Skip to main content

FTO Antibody (4G9) - BSA Free

Novus Biologicals, part of Bio-Techne | Catalog # NBP3-26565

Recombinant monoclonal antibody expressed in HEK293F cells
Novus Biologicals, part of Bio-Techne
Catalog #
Availability
Size / Price
Qty
Loading...
NBP3-26565-100ul
NBP3-26565-50ul

Key Product Details

Species Reactivity

Human

Applications

ELISA, Immunocytochemistry/ Immunofluorescence, Immunohistochemistry, Western Blot

Label

Unconjugated

Antibody Source

Recombinant Monoclonal Rabbit IgG Clone # 4G9 expressed in HEK293

Format

BSA Free

Concentration

Please see the vial label for concentration. If unlisted please contact technical services.

Product Specifications

Immunogen

A synthesized peptide derived from Human FTO [UniProt Q9C0B1]

Clonality

Monoclonal

Host

Rabbit

Isotype

IgG

Description

Novus Biologicals Rabbit FTO Antibody (4G9) - BSA Free (NBP3-26565) is a recombinant monoclonal antibody validated for use in IHC, WB, ELISA and ICC/IF. All Novus Biologicals antibodies are covered by our 100% guarantee.

Scientific Data Images for FTO Antibody (4G9) - BSA Free

FTO Antibody (4G9)

Immunohistochemistry: FTO Antibody (4G9) [NBP3-26565] -

Immunohistochemistry: FTO Antibody (4G9) [NBP3-26565] - Image of FTO Antibody (4G9) diluted at 1:70 and staining in paraffin-embedded human glioma cancer performed. After dewaxing and hydration, antigen retrieval was mediated by high pressure in a citrate buffer (pH 6.0). Section was blocked with 10% normal goat serum 30min at RT. Then primary antibody (1% BSA) was incubated at 4C overnight. The primary is detected by a biotinylated secondary antibody and visualized using an HRP conjugated SP system.
FTO Antibody (4G9)

Immunohistochemistry: FTO Antibody (4G9) [NBP3-26565] -

Immunohistochemistry: FTO Antibody (4G9) [NBP3-26565] - Image of FTO Antibody (4G9) diluted at 1:70 and staining in paraffin-embedded human glioma cancer performed. After dewaxing and hydration, antigen retrieval was mediated by high pressure in a citrate buffer (pH 6.0). Section was blocked with 10% normal goat serum 30min at RT. Then primary antibody (1% BSA) was incubated at 4C overnight. The primary is detected by a biotinylated secondary antibody and visualized using an HRP conjugated SP system.
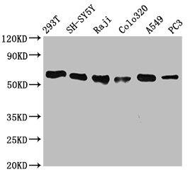
FTO Antibody (4G9)

Western Blot: FTO Antibody (4G9) [NBP3-26565] -

Western Blot: FTO Antibody (4G9) [NBP3-26565] - Positive Western Blot detected in: 293T whole cell lysate, SH-SY5Y whole cell lysate, Raji whole cell lysate, Colo320 whole cell lysate, A549 whole cell lysate, PC3 whole cell lysate.
All lanes: FTO Antibody at 0.7ug/ml.
Secondary: Goat polyclonal to rabbit IgG at 1/50000 dilution.
Predicted band size: 59, 15, 7, 13 KDa
Observed band size: 59 KDa

Applications for FTO Antibody (4G9) - BSA Free

Application
Recommended Usage

Immunocytochemistry/ Immunofluorescence

1:20-1:200

Immunohistochemistry

1:50-1:200

Western Blot

1:500-1:5000

Formulation, Preparation, and Storage

Purification

Affinity purified

Formulation

PBS, pH 7.4, 150mM NaCl, and 50% glycerol

Format

BSA Free

Preservative

0.02% Sodium Azide

Concentration

Please see the vial label for concentration. If unlisted please contact technical services.

Shipping

The product is shipped with polar packs. Upon receipt, store it immediately at the temperature recommended below.

Stability & Storage

Store at -20 to -70C. Avoid freeze-thaw cycles.

Background: FTO

Fat mass and obesity-associated protein (FTO) is a novel protein and a member of the non-heme dioxygenase (Fe(II)- and 2-oxoglutarate-dependent dioxygenases) superfamily. Though not much is yet known about FTO, it is thought that the protein may somehow modify the activity of genes involved in metabolism and fat storage, which in turn may influence a person's risk of obesity.

FTO antibodies are useful tools for lipid metabolism research and obesity studies.

Long Name

Fat Mass and Obesity Associated

Alternate Names

Alpha-ketoglutarate-dependent dioxygenase FTO

Gene Symbol

FTO

Additional FTO Products

Product Documents for FTO Antibody (4G9) - BSA Free

Certificate of Analysis

To download a Certificate of Analysis, please enter a lot number in the search box below.

Product Specific Notices for FTO Antibody (4G9) - BSA Free

This product is for research use only and is not approved for use in humans or in clinical diagnosis. Primary Antibodies are guaranteed for 1 year from date of receipt.

Loading...
Loading...
Loading...
Loading...
Loading...