Skip to main content

G3BP2 Antibody - BSA Free

Novus Biologicals, part of Bio-Techne | Catalog # NBP1-82977

Novus Biologicals, part of Bio-Techne
Catalog #
Availability
Size / Price
Qty
Loading...
NBP1-82977-25ul
NBP1-82977

Key Product Details

Validated by

Orthogonal Validation, Independent Antibodies

Species Reactivity

Validated:

Human

Cited:

Human

Predicted:

Mouse (97%), Rat (97%). Backed by our 100% Guarantee.

Applications

Validated:

Immunohistochemistry, Immunohistochemistry-Paraffin, Immunocytochemistry/ Immunofluorescence

Cited:

Immunocytochemistry/ Immunofluorescence, Proximity Ligation Assay, IF/IHC

Label

Unconjugated

Antibody Source

Polyclonal Rabbit IgG

Format

BSA Free

Concentration

Concentrations vary lot to lot. See vial label for concentration. If unlisted please contact technical services.

Product Specifications

Immunogen

This antibody was developed against Recombinant Protein corresponding to amino acids: HNDMFRYEDEVFGDSEPELDEESEDEVEEEQEERQPSPEPVQENANSGYYEAHPVTNGIEEPLEESSHEPEPEPESETKTEELKPQVE

Clonality

Polyclonal

Host

Rabbit

Isotype

IgG

Scientific Data Images for G3BP2 Antibody - BSA Free

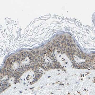
Immunohistochemistry-Paraffin: G3BP2 Antibody [NBP1-82977]

Immunohistochemistry-Paraffin: G3BP2 Antibody [NBP1-82977]

Immunohistochemistry-Paraffin: G3BP2 Antibody [NBP1-82977] - Analysis in human cerebral cortex and skin tissues using NBP1-82977 antibody. Corresponding G3BP2 RNA-seq data are presented for the same tissues.
Immunohistochemistry-Paraffin: G3BP2 Antibody [NBP1-82977]

Immunohistochemistry-Paraffin: G3BP2 Antibody [NBP1-82977]

Immunohistochemistry-Paraffin: G3BP2 Antibody [NBP1-82977] - Staining of human cerebellum, cerebral cortex, skin and testis using Anti-G3BP2 antibody NBP1-82977 (A) shows similar protein distribution across tissues to independent antibody NBP1-82976 (B).
Immunocytochemistry/ Immunofluorescence: G3BP2 Antibody [NBP1-82977]

Immunocytochemistry/ Immunofluorescence: G3BP2 Antibody [NBP1-82977]

Immunocytochemistry/Immunofluorescence: G3BP2 Antibody [NBP1-82977] - Immunofluorescent staining of human cell line U-2 OS shows localization to cytosol.

Applications for G3BP2 Antibody - BSA Free

Application
Recommended Usage

Immunocytochemistry/ Immunofluorescence

0.25-2 ug/ml

Immunohistochemistry

1:500 - 1:1000

Immunohistochemistry-Paraffin

1:500 - 1:1000
Application Notes
For IHC-Paraffin, HIER pH 6 retrieval is recommended. ICC/IF Fixation Permeabilization: Use PFA/Triton X-100.

Formulation, Preparation, and Storage

Purification

Affinity purified

Formulation

PBS (pH 7.2) and 40% Glycerol

Format

BSA Free

Preservative

0.02% Sodium Azide

Concentration

Concentrations vary lot to lot. See vial label for concentration. If unlisted please contact technical services.

Shipping

The product is shipped with polar packs. Upon receipt, store it immediately at the temperature recommended below.

Stability & Storage

Store at 4C short term. Aliquot and store at -20C long term. Avoid freeze-thaw cycles.

Background: G3BP2

Ras-GAP SH3 domain binding protein (G3BP2) contains an RNA recognition motif (RRM) and an N-terminal nuclear transport factor 2-like (NTF2-like) domain. The G3BP family of proteins have been shown to function downstream of Ras and play a role in RNA metabolism, signal transduction, and proliferation.G3BP2 can interact with IkappaBalpha and IkappaBalpha/NFkappaB complexes. In this complex G3B2 is proposed to play a role in regulating the nucleocytoplasmic localization of NFkappaB as well as its activity.

Alternate Names

G3BP-2, GAP SH3 domain-binding protein 2, GTPase activating protein (SH3 domain) binding protein 2, KIAA0660, ras GTPase-activating protein-binding protein 2, Ras-GTPase activating protein SH3 domain-binding protein 2

Gene Symbol

G3BP2

Additional G3BP2 Products

Product Documents for G3BP2 Antibody - BSA Free

Certificate of Analysis

To download a Certificate of Analysis, please enter a lot number in the search box below.

Product Specific Notices for G3BP2 Antibody - BSA Free

This product is for research use only and is not approved for use in humans or in clinical diagnosis. Primary Antibodies are guaranteed for 1 year from date of receipt.

Loading...
Loading...
Loading...
Loading...