Skip to main content

FRA2 Antibody - BSA Free

Novus Biologicals, part of Bio-Techne | Catalog # NBP1-89842

Novus Biologicals, part of Bio-Techne
Catalog #
Availability
Size / Price
Qty
Loading...
NBP1-89842-25ul
NBP1-89842

Key Product Details

Validated by

Orthogonal Validation

Species Reactivity

Human, Mouse, Rat

Applications

Immunohistochemistry, Immunohistochemistry-Paraffin, Western Blot, Immunocytochemistry/ Immunofluorescence

Label

Unconjugated

Antibody Source

Polyclonal Rabbit IgG

Format

BSA Free

Concentration

Concentrations vary lot to lot. See vial label for concentration. If unlisted please contact technical services.

Product Specifications

Immunogen

This antibody was developed against Recombinant Protein corresponding to amino acids: EKLEFMLVAHGPVCKISPEERRSPPAPGLQPMRSGGGSVGAVVVKQEPLEEDSPSSSSAGLDKAQRSVIKPISIAGGFYGEEPLHTPIVVTSTPAVTPGTSNLVFTYPSVLEQESPASPSESCSKAHRRSSSSGDQSSDSL

Clonality

Polyclonal

Host

Rabbit

Isotype

IgG

Description

Novus Biologicals Rabbit FRA2 Antibody - BSA Free (NBP1-89842) is a polyclonal antibody validated for use in IHC, WB and ICC/IF. All Novus Biologicals antibodies are covered by our 100% guarantee.

Scientific Data Images for FRA2 Antibody - BSA Free

Immunocytochemistry/ Immunofluorescence: FRA2 Antibody [NBP1-89842]

Immunocytochemistry/ Immunofluorescence: FRA2 Antibody [NBP1-89842]

Immunocytochemistry/Immunofluorescence: FRA2 Antibody [NBP1-89842] - Staining of human cell line U-251 MG shows localization to nucleoplasm. Antibody staining is shown in green.
Immunohistochemistry-Paraffin: FRA2 Antibody [NBP1-89842]

Immunohistochemistry-Paraffin: FRA2 Antibody [NBP1-89842]

Immunohistochemistry-Paraffin: FRA2 Antibody [NBP1-89842] - Staining of human stomach shows moderate to strong nuclear positivity in glandular cells.
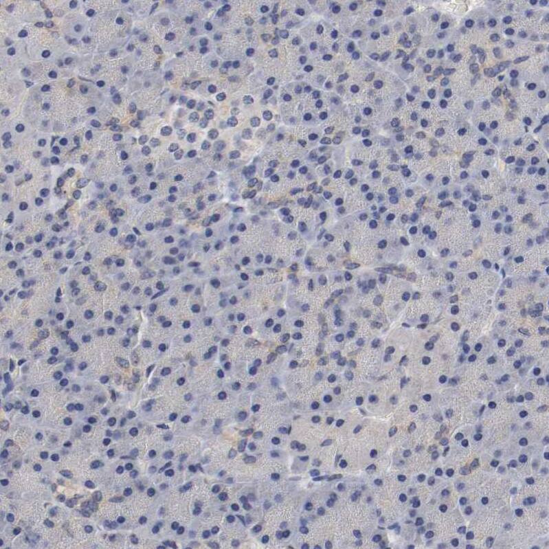
Immunohistochemistry-Paraffin: FRA2 Antibody [NBP1-89842]

Immunohistochemistry-Paraffin: FRA2 Antibody [NBP1-89842]

Immunohistochemistry-Paraffin: FRA2 Antibody [NBP1-89842] - Staining of human cervix shows moderate to strong nuclear positivity in squamous epithelial cells.

Applications for FRA2 Antibody - BSA Free

Application
Recommended Usage

Immunocytochemistry/ Immunofluorescence

0.25-2 ug/ml

Immunohistochemistry

1:500 - 1:1000

Immunohistochemistry-Paraffin

1:500 - 1:1000

Western Blot

0.04-0.4 ug/ml
Application Notes
IHC-Paraffin, HIER pH 6 retrieval is recommended. ICC/IF, Fixation Permeabilization: Use PFA/Triton X-100.

Formulation, Preparation, and Storage

Purification

Affinity purified

Formulation

PBS (pH 7.2) and 40% Glycerol

Format

BSA Free

Preservative

0.02% Sodium Azide

Concentration

Concentrations vary lot to lot. See vial label for concentration. If unlisted please contact technical services.

Shipping

The product is shipped with polar packs. Upon receipt, store it immediately at the temperature recommended below.

Stability & Storage

Store at 4C short term. Aliquot and store at -20C long term. Avoid freeze-thaw cycles.

Background: FRA2

The Fos gene family consists of 4 members: FOS, FOSB, FOSL1, and FOSL2. These genes encode leucine zipper proteins that can dimerize with proteins of the JUN family, thereby forming the transcription factor complex AP-1. As such, the FOS proteins have been implicated as regulators of cell proliferation, differentiation, and transformation.

Alternate Names

FOS-like antigen 2, fos-related antigen 2, FRA-2, FRA2FLJ23306

Gene Symbol

FOSL2

Additional FRA2 Products

Product Documents for FRA2 Antibody - BSA Free

Certificate of Analysis

To download a Certificate of Analysis, please enter a lot number in the search box below.

Product Specific Notices for FRA2 Antibody - BSA Free

This product is for research use only and is not approved for use in humans or in clinical diagnosis. Primary Antibodies are guaranteed for 1 year from date of receipt.

Loading...
Loading...
Loading...
Loading...