Skip to main content

FMRP Antibody (S08-5G5)

Novus Biologicals, part of Bio-Techne | Catalog # NBP3-19487

Recombinant Monoclonal Antibody
Novus Biologicals, part of Bio-Techne
Catalog #
Availability
Size / Price
Qty
Loading...
NBP3-19487-100ul
NBP3-19487-50ul

Key Product Details

Species Reactivity

Human, Mouse, Rat

Applications

Immunocytochemistry/ Immunofluorescence, Immunohistochemistry, Immunohistochemistry-Paraffin, Western Blot

Label

Unconjugated

Antibody Source

Recombinant Monoclonal Rabbit IgG Clone # S08-5G5 expressed in HEK293

Concentration

0.3 mg/ml

Product Specifications

Immunogen

A synthetic peptide of human FMRP (Uniprot # Q06787)

Clonality

Monoclonal

Host

Rabbit

Isotype

IgG

Theoretical MW

71 kDa.
Disclaimer note: The observed molecular weight of the protein may vary from the listed predicted molecular weight due to post translational modifications, post translation cleavages, relative charges, and other experimental factors.

Description

Novus Biologicals Rabbit FMRP Antibody (S08-5G5) (NBP3-19487) is a recombinant monoclonal antibody validated for use in IHC, WB and ICC/IF. All Novus Biologicals antibodies are covered by our 100% guarantee.

Scientific Data Images for FMRP Antibody (S08-5G5)

Western Blot: FMRP Antibody (S08-5G5) [NBP3-19487]

Western Blot: FMRP Antibody (S08-5G5) [NBP3-19487]

Western Blot: FMRP Antibody (S08-5G5) [NBP3-19487] - Western blot detection of FMRP in 293, U2OS, Jurkat, COS7 cell lysates using NBP3-19487 (1:1000 diluted). Predicted band size: 71kDa. Observed band size: 70-80kDa.
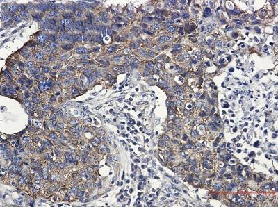
Immunohistochemistry-Paraffin: FMRP Antibody (S08-5G5) [NBP3-19487]

Immunohistochemistry-Paraffin: FMRP Antibody (S08-5G5) [NBP3-19487]

Immunohistochemistry-Paraffin: FMRP Antibody (S08-5G5) [NBP3-19487] - Immunohistochemistry of FMRP in paraffin-embedded Human lung cancer tissue using NBP3-19487 at dilution 1/50
FMRP Antibody (S08-5G5)

Immunocytochemistry/Immunofluorescence: FMRP Antibody (S08-5G5) [NBP3-19487] -

Immunocytochemistry/Immunofluorescence: FMRP Antibody (S08-5G5) [NBP3-19487] - Immunofluorescence of FMRP (green) in Hela using NBP3-19487 at dilution 1/5, and DAPI (blue)

Applications for FMRP Antibody (S08-5G5)

Application
Recommended Usage

Immunocytochemistry/ Immunofluorescence

1:50-1:200

Immunohistochemistry

1:100-1:200

Western Blot

1:1000-1:2000

Formulation, Preparation, and Storage

Purification

Affinity purified

Formulation

50mM Tris-Glycine(pH 7.4), 0.15M NaCl, 40% Glycerol, 0.05% BSA

Preservative

0.01% Sodium Azide

Concentration

0.3 mg/ml

Shipping

The product is shipped with polar packs. Upon receipt, store it immediately at the temperature recommended below.

Stability & Storage

Store at 4C short term. Aliquot and store at -20C long term. Avoid freeze-thaw cycles.

Background: FMRP

Alternate Names

FMRPFRAXAPOF, fragile X mental retardation 1, fragile X mental retardation 1 protein, MGC87458, POF1, premature ovarian failure 1, Protein FMR-1

Gene Symbol

FMR1

Additional FMRP Products

Product Documents for FMRP Antibody (S08-5G5)

Certificate of Analysis

To download a Certificate of Analysis, please enter a lot number in the search box below.

Product Specific Notices for FMRP Antibody (S08-5G5)

This product is for research use only and is not approved for use in humans or in clinical diagnosis. Primary Antibodies are guaranteed for 1 year from date of receipt.

Loading...
Loading...
Loading...
Loading...