Skip to main content

FOXL2 Antibody (FOXL2/7989R)

Novus Biologicals, part of Bio-Techne | Catalog # NBP3-20674

Recombinant Monoclonal Antibody
Novus Biologicals, part of Bio-Techne
Catalog #
Availability
Size / Price
Qty
Loading...
NBP3-20674-100ug
NBP3-20674-20ug

Key Product Details

Species Reactivity

Human

Applications

Immunohistochemistry-Paraffin

Label

Unconjugated

Antibody Source

Recombinant Monoclonal Rabbit IgG Kappa Clone # FOXL2/7989R

Concentration

0.2 mg/ml

Product Specifications

Immunogen

Recombinant full-length human FOXL2 protein

Localization

Nucleus.

Clonality

Monoclonal

Host

Rabbit

Isotype

IgG Kappa

Description

Positive Controls: Nuclear expression in ovarian follicular and stromal cells. Granulosa cell tumor.

Antibody with azide - store at 2 to 8C. Antibody without azide - store at -20 to -80C. Non-hazardous. No MSDS required.

Scientific Data Images for FOXL2 Antibody (FOXL2/7989R)

FOXL2 Antibody (FOXL2/7989R)

FOXL2 Antibody (FOXL2/7989R)

Formalin-fixed, paraffin-embedded human parathyroid stained with FOXL2 antibody (FOXL2/7989R). HIER: Tris/EDTA, pH9.0, 45min. Secondary: HRP-polymer, 30min. DAB, 5min.
FOXL2 Antibody (FOXL2/7989R)

FOXL2 Antibody (FOXL2/7989R)

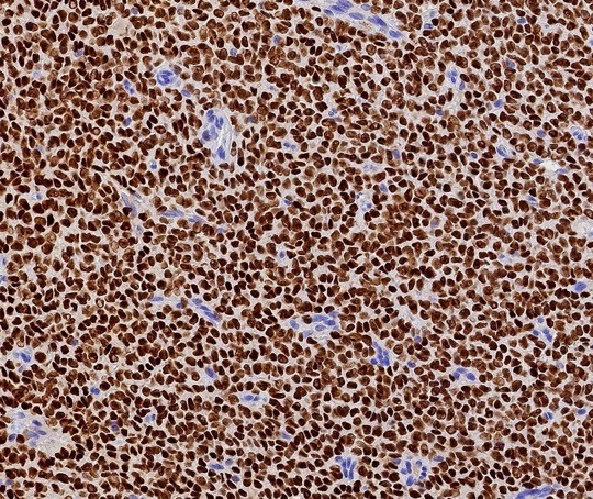
FFPE human ovarian adult granulosa cell tumor stained with FOXL2 antibody (FOXL2/7989R). HIER: Tris/EDTA, pH9.0, 45min. Secondary: HRP-polymer, 30min. DAB, 5min.
FOXL2 Antibody (FOXL2/7989R)

FOXL2 Antibody (FOXL2/7989R)

FFPE human ovarian adult granulosa cell tumor stained with FOXL2 antibody (FOXL2/7989R). HIER: Tris/EDTA, pH9.0, 45min. Secondary: HRP-polymer, 30min. DAB, 5min.

Applications for FOXL2 Antibody (FOXL2/7989R)

Application
Recommended Usage

Immunohistochemistry-Paraffin

1-2 ug/ml
Application Notes
Immunohistochemistry (Formalin-fixed): 1-2ug/ml for 30 minutes. at RT. Staining of formalin-fixed tissues requires heating tissue sections in 10mM Tris with 1mM EDTA, pH 9.0, for 45 min at 95C followed by cooling at RT for 20 minutes.

Optimal dilution for a specific application should be determined.

Formulation, Preparation, and Storage

Purification

Protein A or G purified

Formulation

10mM PBS with 0.05% BSA

Preservative

0.05% Sodium Azide

Concentration

0.2 mg/ml

Shipping

The product is shipped with polar packs. Upon receipt, store it immediately at the temperature recommended below.

Stability & Storage

Store at 4C. Do not freeze.

Background: FOXL2

There are 2 forms of the blepharophimosis/ptosis/epicanthus inversus syndrome. In one form, called type I, eyelid abnormalities are associated with ovarian failure. In the second type, called type II, only the eyelid defects are found. Both types map to 3q23. Crisponi et al. (2001) refined the physical mapping of the BPES critical region and positionally cloned a novel, putative winged helix/forkhead transcription factor gene, FOXL2, in which they found mutations to produce truncated proteins in type I families and larger proteins in type II. Consistent with an involvement in those tissues, FOXL2 was selectively expressed in the mesenchyme of developing mouse eyelids and in adult ovarian follicles; in adult humans, it appeared predominantly in the ovary.

Long Name

Forkhead Box L2

Alternate Names

BPES, BPES1, PFRK, PINTO, POF3

Gene Symbol

FOXL2

Additional FOXL2 Products

Product Documents for FOXL2 Antibody (FOXL2/7989R)

Certificate of Analysis

To download a Certificate of Analysis, please enter a lot number in the search box below.

Product Specific Notices for FOXL2 Antibody (FOXL2/7989R)

This product is for research use only and is not approved for use in humans or in clinical diagnosis. Primary Antibodies are guaranteed for 1 year from date of receipt.

Loading...
Loading...
Loading...
Loading...