Skip to main content

FRA-1/FOSL1 Antibody (JE33-20)

Novus Biologicals, part of Bio-Techne | Catalog # NBP3-32350

Recombinant Monoclonal Antibody
Novus Biologicals, part of Bio-Techne
Catalog #
Availability
Size / Price
Qty
Loading...
NBP3-32350

Key Product Details

Species Reactivity

Human

Applications

Flow Cytometry, Immunocytochemistry/ Immunofluorescence, Immunohistochemistry, Immunohistochemistry-Paraffin, Western Blot

Label

Unconjugated

Antibody Source

Recombinant Monoclonal Rabbit IgG Clone # JE33-20 expressed in HEK293

Concentration

1 mg/ml

Product Specifications

Immunogen

Recombinant protein within Human FRA-1/FOSL1 aa 121-220 / 271. (Uniprot: P15407)

Localization

Nucleus.

Clonality

Monoclonal

Host

Rabbit

Isotype

IgG

Theoretical MW

29 kDa.
Disclaimer note: The observed molecular weight of the protein may vary from the listed predicted molecular weight due to post translational modifications, post translation cleavages, relative charges, and other experimental factors.

Description

Novus Biologicals Rabbit FRA-1/FOSL1 Antibody (JE33-20) (NBP3-32350) is a recombinant monoclonal antibody validated for use in IHC, WB, Flow and ICC/IF. All Novus Biologicals antibodies are covered by our 100% guarantee.

Scientific Data Images for FRA-1/FOSL1 Antibody (JE33-20)

FRA-1/FOSL1 Antibody (JE33-20)

Western Blot: FRA-1/FOSL1 Antibody (JE33-20) [NBP3-32350]

Western Blot: FRA-1/FOSL1 Antibody (JE33-20) [NBP3-32350] - Western blot analysis of FRA-1/FOSL1 on different lysates with Rabbit anti-FRA-1/FOSL1 antibody (NBP3-32350) at 1/1,000 dilution.

Lane 1: MDA-MB-231 cell lysate
Lane 2: U-87 MG cell lysate
Lane 3: A431 cell lysate
Lane 4: HeLa cell lysate (negative)
Lane 5: HEK-293 cell lysate (negative)

Lysates/proteins at 20 ug/Lane.

Predicted band size: 29 kDa
Observed band size: 37 kDa (40 kDa unknown)

Exposure time: 35 seconds;

4-20% SDS-PAGE gel.

Proteins were transferred to a PVDF membrane and blocked with 5% NFDM/TBST for 1 hour at room temperature. The primary antibody (NBP3-32350) at 1/1,000 dilution was used in 5% NFDM/TBST at room temperature for 2 hours. Goat Anti-Rabbit IgG - HRP Secondary Antibody at 1:100,000 dilution was used for 1 hour at room temperature.
FRA-1/FOSL1 Antibody (JE33-20)

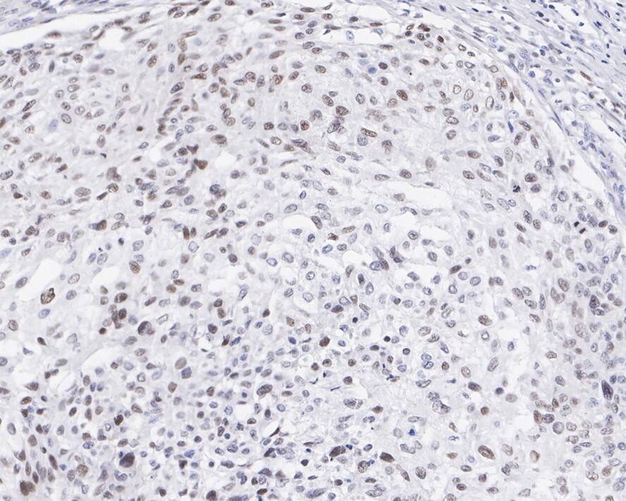
Immunohistochemistry: FRA-1/FOSL1 Antibody (JE33-20) [NBP3-32350]

Immunohistochemistry: FRA-1/FOSL1 Antibody (JE33-20) [NBP3-32350] - Immunohistochemical analysis of paraffin-embedded human cervical carcinoma tissue with Rabbit anti-FRA-1/FOSL1 antibody (NBP3-32350) at 1/3,000 dilution.

