Skip to main content

FUZ Antibody - BSA Free

Novus Biologicals, part of Bio-Techne | Catalog # NBP1-82112

Novus Biologicals, part of Bio-Techne
Catalog #
Availability
Size / Price
Qty
Loading...
NBP1-82112
NBP1-82112-25ul

Key Product Details

Species Reactivity

Human

Applications

Immunocytochemistry/ Immunofluorescence, Immunohistochemistry, Immunohistochemistry-Paraffin, Western Blot

Label

Unconjugated

Antibody Source

Polyclonal Rabbit IgG

Format

BSA Free

Concentration

Concentrations vary lot to lot. See vial label for concentration. If unlisted please contact technical services.

Product Specifications

Immunogen

This antibody was developed against Recombinant Protein corresponding to amino acids: LLRNFYTLVTSTHFPPEPGPPEKTEDEVYQAQLPRACYLVLGTEEPGTGVRLVALQLGLRRLLLLLSPQSPTHGLRSLATHTLHALTP

Clonality

Polyclonal

Host

Rabbit

Isotype

IgG

Description

Novus Biologicals Rabbit FUZ Antibody - BSA Free (NBP1-82112) is a polyclonal antibody validated for use in IHC, WB and ICC/IF. All Novus Biologicals antibodies are covered by our 100% guarantee.

Scientific Data Images for FUZ Antibody - BSA Free

Western Blot: FUZ Antibody [NBP1-82112]

Western Blot: FUZ Antibody [NBP1-82112]

Western Blot: FUZ Antibody [NBP1-82112] - Analysis in control (vector only transfected HEK293T lysate) and FUZ over-expression lysate (Co-expressed with a C-terminal myc-DDK tag (3.1 kDa) in mammalian HEK293T cells).
Immunocytochemistry/ Immunofluorescence: FUZ Antibody [NBP1-82112]

Immunocytochemistry/ Immunofluorescence: FUZ Antibody [NBP1-82112]

Immunocytochemistry/Immunofluorescence: FUZ Antibody [NBP1-82112] - Immunofluorescent staining of human cell line HEK 293 shows localization to cytosol.
FUZ Antibody - BSA Free

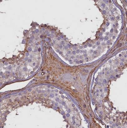
FUZ Antibody [NBP1-82112] -

FUZ Antibody [NBP1-82112] - Staining of human testis shows moderate cytoplasmic positivity in Leydig cells and in subset of cells in seminiferous ducts.

Applications for FUZ Antibody - BSA Free

Application
Recommended Usage

Immunocytochemistry/ Immunofluorescence

0.25-2 ug/ml

Immunohistochemistry

1:50 - 1:200

Immunohistochemistry-Paraffin

1:50 - 1:200

Western Blot

0.04-0.4 ug/ml
Application Notes
For IHC-Paraffin, HIER pH 6 retrieval is recommended. ICC/IF, Fixation Permeabilization: Use PFA/Triton X-100.

Formulation, Preparation, and Storage

Purification

Immunogen affinity purified

Formulation

PBS (pH 7.2) and 40% Glycerol

Format

BSA Free

Preservative

0.02% Sodium Azide

Concentration

Concentrations vary lot to lot. See vial label for concentration. If unlisted please contact technical services.

Shipping

The product is shipped with polar packs. Upon receipt, store it immediately at the temperature recommended below.

Stability & Storage

Store at 4C short term. Aliquot and store at -20C long term. Avoid freeze-thaw cycles.

Background: FUZ

FUZ may be involved in cytoskeleton function and cell polarity in epithelial cells

Alternate Names

FLJ22688, fuzzy homolog (Drosophila), Fy, protein fuzzy homolog

Gene Symbol

FUZ

Additional FUZ Products

Product Documents for FUZ Antibody - BSA Free

Certificate of Analysis

To download a Certificate of Analysis, please enter a lot number in the search box below.

Product Specific Notices for FUZ Antibody - BSA Free

This product is for research use only and is not approved for use in humans or in clinical diagnosis. Primary Antibodies are guaranteed for 1 year from date of receipt.

Loading...
Loading...
Loading...
Loading...