Skip to main content

FOXL2 Antibody (CL12762) - BSA Free

Novus Biologicals, part of Bio-Techne | Catalog # NBP3-18544

Novus Biologicals, part of Bio-Techne
Catalog #
Availability
Size / Price
Qty
Loading...
NBP3-18544-100ul
NBP3-18544-25ul

Key Product Details

Species Reactivity

Human

Applications

Immunohistochemistry, Immunohistochemistry-Paraffin

Label

Unconjugated

Antibody Source

Monoclonal Mouse IgG3 Clone # CL12762

Format

BSA Free

Concentration

Concentrations vary lot to lot. See vial label for concentration. If unlisted please contact technical services.

Product Specifications

Immunogen

This antibody was developed using a synthetic peptide derived from P58012, with the exact immunogen sequence remaining proprietary.

Clonality

Monoclonal

Host

Mouse

Isotype

IgG3

Description

Novus Biologicals Mouse FOXL2 Antibody (CL12762) - BSA Free (NBP3-18544) is a monoclonal antibody validated for use in IHC. All Novus Biologicals antibodies are covered by our 100% guarantee.

Scientific Data Images for FOXL2 Antibody (CL12762) - BSA Free

Immunohistochemistry-Paraffin: FOXL2 Antibody (CL12762) [NBP3-18544]

Immunohistochemistry-Paraffin: FOXL2 Antibody (CL12762) [NBP3-18544]

Immunohistochemistry-Paraffin: FOXL2 Antibody (CL12762) [NBP3-18544] - Staining of human rectum shows no positivity in glandular cells as expected.
Immunohistochemistry-Paraffin: FOXL2 Antibody (CL12762) [NBP3-18544]

Immunohistochemistry-Paraffin: FOXL2 Antibody (CL12762) [NBP3-18544]

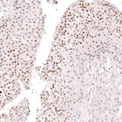
Immunohistochemistry-Paraffin: FOXL2 Antibody (CL12762) [NBP3-18544] - Analysis in human ovary and liver tissues using NBP3-18544 antibody. Corresponding FOXL2 RNA-seq data are presented for the same tissues.
Immunohistochemistry-Paraffin: FOXL2 Antibody (CL12762) [NBP3-18544]

Immunohistochemistry-Paraffin: FOXL2 Antibody (CL12762) [NBP3-18544]

Immunohistochemistry-Paraffin: FOXL2 Antibody (CL12762) [NBP3-18544] - Staining of human ovarian cancer (granulosa cell tumor) shows moderate to strong nuclear positivity in tumor cells.

Applications for FOXL2 Antibody (CL12762) - BSA Free

Application
Recommended Usage

Immunohistochemistry

1:50 - 1:200

Immunohistochemistry-Paraffin

1:50 - 1:200
Application Notes
For use with IHC-Paraffin, HIER pH 6 retrieval is recommended.

Formulation, Preparation, and Storage

Purification

Protein A purified

Formulation

PBS, pH 7.2, 40% glycerol

Format

BSA Free

Preservative

0.02% Sodium Azide

Concentration

Concentrations vary lot to lot. See vial label for concentration. If unlisted please contact technical services.

Shipping

The product is shipped with polar packs. Upon receipt, store it immediately at the temperature recommended below.

Stability & Storage

Store at 4C short term. Aliquot and store at -20C long term. Avoid freeze-thaw cycles.

Background: FOXL2

There are 2 forms of the blepharophimosis/ptosis/epicanthus inversus syndrome. In one form, called type I, eyelid abnormalities are associated with ovarian failure. In the second type, called type II, only the eyelid defects are found. Both types map to 3q23. Crisponi et al. (2001) refined the physical mapping of the BPES critical region and positionally cloned a novel, putative winged helix/forkhead transcription factor gene, FOXL2, in which they found mutations to produce truncated proteins in type I families and larger proteins in type II. Consistent with an involvement in those tissues, FOXL2 was selectively expressed in the mesenchyme of developing mouse eyelids and in adult ovarian follicles; in adult humans, it appeared predominantly in the ovary.

Long Name

Forkhead Box L2

Alternate Names

BPES, BPES1, PFRK, PINTO, POF3

Gene Symbol

FOXL2

Additional FOXL2 Products

Product Documents for FOXL2 Antibody (CL12762) - BSA Free

Certificate of Analysis

To download a Certificate of Analysis, please enter a lot number in the search box below.

Product Specific Notices for FOXL2 Antibody (CL12762) - BSA Free

This product is for research use only and is not approved for use in humans or in clinical diagnosis. Primary Antibodies are guaranteed for 1 year from date of receipt.

Loading...
Loading...
Loading...
Loading...