Skip to main content

FXYD5/Dysadherin Antibody (CL14037) - Azide and BSA Free

Novus Biologicals, part of Bio-Techne | Catalog # NBP3-43835

Novus Biologicals, part of Bio-Techne
Catalog #
Availability
Size / Price
Qty
Loading...
NBP3-43835

Key Product Details

Species Reactivity

Human

Applications

Immunohistochemistry-Paraffin

Label

Unconjugated

Antibody Source

Monoclonal Mouse IgG1 Clone # CL14037

Format

Azide and BSA Free

Concentration

LYOPH mg/ml

Product Specifications

Immunogen

This antibody was generated using a recombinant protein sequence of Q96DB9, with the exact immunogen sequence remaining proprietary.

Clonality

Monoclonal

Host

Mouse

Isotype

IgG1

Description

Novus Biologicals Mouse FXYD5/Dysadherin Antibody (CL14037) - Azide and BSA Free (NBP3-24585) is a monoclonal antibody validated for use in IHC. All Novus Biologicals antibodies are covered by our 100% guarantee.

Scientific Data Images for FXYD5/Dysadherin Antibody (CL14037) - Azide and BSA Free

FXYD5/Dysadherin Antibody (CL14037) - Azide and BSA Free Immunohistochemistry-Paraffin: FXYD5/Dysadherin Antibody [NBP3-43835]

Immunohistochemistry-Paraffin: FXYD5/Dysadherin Antibody [NBP3-43835]

Staining of human breast cancer shows strong membranous positivity in tumor cells.
FXYD5/Dysadherin Antibody (CL14037) - Azide and BSA Free Immunohistochemistry-Paraffin: FXYD5/Dysadherin Antibody [NBP3-43835]

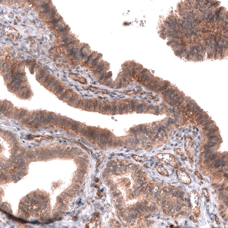
Immunohistochemistry-Paraffin: FXYD5/Dysadherin Antibody [NBP3-43835]

Staining of human fallopian tube shows moderate membranous and cytoplasmic positivity in glandular cells.
FXYD5/Dysadherin Antibody (CL14037) - Azide and BSA Free Immunohistochemistry-Paraffin: FXYD5/Dysadherin Antibody [NBP3-43835]

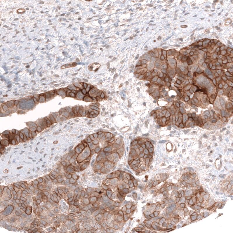
Immunohistochemistry-Paraffin: FXYD5/Dysadherin Antibody [NBP3-43835]

Staining of human pancreas shows strong membranous positivity in exocrine glandular cells.

Applications for FXYD5/Dysadherin Antibody (CL14037) - Azide and BSA Free

Application
Recommended Usage

Immunohistochemistry-Paraffin

1:50 - 1:200
Application Notes
For IHC-Paraffin, we recommend using Heat-Induced Epitope Retrieval (HIER) with a pH level of 6. This optimized retrieval method ensures the best results for your experiments.

Formulation, Preparation, and Storage

Purification

Protein A purified

Reconstitution

Centrifuge the vial of lyophilized antibody at 12,000 x g for 20 seconds. Reconstitute by adding sterile, distilled water to achieve a final antibody concentration of 1mg/ml.

Formulation

Lyophilized from a 0.2 um filtered solution in PBS with Trehalose

Format

Azide and BSA Free

Preservative

No Preservative

Concentration

LYOPH mg/ml

Shipping

The product is shipped at ambient temperature. Upon receipt, store it immediately at the temperature recommended below.

Stability & Storage

Store at 4C short term. Aliquot and store at -20C long term. Avoid freeze-thaw cycles.

Background: FXYD5/Dysadherin

Dysadherin encodes a member of a family of small membrane proteins that share a 35-amino acid signature sequence domain, beginning with the sequence PFXYD and containing 7 invariant and 6 highly conserved amino acids. The approved human gene nomenclature for the family is FXYD-domain containing ion transport regulator. Mouse FXYD5 has been termed RIC (Related to Ion Channel). FXYD2, also known as the gamma subunit of the Na,K-ATPase, regulates the properties of that enzyme. FXYD1 (phospholemman), FXYD2 (gamma), FXYD3 (MAT-8), FXYD4 (CHIF), and FXYD5 (RIC) have been shown to induce channel activity in experimental expression systems. Transmembrane topology has been established for two family members (FXYD1 and FXYD2), with the N-terminus extracellular and the C-terminus on the cytoplasmic side of the membrane.

Long Name

FXYD Domain-containing Ion Transport Regulator 5

Alternate Names

DYSAD, Dysadherin, EF-8, IWU1, KCT1, OIT2, PRO6241, RIC

Gene Symbol

FXYD5

Additional FXYD5/Dysadherin Products

Product Documents for FXYD5/Dysadherin Antibody (CL14037) - Azide and BSA Free

Certificate of Analysis

To download a Certificate of Analysis, please enter a lot number in the search box below.

Product Specific Notices for FXYD5/Dysadherin Antibody (CL14037) - Azide and BSA Free

This product is for research use only and is not approved for use in humans or in clinical diagnosis. Primary Antibodies are guaranteed for 1 year from date of receipt.

Loading...
Loading...
Loading...
Loading...
Loading...