Skip to main content

FOXI1 Antibody (OTI1D4) - Azide and BSA Free

Novus Biologicals, part of Bio-Techne | Catalog # NBP2-70747

Novus Biologicals, part of Bio-Techne
Catalog #
Availability
Size / Price
Qty
Loading...
NBP2-70747

Key Product Details

Species Reactivity

Human, Mouse

Applications

Immunohistochemistry, Immunohistochemistry-Paraffin, Western Blot, Flow Cytometry, Immunocytochemistry/ Immunofluorescence, CyTOF-ready

Label

Unconjugated

Antibody Source

Monoclonal Mouse IgG1 Clone # OTI1D4

Format

Azide and BSA Free

Concentration

LYOPH mg/ml

Product Specifications

Immunogen

Human recombinant protein fragment corresponding to amino acids 111-350 of human FOXI1 (NP_036320) produced in E.coli.

Reactivity Notes

Please note that this antibody is reactive to Mouse and derived from the same host, Mouse. Mouse-On-Mouse blocking reagent may be needed for IHC and ICC experiments to reduce high background signal. You can find these reagents under catalog numbers PK-2200-NB and MP-2400-NB. Please contact Technical Support if you have any questions.

Clonality

Monoclonal

Host

Mouse

Isotype

IgG1

Theoretical MW

40.8 kDa.
Disclaimer note: The observed molecular weight of the protein may vary from the listed predicted molecular weight due to post translational modifications, post translation cleavages, relative charges, and other experimental factors.

Description

Novus Biologicals Mouse FOXI1 Antibody (OTI1D4) - Azide and BSA Free (NBP2-03868) is a monoclonal antibody validated for use in IHC, WB, Flow and ICC/IF. All Novus Biologicals antibodies are covered by our 100% guarantee.

Scientific Data Images for FOXI1 Antibody (OTI1D4) - Azide and BSA Free

Western Blot: FOXI1 Antibody (OTI1D4)Azide and BSA Free [NBP2-70747]

Western Blot: FOXI1 Antibody (OTI1D4)Azide and BSA Free [NBP2-70747]

Western Blot: FOXI1 Antibody (OTI1D4) - Azide and BSA Free [NBP2-70747] - HEK293T cells were transfected with the pCMV6-ENTRY control (Left lane) or pCMV6-ENTRY FOXI1 (Right lane) cDNA for 48 hrs and lysed. Equivalent amounts of cell lysates (5 ug per lane) were separated by SDS-PAGE and immunoblotted with anti-FOXI1.
Immunocytochemistry/ Immunofluorescence: FOXI1 Antibody (OTI1D4) - Azide and BSA Free [NBP2-70747]

Immunocytochemistry/ Immunofluorescence: FOXI1 Antibody (OTI1D4) - Azide and BSA Free [NBP2-70747]

Immunocytochemistry/Immunofluorescence: FOXI1 Antibody (OTI1D4) - Azide and BSA Free [NBP2-70747] - Staining of COS7 cells transiently transfected by pCMV6-ENTRY FOXI1.
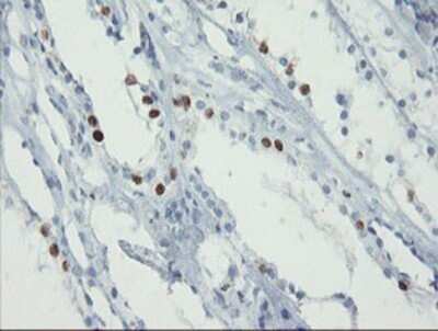
Immunohistochemistry: FOXI1 Antibody (OTI1D4) - Azide and BSA Free [NBP2-70747]

Immunohistochemistry: FOXI1 Antibody (OTI1D4) - Azide and BSA Free [NBP2-70747]

Immunohistochemistry: FOXI1 Antibody (OTI1D4) - Azide and BSA Free [NBP2-70747] - Staining of paraffin-embedded Human Kidney tissue using anti-FOXI1 mouse monoclonal antibody.

Applications for FOXI1 Antibody (OTI1D4) - Azide and BSA Free

Application
Recommended Usage

Flow Cytometry

1:100

Immunocytochemistry/ Immunofluorescence

1:100

Immunohistochemistry

1:150

Western Blot

1:2000

Formulation, Preparation, and Storage

Purification

Immunogen affinity purified

Reconstitution

we recommend adding 100uL distilled water to a final antibody concentration of about 1 mg/mL. To use this carrier-free antibody for conjugation experiment, we strongly recommend performing another round of desalting process.

Formulation

Lyophilized from PBS (pH 7.3) with 8% Trehalose

Format

Azide and BSA Free

Preservative

No Preservative

Concentration

LYOPH mg/ml

Shipping

The product is shipped with polar packs. Upon receipt, store it immediately at the temperature recommended below.

Stability & Storage

Store at -20C. Avoid freeze-thaw cycles.

Background: FOXI1

FOXI1 belongs to the forkhead family of transcription factors which is characterized by a distinct forkhead domain. The specific function of this gene has not yet been determined; however, it is possible that this gene plays an important role in the development of the cochlea and vestibulum, as well as embryogenesis. Mutations in this gene may be associated with the common cavity phenotype. Two transcript variants encoding different isoforms have been found for this gene. [provided by RefSeq]

Alternate Names

FKHL10HFH3, forkhead box I1, forkhead box protein I1, forkhead-like 10, forkhead-related activator 6, Forkhead-related protein FKHL10, Forkhead-related transcription factor 6, FREAC-6, FREAC6FKH10, Hepatocyte nuclear factor 3 forkhead homolog 3, HFH-3, HNF-3/fork-head homolog 3, HNF-3/fork-head homolog-3, MGC34197

Gene Symbol

FOXI1

Additional FOXI1 Products

Product Documents for FOXI1 Antibody (OTI1D4) - Azide and BSA Free

Certificate of Analysis

To download a Certificate of Analysis, please enter a lot number in the search box below.

Product Specific Notices for FOXI1 Antibody (OTI1D4) - Azide and BSA Free

This product is for research use only and is not approved for use in humans or in clinical diagnosis. Primary Antibodies are guaranteed for 1 year from date of receipt.

Loading...
Loading...
Loading...
Loading...
Loading...
Loading...