Skip to main content

FoxP1 Antibody - BSA Free

Novus Biologicals, part of Bio-Techne | Catalog # NBP1-89410

Novus Biologicals, part of Bio-Techne
Catalog #
Availability
Size / Price
Qty
Loading...
NBP1-89410
NBP1-89410-25ul

Key Product Details

Validated by

Knockout/Knockdown

Species Reactivity

Human, Mouse, Rat

Applications

Immunohistochemistry, Immunohistochemistry-Paraffin, Western Blot, Immunocytochemistry/ Immunofluorescence, Chromatin Immunoprecipitation-exo-Seq, Knockdown Validated

Label

Unconjugated

Antibody Source

Polyclonal Rabbit IgG

Format

BSA Free

Concentration

Concentrations vary lot to lot. See vial label for concentration. If unlisted please contact technical services.

Product Specifications

Immunogen

This antibody was developed against Recombinant Protein corresponding to amino acids: QMQQLQQQHLLSLQRQGLLTIQPGQPALPLQPLAQGMIPTELQQLWKEVTSAHTAEETTGNNHSSLDLTTTCVSSSAPSKTSLIMNPHASTNGQLSVHTPKRESLSHEEHPHSHPLYGHGVCKWPGCEAVCEDFQSFLKHLNS

Clonality

Polyclonal

Host

Rabbit

Isotype

IgG

Scientific Data Images for FoxP1 Antibody - BSA Free

Immunocytochemistry/ Immunofluorescence: FoxP1 Antibody [NBP1-89410]

Immunocytochemistry/ Immunofluorescence: FoxP1 Antibody [NBP1-89410]

Immunocytochemistry/Immunofluorescence: FoxP1 Antibody [NBP1-89410] - Saining of human cell line U-251 MG shows localization to nucleoplasm. Antibody staining is shown in green.
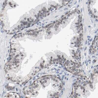
Immunohistochemistry-Paraffin: FoxP1 Antibody [NBP1-89410]

Immunohistochemistry-Paraffin: FoxP1 Antibody [NBP1-89410]

Immunohistochemistry-Paraffin: FoxP1 Antibody [NBP1-89410] - Staining of human rectum shows moderate nuclear positivity in glandular cells.
Immunohistochemistry-Paraffin: FoxP1 Antibody [NBP1-89410]

Immunohistochemistry-Paraffin: FoxP1 Antibody [NBP1-89410]

Immunohistochemistry-Paraffin: FoxP1 Antibody [NBP1-89410] - Staining of human liver shows no positivity in hepatocytes as expected.

Applications for FoxP1 Antibody - BSA Free

Application
Recommended Usage

Chromatin Immunoprecipitation-exo-Seq

1-10ug per reaction

Immunocytochemistry/ Immunofluorescence

0.25-2 ug/ml

Immunohistochemistry

1:50 - 1:200

Immunohistochemistry-Paraffin

1:50 - 1:200

Western Blot

0.04-0.4 ug/ml
Application Notes
For IHC-Paraffin, HIER pH 6 retrieval is recommended. ICC/IF Fixation Permeabilization: Use PFA/Triton X-100.

Formulation, Preparation, and Storage

Purification

Affinity purified

Formulation

PBS (pH 7.2) and 40% Glycerol

Format

BSA Free

Preservative

0.02% Sodium Azide

Concentration

Concentrations vary lot to lot. See vial label for concentration. If unlisted please contact technical services.

Shipping

The product is shipped with polar packs. Upon receipt, store it immediately at the temperature recommended below.

Stability & Storage

Store at 4C short term. Aliquot and store at -20C long term. Avoid freeze-thaw cycles.

Background: FoxP1

FOXP1 is a transcriptional repressor that plays an important role in the specification and differentiation of lung epithelium. The gene encoding this protein may act as a tumor suppressor as it is lost in several tumor types and maps to a chromosomal region (3p14.1) reported to contain a tumor suppressor gene.

Long Name

Forkhead Box P1

Alternate Names

QRF1

Gene Symbol

FOXP1

Additional FoxP1 Products

Product Documents for FoxP1 Antibody - BSA Free

Certificate of Analysis

To download a Certificate of Analysis, please enter a lot number in the search box below.

Product Specific Notices for FoxP1 Antibody - BSA Free

This product is for research use only and is not approved for use in humans or in clinical diagnosis. Primary Antibodies are guaranteed for 1 year from date of receipt.

Loading...
Loading...
Loading...
Loading...