The section was pre-treated using heat mediated antigen retrieval with sodium citrate buffer (pH 6.0) for 2 minutes. The tissues were blocked in 1% BSA for 20 minutes at room temperature, washed with ddH2O and PBS, and then probed with the primary antibody (NBP3-32350) at 1/3,000 dilution for 1 hour at room temperature. The detection was performed using an HRP conjugated compact polymer system. DAB was used as the chromogen. Tissues were counterstained with hematoxylin and mounted with DPX.
FRA-1/FOSL1 Antibody (JE33-20)

Immunocytochemistry/ Immunofluorescence: FRA-1/FOSL1 Antibody (JE33-20) [NBP3-32350]

Immunocytochemistry/ Immunofluorescence: FRA-1/FOSL1 Antibody (JE33-20) [NBP3-32350] - Immunocytochemistry analysis of U-87 MG cells labeling FRA-1/FOSL1 with Rabbit anti-FRA-1/FOSL1 antibody (NBP3-32350) at 1/100 dilution.

Cells were fixed in 100% methanol for 10 minutes, permeabilized with 0.1% Triton X-100 in PBS for 15 minutes, and then blocked with 1% BSA for 30 minutes at room temperature. Cells were then incubated with Rabbit anti-FRA-1/FOSL1 antibody (NBP3-32350) at 1/100 dilution in 2% negative goat serum overnight at 4 ℃. Goat Anti-Rabbit IgG H&L (iFluor™ 488) was used as the secondary antibody at 1/1,000 dilution. Nuclear DNA was labelled in blue with DAPI.

Beta tubulin (red) was stained at 1/100 dilution overnight at +4℃. Goat Anti-Mouse IgG H&L (iFluor™ 594) was used as the secondary antibody at 1/1,000 dilution.

Applications for FRA-1/FOSL1 Antibody (JE33-20)

Application
Recommended Usage

Flow Cytometry

1:500-1:1000

Immunocytochemistry/ Immunofluorescence

1:100

Immunohistochemistry-Paraffin

1:1500-1:3000

Western Blot

1:1000

Formulation, Preparation, and Storage

Purification

Protein A purified

Formulation

1*TBS (pH7.4), 0.05% BSA and 40% Glycerol

Preservative

0.05% Sodium Azide

Concentration

1 mg/ml

Shipping

The product is shipped with polar packs. Upon receipt, store it immediately at the temperature recommended below.

Stability & Storage

Store at 4C short term. Aliquot and store at -20C long term. Avoid freeze-thaw cycles.

Background: FRA-1

The Fos gene family consists of 4 members: FOS, FOSB, FOSL1, and FOSL2. These genes encode leucine zipper proteins that can dimerize with proteins of the JUN family, thereby forming the transcription factor complex AP-1. As such, the FOS proteins have been implicated as regulators of cell proliferation, differentiation, and transformation.

Long Name

Fos-related antigen 1

Alternate Names

FOSL1, FRA1

Gene Symbol

FOSL1

Additional FRA-1 Products

Product Documents for FRA-1/FOSL1 Antibody (JE33-20)

Certificate of Analysis

To download a Certificate of Analysis, please enter a lot number in the search box below.

Product Specific Notices for FRA-1/FOSL1 Antibody (JE33-20)

This product is for research use only and is not approved for use in humans or in clinical diagnosis. Primary Antibodies are guaranteed for 1 year from date of receipt.

Loading...
Loading...
Loading...
Loading...
Loading...