validated for use in IHC, WB and ICC/IF. All Novus Biologicals antibodies are covered by our 100% guarantee.

Scientific Data Images for Gabpb2 Antibody - BSA Free

Western Blot: Gabpb2 Antibody [NBP1-33690]

Western Blot: Gabpb2 Antibody [NBP1-33690]

Western Blot: Gabpb2 Antibody [NBP1-33690] - Sample (30 ug of whole cell lysate) A: Hela 10% SDS PAGE; antibody diluted at 1:5000.
Immunocytochemistry/ Immunofluorescence: Gabpb2 Antibody [NBP1-33690]

Immunocytochemistry/ Immunofluorescence: Gabpb2 Antibody [NBP1-33690]

Immunocytochemistry/Immunofluorescence: Gabpb2 Antibody [NBP1-33690] - Paraformaldehyde-fixed HeLa, using antibody at 1:500 dilution.
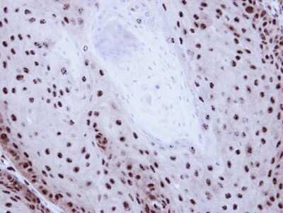
Immunohistochemistry-Paraffin: Gabpb2 Antibody [NBP1-33690]

Immunohistochemistry-Paraffin: Gabpb2 Antibody [NBP1-33690]

Immunohistochemistry-Paraffin: Gabpb2 Antibody [NBP1-33690] - Paraffin-embedded Cal27 Xenograft, using antibody at 1:100 dilution.

Applications for Gabpb2 Antibody - BSA Free

Application
Recommended Usage

Immunocytochemistry/ Immunofluorescence

1:100-1:1000

Immunohistochemistry

10 - 1:500

Immunohistochemistry-Paraffin

1:100-1:1000

Western Blot

1:1000-1:10000

Formulation, Preparation, and Storage

Purification

Antigen Affinity-purified

Formulation

0.1M Tris, 0.1M Glycine, 10% Glycerol

Format

BSA Free

Preservative

0.01% Thimerosal

Concentration

Concentrations vary lot to lot. See vial label for concentration. If unlisted please contact technical services.

Shipping

The product is shipped with polar packs. Upon receipt, store it immediately at the temperature recommended below.

Stability & Storage

Aliquot and store at -20C or -80C. Avoid freeze-thaw cycles.

Background: Gabpb2

GABPB2 encodes the GA-binding protein transcription factor, beta subunit. This protein forms a tetrameric complex with the alpha subunit, and stimulates transcription of target genes. The encoded protein may be involved in activation of cytochrome oxidase expression and nuclear control of mitochondrial function. The crystal structure of a similar protein in mouse has been resolved as a ternary protein complex.

Alternate Names

GA binding protein transcription factor, beta subunit 2, GA-binding protein subunit beta-2, GABP subunit beta-2, GABPB-2, MGC29891

Gene Symbol

GABPB2

Additional Gabpb2 Products

Product Documents for Gabpb2 Antibody - BSA Free

Certificate of Analysis

To download a Certificate of Analysis, please enter a lot number in the search box below.

Product Specific Notices for Gabpb2 Antibody - BSA Free

This product is for research use only and is not approved for use in humans or in clinical diagnosis. Primary Antibodies are guaranteed for 1 year from date of receipt.

Loading...
Loading...
Loading...
Loading...

⚠ WARNING: This product can expose you to chemicals including mercury, which is known to the State of California to cause reproductive toxicity with developmental effects.  For more information go to www.P65Warnings.ca.gov.