Skip to main content

FMRP Antibody - BSA Free

Novus Biologicals, part of Bio-Techne | Catalog # NBP2-38783

Novus Biologicals, part of Bio-Techne
Catalog #
Availability
Size / Price
Qty
Loading...
NBP2-38783
NBP2-38783-25ul

Key Product Details

Validated by

Independent Antibodies

Species Reactivity

Human

Applications

Immunohistochemistry, Immunohistochemistry-Paraffin

Label

Unconjugated

Antibody Source

Polyclonal Rabbit IgG

Format

BSA Free

Concentration

Concentrations vary lot to lot. See vial label for concentration. If unlisted please contact technical services.

Product Specifications

Immunogen

This antibody was developed against a recombinant protein corresponding to amino acids: RIEAENEKNVPQEEEIMPPNSLPSNNSRVGPNAPEEKKHLDIKENSTHFSQPNSTKV

Reactivity Notes

Immunogen displays the following percentage of sequence identity for non-tested species: Mouse (89%), Rat (84%)

Clonality

Polyclonal

Host

Rabbit

Isotype

IgG

Description

Novus Biologicals Rabbit FMRP Antibody - BSA Free (NBP2-38783) is a polyclonal antibody validated for use in IHC. All Novus Biologicals antibodies are covered by our 100% guarantee.

Scientific Data Images for FMRP Antibody - BSA Free

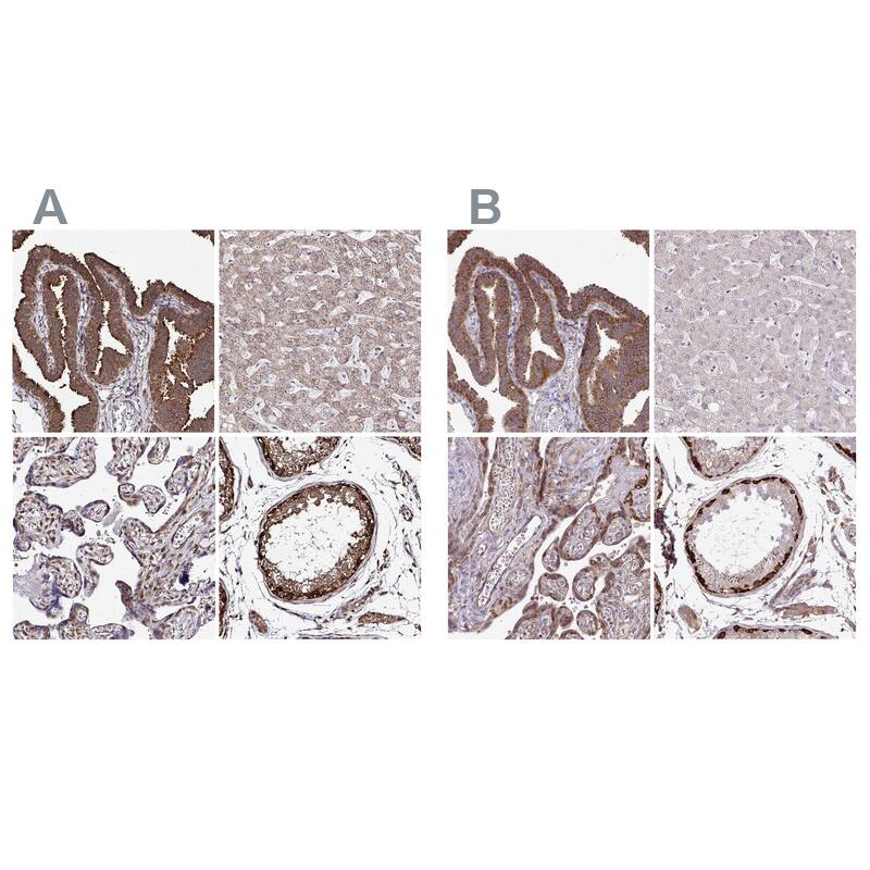
Immunohistochemistry-Paraffin: FMRP Antibody [NBP2-38783]

Immunohistochemistry-Paraffin: FMRP Antibody [NBP2-38783]

Immunohistochemistry-Paraffin: FMRP Antibody [NBP2-38783] - Staining of human Liver shows weak cytoplasmic positivity in hepatocytes.
Immunohistochemistry-Paraffin: FMRP Antibody [NBP2-38783]

Immunohistochemistry-Paraffin: FMRP Antibody [NBP2-38783]

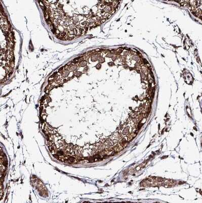
Immunohistochemistry-Paraffin: FMRP Antibody [NBP2-38783] - Staining of human testis shows strong cytoplasmic and nuclear positivity in cells in seminiferous ducts.
Immunohistochemistry-Paraffin: FMRP Antibody [NBP2-38783]

Immunohistochemistry-Paraffin: FMRP Antibody [NBP2-38783]

Immunohistochemistry-Paraffin: FMRP Antibody [NBP2-38783] - Staining of human Fallopian tube shows strong cytoplasmic and membranous positivity in glandular cells.

Applications for FMRP Antibody - BSA Free

Application
Recommended Usage

Immunohistochemistry

1:1000 - 1:2500

Immunohistochemistry-Paraffin

1:1000 - 1:2500
Application Notes
For IHC-Paraffin, HIER pH 6 retrieval is recommended.

Formulation, Preparation, and Storage

Purification

Immunogen affinity purified

Formulation

PBS (pH 7.2) and 40% Glycerol

Format

BSA Free

Preservative

0.02% Sodium Azide

Concentration

Concentrations vary lot to lot. See vial label for concentration. If unlisted please contact technical services.

Shipping

The product is shipped with polar packs. Upon receipt, store it immediately at the temperature recommended below.

Stability & Storage

Store at 4C short term. Aliquot and store at -20C long term. Avoid freeze-thaw cycles.

Background: FMRP

Alternate Names

FMRPFRAXAPOF, fragile X mental retardation 1, fragile X mental retardation 1 protein, MGC87458, POF1, premature ovarian failure 1, Protein FMR-1

Gene Symbol

FMR1

UniProt

Additional FMRP Products

Product Documents for FMRP Antibody - BSA Free

Certificate of Analysis

To download a Certificate of Analysis, please enter a lot number in the search box below.

Product Specific Notices for FMRP Antibody - BSA Free

This product is for research use only and is not approved for use in humans or in clinical diagnosis. Primary Antibodies are guaranteed for 1 year from date of receipt.

Loading...
Loading...
Loading...
Loading...