Skip to main content

FNDC4 Antibody (OTI1B7)

Novus Biologicals, part of Bio-Techne | Catalog # NBP2-45691

Novus Biologicals, part of Bio-Techne
Catalog #
Availability
Size / Price
Qty
Loading...
NBP2-45691

Key Product Details

Species Reactivity

Human, Mouse

Applications

Immunohistochemistry, Immunohistochemistry-Paraffin

Label

Unconjugated

Antibody Source

Monoclonal Mouse IgG1 Clone # OTI1B7

Concentration

1 mg/ml

Product Specifications

Immunogen

Full length human recombinant protein of human FNDC4(NP_073734) produced in HEK293T cell.

Reactivity Notes

Please note that this antibody is reactive to Mouse and derived from the same host, Mouse. Mouse-On-Mouse blocking reagent may be needed for IHC and ICC experiments to reduce high background signal. You can find these reagents under catalog numbers PK-2200-NB and MP-2400-NB. Please contact Technical Support if you have any questions.

Clonality

Monoclonal

Host

Mouse

Isotype

IgG1

Theoretical MW

25 kDa.
Disclaimer note: The observed molecular weight of the protein may vary from the listed predicted molecular weight due to post translational modifications, post translation cleavages, relative charges, and other experimental factors.

Description

Novus Biologicals Mouse FNDC4 Antibody (OTI1B7) (NBP2-45691) is a monoclonal antibody validated for use in IHC. All Novus Biologicals antibodies are covered by our 100% guarantee.

Scientific Data Images for FNDC4 Antibody (OTI1B7)

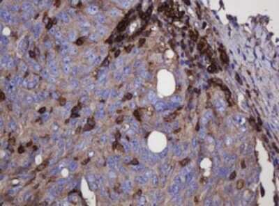
Immunohistochemistry: FNDC4 Antibody (OTI1B7) [NBP2-45691]

Immunohistochemistry: FNDC4 Antibody (OTI1B7) [NBP2-45691]

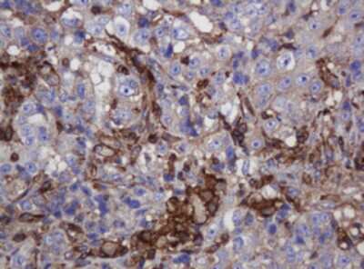
Immunohistochemistry: FNDC4 Antibody (1B7) [NBP2-45691] - Analysis of Carcinoma of Human liver tissue.(Heat-induced epitope retrieval by 10mM citric buffer, pH6.0, 120C for 3min)
Immunohistochemistry: FNDC4 Antibody (OTI1B7) [NBP2-45691]

Immunohistochemistry: FNDC4 Antibody (OTI1B7) [NBP2-45691]

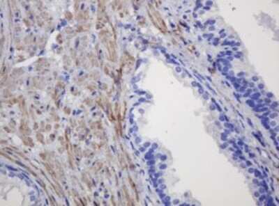
Immunohistochemistry: FNDC4 Antibody (1B7) [NBP2-45691] - Analysis of Human prostate tissue within the normal limits using FNDC4 mouse monoclonal antibody. (Heat-induced epitope retrieval by 10mM citric buffer, pH6.0, 120C for 3min)
Immunohistochemistry: FNDC4 Antibody (OTI1B7) [NBP2-45691]

Immunohistochemistry: FNDC4 Antibody (OTI1B7) [NBP2-45691]

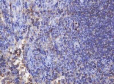
Immunohistochemistry: FNDC4 Antibody (1B7) [NBP2-45691] - Analysis of Human tonsil tissue. (Heat-induced epitope retrieval by 10mM citric buffer, pH6.0, 120C for 3min)

Applications for FNDC4 Antibody (OTI1B7)

Application
Recommended Usage

Immunohistochemistry

1:150

Formulation, Preparation, and Storage

Purification

Immunogen affinity purified

Formulation

PBS (pH 7.3), 1.0% BSA and 50% Glycerol

Preservative

0.02% Sodium Azide

Concentration

1 mg/ml

Shipping

The product is shipped with polar packs. Upon receipt, store it immediately at the temperature recommended below.

Stability & Storage

Store at -20C. Avoid freeze-thaw cycles.

Background: FNDC4

Long Name

Fibronectin Type III Domain Containing 4

Alternate Names

FRCP1

Gene Symbol

FNDC4

Additional FNDC4 Products

Product Documents for FNDC4 Antibody (OTI1B7)

Certificate of Analysis

To download a Certificate of Analysis, please enter a lot number in the search box below.

Product Specific Notices for FNDC4 Antibody (OTI1B7)

This product is for research use only and is not approved for use in humans or in clinical diagnosis. Primary Antibodies are guaranteed for 1 year from date of receipt.

Loading...
Loading...
Loading...
Loading...