Skip to main content

GABA-A R gamma 1 Antibody - BSA Free

Novus Biologicals, part of Bio-Techne | Catalog # NBP3-46277

Novus Biologicals, part of Bio-Techne
Catalog #
Availability
Size / Price
Qty
Loading...
NBP3-46277

Key Product Details

Species Reactivity

Human, Mouse, Rat

Applications

ELISA, Immunohistochemistry, Western Blot

Label

Unconjugated

Antibody Source

Polyclonal Rabbit IgG

Format

BSA Free

Concentration

Please see the vial label for concentration. If unlisted please contact technical services.

Product Specifications

Immunogen

gamma-aminobutyric acid(GABA) A receptor, gamma 1. (Uniprot# Q8N1C3)

Clonality

Polyclonal

Host

Rabbit

Isotype

IgG

Theoretical MW

54 kDa.
Disclaimer note: The observed molecular weight of the protein may vary from the listed predicted molecular weight due to post translational modifications, post translation cleavages, relative charges, and other experimental factors.

Description

Novus Biologicals Rabbit GABA-A R gamma 1 Antibody - BSA Free (NBP3-46277) is a polyclonal antibody validated for use in IHC, WB and ELISA. All Novus Biologicals antibodies are covered by our 100% guarantee.

Scientific Data Images for GABA-A R gamma 1 Antibody - BSA Free

GABA-A R gamma 1 Antibody - BSA Free

Western Blot: GABA-A R gamma 1 Antibody - BSA Free [NBP3-46277] -

Western Blot: GABA-A R gamma 1 Antibody - BSA Free [NBP3-46277] - Mouse eye tissue were subjected to SDS PAGE followed by western blot with (GABA-A R gamma 1 antibody) at dilution of 1:600
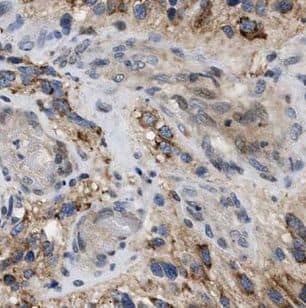
GABA-A R gamma 1 Antibody - BSA Free

Immunohistochemistry: GABA-A R gamma 1 Antibody - BSA Free [NBP3-46277] -

Immunohistochemistry: GABA-A R gamma 1 Antibody - BSA Free [NBP3-46277] - Immunohistochemistry of paraffin-embedded human gliomas using (GABA-A R gamma 1 antibody) at dilution of 1:100

Applications for GABA-A R gamma 1 Antibody - BSA Free

Application
Recommended Usage

Immunohistochemistry

1:20-1:200

Western Blot

1:500-1:2000

Formulation, Preparation, and Storage

Purification

Immunogen affinity purified

Formulation

PBS, 50% Glycerol, pH (7.3)

Format

BSA Free

Preservative

0.02% Sodium Azide

Concentration

Please see the vial label for concentration. If unlisted please contact technical services.

Shipping

The product is shipped with polar packs. Upon receipt, store it immediately at the temperature recommended below.

Stability & Storage

Store at -20C. Avoid freeze-thaw cycles.

Background: GABA-A R gamma 1

GABA A Receptor gamma 1 is encoded by this gene belongs to the ligand-gated ionic channel family. It is an integral membrane protein and plays an important role in inhibiting neurotransmission by binding to the benzodiazepine receptor and opening an integral chloride channel. This gene is clustered with three other family members on chromosome 4. [provided by RefSeq]

Long Name

gamma-Aminobutyric Acid Type A Receptor, gamma-1 Polypeptide

Alternate Names

GABAAR gamma 1, GABAARg1, GABRG1, Gamma-1 Polypeptide

Gene Symbol

GABRG1

Additional GABA-A R gamma 1 Products

Product Documents for GABA-A R gamma 1 Antibody - BSA Free

Certificate of Analysis

To download a Certificate of Analysis, please enter a lot number in the search box below.

Product Specific Notices for GABA-A R gamma 1 Antibody - BSA Free

This product is for research use only and is not approved for use in humans or in clinical diagnosis. Primary Antibodies are guaranteed for 1 year from date of receipt.

Loading...
Loading...
Loading...
Loading...