Skip to main content

FPRL1/FPR2 Antibody - BSA Free

Novus Biologicals, part of Bio-Techne | Catalog # NBP1-90180

Novus Biologicals, part of Bio-Techne
Catalog #
Availability
Size / Price
Qty
Loading...
NBP1-90180
NBP1-90180-25ul

Key Product Details

Species Reactivity

Validated:

Human, Mouse

Cited:

Mouse

Applications

Validated:

Immunohistochemistry, Immunohistochemistry-Paraffin, Western Blot

Cited:

Western Blot, IF/IHC

Label

Unconjugated

Antibody Source

Polyclonal Rabbit IgG

Format

BSA Free

Concentration

Concentrations vary lot to lot. See vial label for concentration. If unlisted please contact technical services.

Product Specifications

Immunogen

This antibody was developed against Recombinant Protein corresponding to amino acids: DTYCTFNFASWGGTPEERLKVAITMLTARG

Reactivity Notes

Use in Mouse reported in scientific literature (PMID: 33945545).

Clonality

Polyclonal

Host

Rabbit

Isotype

IgG

Description

Novus Biologicals Rabbit FPRL1/FPR2 Antibody - BSA Free (NBP1-90180) is a polyclonal antibody validated for use in IHC and WB. Anti-FPRL1/FPR2 Antibody: Cited in 1 publication. All Novus Biologicals antibodies are covered by our 100% guarantee.

Scientific Data Images for FPRL1/FPR2 Antibody - BSA Free

FPRL1/FPR2 Antibody - BSA Free Immunohistochemistry: FPRL1/FPR2 Antibody - BSA Free [NBP1-90180]

Immunohistochemistry: FPRL1/FPR2 Antibody - BSA Free [NBP1-90180]

Staining of human skeletal muscle shows no positivity in myocytes as expected.
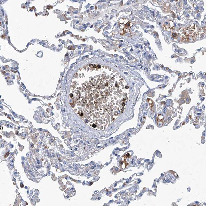
FPRL1/FPR2 Antibody - BSA Free Immunohistochemistry: FPRL1/FPR2 Antibody - BSA Free [NBP1-90180]

Immunohistochemistry: FPRL1/FPR2 Antibody - BSA Free [NBP1-90180]

Staining of human lung shows strong cytoplasmic positivity in granulocytes.
FPRL1/FPR2 Antibody - BSA Free Immunohistochemistry: FPRL1/FPR2 Antibody - BSA Free [NBP1-90180]

Immunohistochemistry: FPRL1/FPR2 Antibody - BSA Free [NBP1-90180]

Staining of human spleen shows moderate membranous positivity in cells in white pulp.

Applications for FPRL1/FPR2 Antibody - BSA Free

Application
Recommended Usage

Immunohistochemistry

1:50 - 1:200

Immunohistochemistry-Paraffin

1:50 - 1:200

Western Blot

Reported in scientific literature (PMID:PMID: 33945545).
Application Notes
For IHC-Paraffin, HIER pH 6 retrieval is recommended.

Formulation, Preparation, and Storage

Purification

Affinity purified

Formulation

PBS (pH 7.2) and 40% Glycerol

Format

BSA Free

Preservative

0.02% Sodium Azide

Concentration

Concentrations vary lot to lot. See vial label for concentration. If unlisted please contact technical services.

Shipping

The product is shipped with polar packs. Upon receipt, store it immediately at the temperature recommended below.

Stability & Storage

Store at 4C short term. Aliquot and store at -20C long term. Avoid freeze-thaw cycles.

Background: FPRL1/FPR2

Low affinity receptor for N-formyl-methionyl peptides, which are powerful neutrophils chemotactic factors.Binding of FMLP to the receptor causes activation of neutrophils. This response is mediated via a G-protein thatactivates a phosphatidylinositol-calcium second messenger system. The activation of LXA4R could result in ananti-inflammatory outcome counteracting the actions of proinflammatory signals such as LTB4 (leukotriene B4)

Long Name

Formyl Peptide Receptor-like 1

Alternate Names

ALXR, FMLP-R-I, FPR2, HM63, LXA4 Receptor, RFP

Gene Symbol

FPR2

Additional FPRL1/FPR2 Products

Product Documents for FPRL1/FPR2 Antibody - BSA Free

Certificate of Analysis

To download a Certificate of Analysis, please enter a lot number in the search box below.

Product Specific Notices for FPRL1/FPR2 Antibody - BSA Free

This product is for research use only and is not approved for use in humans or in clinical diagnosis. Primary Antibodies are guaranteed for 1 year from date of receipt.

Loading...
Loading...
Loading...
Loading...
Loading...