Skip to main content

GAB3 Antibody - BSA Free

Novus Biologicals, part of Bio-Techne | Catalog # NBP1-86111

Novus Biologicals, part of Bio-Techne
Catalog #
Availability
Size / Price
Qty
Loading...
NBP1-86111
NBP1-86111-25ul

Key Product Details

Species Reactivity

Human

Applications

Immunohistochemistry, Immunohistochemistry-Paraffin, Western Blot

Label

Unconjugated

Antibody Source

Polyclonal Rabbit IgG

Format

BSA Free

Concentration

Concentrations vary lot to lot. See vial label for concentration. If unlisted please contact technical services.

Product Specifications

Immunogen

This antibody was developed against Recombinant Protein corresponding to amino acids: CTLVPRRISLSGLDNMRTWKADVEGQSLRHRDKRLSLNLPCRFSPMYPTASASIEDSYVPMSPQAGASGLGPHCSPDDYIPMNSGSISSPLPELPANLEPPPVNRDLKPQRKSRPPPLDLRNLSIIREHASLTRTRTVPCSRTSF

Clonality

Polyclonal

Host

Rabbit

Isotype

IgG

Description

Novus Biologicals Rabbit GAB3 Antibody - BSA Free (NBP1-86111) is a polyclonal antibody validated for use in IHC and WB. All Novus Biologicals antibodies are covered by our 100% guarantee.

Scientific Data Images for GAB3 Antibody - BSA Free

Immunohistochemistry-Paraffin: GAB3 Antibody [NBP1-86111]

Immunohistochemistry-Paraffin: GAB3 Antibody [NBP1-86111]

Immunohistochemistry-Paraffin: GAB3 Antibody [NBP1-86111] - Staining of human prostate shows weak cytoplasmic positivity in smooth muscle cells.
Immunohistochemistry-Paraffin: GAB3 Antibody [NBP1-86111]

Immunohistochemistry-Paraffin: GAB3 Antibody [NBP1-86111]

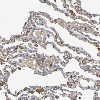
Immunohistochemistry-Paraffin: GAB3 Antibody [NBP1-86111] - Staining of human lung shows moderate membranous positivity in macrophages.
Immunohistochemistry-Paraffin: GAB3 Antibody [NBP1-86111]

Immunohistochemistry-Paraffin: GAB3 Antibody [NBP1-86111]

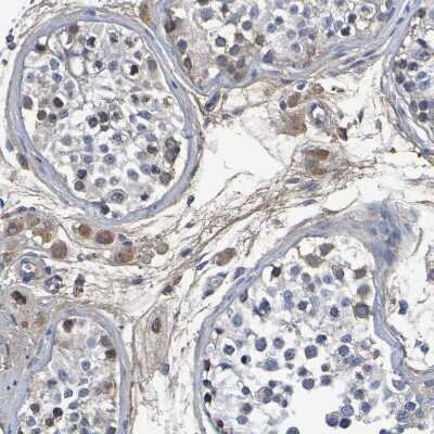
Immunohistochemistry-Paraffin: GAB3 Antibody [NBP1-86111] - Staining of human testis shows weak cytoplasmic positivity in Leydig cells.

Applications for GAB3 Antibody - BSA Free

Application
Recommended Usage

Immunohistochemistry

1:200 - 1:500

Immunohistochemistry-Paraffin

1:200 - 1:500

Western Blot

0.04-0.4 ug/ml
Application Notes
For IHC-Paraffin, HIER pH 6 retrieval is recommended.

Formulation, Preparation, and Storage

Purification

Immunogen affinity purified

Formulation

PBS (pH 7.2) and 40% Glycerol

Format

BSA Free

Preservative

0.02% Sodium Azide

Concentration

Concentrations vary lot to lot. See vial label for concentration. If unlisted please contact technical services.

Shipping

The product is shipped with polar packs. Upon receipt, store it immediately at the temperature recommended below.

Stability & Storage

Store at 4C short term. Aliquot and store at -20C long term. Avoid freeze-thaw cycles.

Background: GAB3

The GAB3 gene is a member of the GRB2-associated binding protein gene family. These proteins are scaffolding/docking proteins that are involved in several growth factor and cytokine signaling pathways, and they contain a pleckstrin homology domain, and bind S

Long Name

GRB2-associated Binding Protein 3

Alternate Names

DOS/Gab family member 3, Gab3 scaffolding protein, GRB2-associated binder 3, GRB2-associated binding protein 3, GRB2-associated-binding protein 3, Growth factor receptor bound protein 2-associated protein 3

Gene Symbol

GAB3

Additional GAB3 Products

Product Documents for GAB3 Antibody - BSA Free

Certificate of Analysis

To download a Certificate of Analysis, please enter a lot number in the search box below.

Product Specific Notices for GAB3 Antibody - BSA Free

This product is for research use only and is not approved for use in humans or in clinical diagnosis. Primary Antibodies are guaranteed for 1 year from date of receipt.

Loading...
Loading...
Loading...
Loading...