Skip to main content

G0S2 Antibody

Novus Biologicals, part of Bio-Techne | Catalog # NBP3-12396

Novus Biologicals, part of Bio-Techne
Catalog #
Availability
Size / Price
Qty
Loading...
NBP3-12396

Key Product Details

Species Reactivity

Human, Mouse, Rat, Primate

Applications

ELISA, Immunohistochemistry, Immunohistochemistry-Paraffin, Immunoprecipitation, Western Blot

Label

Unconjugated

Antibody Source

Polyclonal Rabbit

Concentration

Please see the vial label for concentration. If unlisted please contact technical services.

Product Specifications

Immunogen

Synthetic peptide taken within amino acid region 78-103 on mouse G0S2-like protein. The peptide was covalently modified to achieve desired antigenicity and conjugated to a carrier protein. Sequence: ALLAGGKAQEATLCSRALSLRQHAS

Clonality

Polyclonal

Host

Rabbit

Description

Novus Biologicals Rabbit G0S2 Antibody (NBP3-12396) is a polyclonal antibody validated for use in IHC, WB, ELISA and IP. All Novus Biologicals antibodies are covered by our 100% guarantee.

Scientific Data Images for G0S2 Antibody

Western Blot: G0S2 Antibody [NBP3-12396]

Western Blot: G0S2 Antibody [NBP3-12396]

Western Blot: G0S2 Antibody [NBP3-12396] - A) Recombinant GOS2. B) Switch 2 positive control. 1:500 antibody dilution in Dilobuffer. Apparent MW is 13.5 KDa.
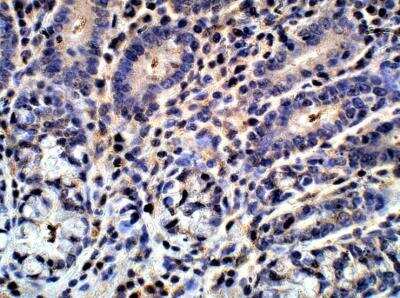
Immunohistochemistry-Paraffin: G0S2 Antibody [NBP3-12396]

Immunohistochemistry-Paraffin: G0S2 Antibody [NBP3-12396]

Immunohistochemistry-Paraffin: G0S2 Antibody [NBP3-12396] - Mouse small intestine. 1:50 dilution in IHC blocking buffer. DAB (brown) staining and Hematoxylin QS (blue) counterstain. 40X magnification.

Applications for G0S2 Antibody

Application
Recommended Usage

ELISA

1:10000

Immunohistochemistry-Paraffin

1:50

Immunoprecipitation

1:200

Western Blot

1:500

Formulation, Preparation, and Storage

Purification

Affinity purified

Formulation

Contains Tris, HCl/glycine buffer (pH 7.4-7.8), 30% glycerol, 0.5% BSA, along with cryo-protective agents, and HEPES (exact storage and stabilization buffer information is proprietary).

Preservative

0.02% Sodium Azide

Concentration

Please see the vial label for concentration. If unlisted please contact technical services.

Shipping

The product is shipped with polar packs. Upon receipt, store it immediately at the temperature recommended below.

Stability & Storage

Store at 4C short term. Store at -20C long term. Avoid freeze-thaw cycles.

Background: G0S2

Potential oncogene and regulator of latent HIV

Alternate Names

G0/G1 switch regulatory protein 2, G0/G1switch 2, RP1-28O10.2

Gene Symbol

G0S2

Additional G0S2 Products

Product Documents for G0S2 Antibody

Certificate of Analysis

To download a Certificate of Analysis, please enter a lot number in the search box below.

Product Specific Notices for G0S2 Antibody

This product is for research use only and is not approved for use in humans or in clinical diagnosis. Primary Antibodies are guaranteed for 1 year from date of receipt.

Loading...
Loading...
Loading...
Loading...