Skip to main content

FTO Antibody (AG103) - Azide and BSA Free

Novus Biologicals, part of Bio-Techne | Catalog # NBP2-80051

Novus Biologicals, part of Bio-Techne

Key Product Details

Species Reactivity

Human

Applications

Immunohistochemistry, Immunohistochemistry-Paraffin, Western Blot, ELISA, Immunoprecipitation

Label

Unconjugated

Antibody Source

Monoclonal Mouse IgG2a Kappa Clone # AG103

Format

Azide and BSA Free

Concentration

1 mg/ml

Product Specifications

Immunogen

Recombinant human FTO.

Clonality

Monoclonal

Host

Mouse

Isotype

IgG2a Kappa

Description

Novus Biologicals Mouse FTO Antibody (AG103) - Azide and BSA Free (NBP2-80051) is a monoclonal antibody validated for use in IHC, WB, ELISA and IP. All Novus Biologicals antibodies are covered by our 100% guarantee.

Scientific Data Images for FTO Antibody (AG103) - Azide and BSA Free

Western Blot: FTO Antibody (AG103)Azide and BSA Free [NBP2-80051]

Western Blot: FTO Antibody (AG103)Azide and BSA Free [NBP2-80051]

Western Blot: FTO Antibody (AG103) [NBP2-80051] - Analysis of human FTO using anti-human FTO mAb (AG103) at 1:1,000 dilution:1. hFTO (His-tagged) 100ng.2. HEK293T 100ug.3. HEK293E 100ug.4. HepG2 100ug.5. Hep3B 50ug.6. VIT1 80ug.7. THP1 74ug.8. Molt4 96ug.9. A549 48ug
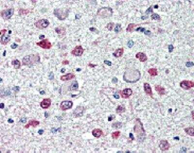
Immunohistochemistry-Paraffin: FTO Antibody (AG103) - Azide and BSA Free [NBP2-80051]

Immunohistochemistry-Paraffin: FTO Antibody (AG103) - Azide and BSA Free [NBP2-80051]

Immunohistochemistry-Paraffin: FTO Antibody (AG103) [NBP2-80051] - Immunohistochemical staining of FTO with anti-FTO (human), mAb (AG103) in brain, hypothalamus and paraventricular nucleus (5~10 ug/mL). This antibody has been tested in immunohistochemistry, analyzed by an anatomic pathologist and validated for use in IHC applications against formalinfixed, paraffin-embedded human tissues. The image shows the localization of the antibody as the precipitated red signal, with a hematoxylin purple nuclear counterstain (40x).
Immunoprecipitation: FTO Antibody (AG103) - Azide and BSA Free [NBP2-80051]

Immunoprecipitation: FTO Antibody (AG103) - Azide and BSA Free [NBP2-80051]

Immunoprecipitation: FTO Antibody (AG103) [NBP2-80051] - Immunoprecipitation of recombinant human FTO proteins using anti-FTO (human), mAb (AG103) at different concentrations. The precipitated proteins were separated by SDS-PAGE, electroblotted, and visualized by Western blot with rabbit anti-mouse FTO pAb.1. hFTO (His-tagged) recombinant control 100ng.2. hFTO (His-tagged) 5ug.3. hFTO (His-tagged) 2.5ug.4. hFTO (His-tagged) 1.25ug.5. hFTO (His-tagged) 0.625ug.6. hFTO (His-tagged) 0.312ug.7. hFTO (His-tagged) 0.156ug.8. hFTO (His-tagged) 0.078ug

Applications for FTO Antibody (AG103) - Azide and BSA Free

Application
Recommended Usage

ELISA

1:2000 - 1:5000

Immunohistochemistry

5 - 10 ug/mL

Immunohistochemistry-Paraffin

5 - 10 ug/mL

Immunoprecipitation

5 ug/mL

Western Blot

1:2000 - 1:5000
Application Notes
Immunoprecipitation: 5 ug/ml per sample in a final reaction volume of 500-1000 ul.

Western Blot: 1:2000-1:5000 using ECL. Suggested blocking and dilution buffer is PBST containing 0.05% Tween 20 and 5% skim milk. Suggested incubation time is 1 hour at room temperature.

Formulation, Preparation, and Storage

Purification

Protein G purified

Formulation

0.2 um-filtered solution in PBS, pH 7.4

Format

Azide and BSA Free

Preservative

No Preservative

Concentration

1 mg/ml

Shipping

The product is shipped with polar packs. Upon receipt, store it immediately at the temperature recommended below.

Stability & Storage

Store at 4C short term. Aliquot and store at -20C long term. Avoid freeze-thaw cycles.

Background: FTO

Fat mass and obesity-associated protein (FTO) is a novel protein and a member of the non-heme dioxygenase (Fe(II)- and 2-oxoglutarate-dependent dioxygenases) superfamily. Though not much is yet known about FTO, it is thought that the protein may somehow modify the activity of genes involved in metabolism and fat storage, which in turn may influence a person's risk of obesity.

FTO antibodies are useful tools for lipid metabolism research and obesity studies.

Long Name

Fat Mass and Obesity Associated

Alternate Names

Alpha-ketoglutarate-dependent dioxygenase FTO

Gene Symbol

FTO

Additional FTO Products

Product Documents for FTO Antibody (AG103) - Azide and BSA Free

Certificate of Analysis

To download a Certificate of Analysis, please enter a lot number in the search box below.

Product Specific Notices for FTO Antibody (AG103) - Azide and BSA Free

This product is for research use only and is not approved for use in humans or in clinical diagnosis. Primary Antibodies are guaranteed for 1 year from date of receipt.

Loading...
Loading...
Loading...
Loading...
Loading...