Skip to main content

FPRL2/FPR3 Antibody - BSA Free

Novus Biologicals, part of Bio-Techne | Catalog # NLS3735

Novus Biologicals, part of Bio-Techne
Catalog #
Availability
Size / Price
Qty
Loading...
NLS3735

Key Product Details

Species Reactivity

Validated:

Human, Monkey

Predicted:

Chimpanzee (100%), Primate (100%). Backed by our 100% Guarantee.

Applications

Immunohistochemistry, Immunohistochemistry-Paraffin, Immunocytochemistry

Label

Unconjugated

Antibody Source

Polyclonal Rabbit IgG

Format

BSA Free

Concentration

1.0 mg/ml

Product Specifications

Immunogen

Synthetic 18 amino acid peptide from N-terminal extracellular domain of human FPRL2/FPR3.

Epitope

N-Terminus extracellular domain

Reactivity Notes

Predicted cross-reactivity based on sequence identity: Gorilla (100%), Gibbon (89%).

Specificity

Human FPRL2/FPR3. BLAST analysis of the peptide immunogen showed no homology with other human proteins.

Clonality

Polyclonal

Host

Rabbit

Isotype

IgG

Description

Product can be stored undiluted at 4C for up to 1 month.

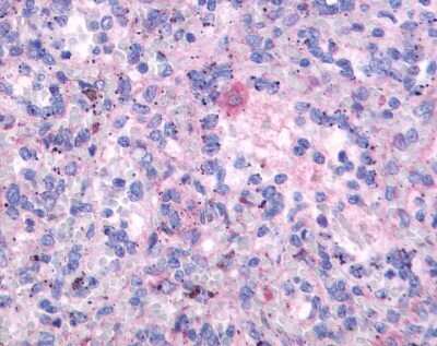
Scientific Data Images for FPRL2/FPR3 Antibody - BSA Free

Immunohistochemistry-Paraffin: FPRL2/FPR3 Antibody - BSA Free [NLS3735]

Immunohistochemistry-Paraffin: FPRL2/FPR3 Antibody - BSA Free [NLS3735]

Immunohistochemistry-Paraffin: FPRL2/FPR3 Antibody [NLS3735] - Anti-FPR3 / FPRL2 antibody IHC of human Lymph Node, Non-Hodgkins Lymphoma. Immunohistochemistry of formalin-fixed, paraffin-embedded tissue after heat-induced antigen retrieval.
Immunohistochemistry-Paraffin: FPRL2/FPR3 Antibody - BSA Free [NLS3735]

Immunohistochemistry-Paraffin: FPRL2/FPR3 Antibody - BSA Free [NLS3735]

Immunohistochemistry-Paraffin: FPRL2/FPR3 Antibody [NLS3735] - Analysis of anti-FPR3 / FPRH2 antibody with human spleen at 3 ug/ml.

Applications for FPRL2/FPR3 Antibody - BSA Free

Application
Recommended Usage

Immunocytochemistry

1:10 - 1:500

Immunohistochemistry-Paraffin

3 ug/ml
Application Notes
.

Formulation, Preparation, and Storage

Purification

Immunogen affinity purified

Formulation

PBS

Format

BSA Free

Preservative

0.1% Sodium Azide

Concentration

1.0 mg/ml

Shipping

The product is shipped with polar packs. Upon receipt, store it immediately at the temperature recommended below.

Stability & Storage

Keep as concentrated solution. Aliquot and store at -20C or below. Avoid multiple freeze-thaw cycles.

Background: FPRL2/FPR3

FPRL2 is a Chemoattractant Receptor involved in the transduction of signals in myeloid cells. Although it is structurally homologous to FPRL1, human FPRL2 does not recognize the N-formylmethionyl peptides (FMLP) as ligands and is not expressed in neutrophils.

Long Name

Formyl Peptide Receptor-like 2

Alternate Names

FMLPY, FPR3, FPRH1, FPRH2, RMLP-R-I

Entrez Gene IDs

2359 (Human)

Gene Symbol

FPR3

UniProt

Additional FPRL2/FPR3 Products

Product Documents for FPRL2/FPR3 Antibody - BSA Free

Certificate of Analysis

To download a Certificate of Analysis, please enter a lot number in the search box below.

Product Specific Notices for FPRL2/FPR3 Antibody - BSA Free

This product is for research use only and is not approved for use in humans or in clinical diagnosis. Primary Antibodies are guaranteed for 1 year from date of receipt.

Loading...
Loading...
Loading...
Loading...