Skip to main content

FRA-1/FOSL1 Antibody (OTI12F9)

Novus Biologicals, part of Bio-Techne | Catalog # NBP1-47757

Novus Biologicals, part of Bio-Techne
Catalog #
Availability
Size / Price
Qty
Loading...
NBP1-47757

Key Product Details

Species Reactivity

Validated:

Human, Mouse, Rat

Cited:

Human

Applications

Validated:

Immunohistochemistry, Immunohistochemistry-Paraffin, Western Blot

Cited:

Immunohistochemistry-Paraffin

Label

Unconjugated

Antibody Source

Monoclonal Mouse IgG2B Clone # OTI12F9

Concentration

1.1 mg/ml

Product Specifications

Immunogen

Full-length protein expressed in 293T cell transfected with human FOSL1 expression vector

Reactivity Notes

Please note that this antibody is reactive to Mouse and derived from the same host, Mouse. Mouse-On-Mouse blocking reagent may be needed for IHC and ICC experiments to reduce high background signal. You can find these reagents under catalog numbers PK-2200-NB and MP-2400-NB. Please contact Technical Support if you have any questions.

Specificity

This antibody is specific for Homo sapiens FOS-like antigen 1 (FOSL1).

Clonality

Monoclonal

Host

Mouse

Isotype

IgG2B

Theoretical MW

29.4 kDa.
Disclaimer note: The observed molecular weight of the protein may vary from the listed predicted molecular weight due to post translational modifications, post translation cleavages, relative charges, and other experimental factors.

Description

Novus Biologicals Mouse FRA-1/FOSL1 Antibody (OTI12F9) (NBP1-47757) is a monoclonal antibody validated for use in IHC and WB. Anti-FRA-1/FOSL1 Antibody: Cited in 1 publication. All Novus Biologicals antibodies are covered by our 100% guarantee.

Scientific Data Images for FRA-1/FOSL1 Antibody (OTI12F9)

Western Blot: FRA-1/FOSL1 Antibody (OTI12F9) [NBP1-47757]

Western Blot: FRA-1/FOSL1 Antibody (OTI12F9) [NBP1-47757]

Western Blot: FRA-1/FOSL1 Antibody (12F9) [NBP1-47757] - HEK293T cells were transfected with the pCMV6-ENTRY control (Left lane) or pCMV6-ENTRY FOSL1 (Right lane) cDNA for 48 hrs and lysed. Equivalent amounts of cell lysates (5 ug per lane) were separated by SDS-PAGE and immunoblotted with anti-FOSL1.
Immunohistochemistry-Paraffin: FRA-1/FOSL1 Antibody (OTI12F9) [NBP1-47757]

Immunohistochemistry-Paraffin: FRA-1/FOSL1 Antibody (OTI12F9) [NBP1-47757]

Immunohistochemistry-Paraffin: FRA-1/FOSL1 Antibody (12F9) [NBP1-47757] - Carcinoma of bladder tissue.
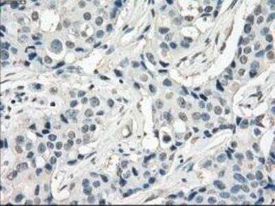
Immunohistochemistry-Paraffin: FRA-1/FOSL1 Antibody (OTI12F9) [NBP1-47757]

Immunohistochemistry-Paraffin: FRA-1/FOSL1 Antibody (OTI12F9) [NBP1-47757]

Immunohistochemistry-Paraffin: FRA-1/FOSL1 Antibody (12F9) [NBP1-47757] - Staining of paraffin-embedded Adenocarcinoma of breast tissue using anti-FOSL1 mouse monoclonal antibody.

Applications for FRA-1/FOSL1 Antibody (OTI12F9)

Application
Recommended Usage

Immunohistochemistry

1:50

Immunohistochemistry-Paraffin

1:50

Western Blot

1:2000

Formulation, Preparation, and Storage

Purification

Immunogen affinity purified

Formulation

PBS (pH 7.3), 1.0% BSA and 50% Glycerol

Preservative

0.02% Sodium Azide

Concentration

1.1 mg/ml

Shipping

The product is shipped with polar packs. Upon receipt, store it immediately at the temperature recommended below.

Stability & Storage

Store at -20C. Avoid freeze-thaw cycles.

Background: FRA-1

The Fos gene family consists of 4 members: FOS, FOSB, FOSL1, and FOSL2. These genes encode leucine zipper proteins that can dimerize with proteins of the JUN family, thereby forming the transcription factor complex AP-1. As such, the FOS proteins have been implicated as regulators of cell proliferation, differentiation, and transformation.

Long Name

Fos-related antigen 1

Alternate Names

FOSL1, FRA1

Entrez Gene IDs

8061 (Human)

Gene Symbol

FOSL1

UniProt

Additional FRA-1 Products

Product Documents for FRA-1/FOSL1 Antibody (OTI12F9)

Certificate of Analysis

To download a Certificate of Analysis, please enter a lot number in the search box below.

Product Specific Notices for FRA-1/FOSL1 Antibody (OTI12F9)

This product is for research use only and is not approved for use in humans or in clinical diagnosis. Primary Antibodies are guaranteed for 1 year from date of receipt.

Loading...
Loading...
Loading...
Loading...