Skip to main content

FMRP Antibody (OTI3B4) - Azide and BSA Free

Novus Biologicals, part of Bio-Techne | Catalog # NBP2-70761

Novus Biologicals, part of Bio-Techne
Catalog #
Availability
Size / Price
Qty
Loading...
NBP2-70761

Key Product Details

Species Reactivity

Human, Mouse, Rat

Applications

Immunohistochemistry, Immunohistochemistry-Paraffin, Western Blot, Flow Cytometry, Immunocytochemistry/ Immunofluorescence, CyTOF-ready

Label

Unconjugated

Antibody Source

Monoclonal Mouse IgG1 Clone # OTI3B4

Format

Azide and BSA Free

Concentration

LYOPH mg/ml

Product Specifications

Immunogen

Human recombinant protein fragment corresponding to ammino acids FMR1(NP_002015) produced in E.coli.

Reactivity Notes

Please note that this antibody is reactive to Mouse and derived from the same host, Mouse. Mouse-On-Mouse blocking reagent may be needed for IHC and ICC experiments to reduce high background signal. You can find these reagents under catalog numbers PK-2200-NB and MP-2400-NB. Please contact Technical Support if you have any questions.

Clonality

Monoclonal

Host

Mouse

Isotype

IgG1

Theoretical MW

71 kDa.
Disclaimer note: The observed molecular weight of the protein may vary from the listed predicted molecular weight due to post translational modifications, post translation cleavages, relative charges, and other experimental factors.

Description

Novus Biologicals Mouse FMRP Antibody (OTI3B4) - Azide and BSA Free (NBP2-45689) is a monoclonal antibody validated for use in IHC, WB, Flow and ICC/IF. All Novus Biologicals antibodies are covered by our 100% guarantee.

Scientific Data Images for FMRP Antibody (OTI3B4) - Azide and BSA Free

Western Blot: FMRP Antibody (OTI3B4)Azide and BSA Free [NBP2-70761]

Western Blot: FMRP Antibody (OTI3B4)Azide and BSA Free [NBP2-70761]

Western Blot: FMRP Antibody (OTI3B4) - Azide and BSA Free [NBP2-70761] - Analysis of HEK293T cells were transfected with the pCMV6-ENTRY control (Left lane) or pCMV6-ENTRY FMR1.
Immunocytochemistry/ Immunofluorescence: FMRP Antibody (OTI3B4) - Azide and BSA Free [NBP2-70761]

Immunocytochemistry/ Immunofluorescence: FMRP Antibody (OTI3B4) - Azide and BSA Free [NBP2-70761]

Immunocytochemistry/Immunofluorescence: FMRP Antibody (OTI3B4) - Azide and BSA Free [NBP2-70761] - Analysis of COS7 cells transiently transfected by pCMV6-ENTRY FMR1.
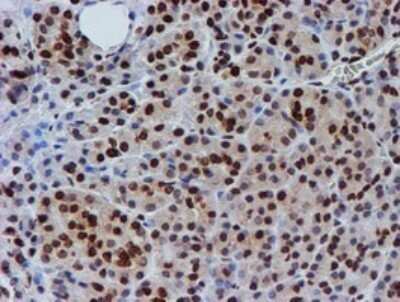
Immunohistochemistry: FMRP Antibody (OTI3B4) - Azide and BSA Free [NBP2-70761]

Immunohistochemistry: FMRP Antibody (OTI3B4) - Azide and BSA Free [NBP2-70761]

Immunohistochemistry: FMRP Antibody (OTI3B4) - Azide and BSA Free [NBP2-70761] - Analysis of Human tonsil tissue.

Applications for FMRP Antibody (OTI3B4) - Azide and BSA Free

Application
Recommended Usage

Flow Cytometry

1:100

Immunocytochemistry/ Immunofluorescence

1:100

Immunohistochemistry

1:150

Western Blot

1:500

Formulation, Preparation, and Storage

Purification

Immunogen affinity purified

Reconstitution

we recommend adding 100uL distilled water to a final antibody concentration of about 1 mg/mL. To use this carrier-free antibody for conjugation experiment, we strongly recommend performing another round of desalting process.

Formulation

Lyophilized from PBS (pH 7.3) with 8% Trehalose

Format

Azide and BSA Free

Preservative

No Preservative

Concentration

LYOPH mg/ml

Shipping

The product is shipped with polar packs. Upon receipt, store it immediately at the temperature recommended below.

Stability & Storage

Store at -20C. Avoid freeze-thaw cycles.

Background: FMRP

Alternate Names

FMRPFRAXAPOF, fragile X mental retardation 1, fragile X mental retardation 1 protein, MGC87458, POF1, premature ovarian failure 1, Protein FMR-1

Gene Symbol

FMR1

Additional FMRP Products

Product Documents for FMRP Antibody (OTI3B4) - Azide and BSA Free

Certificate of Analysis

To download a Certificate of Analysis, please enter a lot number in the search box below.

Product Specific Notices for FMRP Antibody (OTI3B4) - Azide and BSA Free

This product is for research use only and is not approved for use in humans or in clinical diagnosis. Primary Antibodies are guaranteed for 1 year from date of receipt.

Loading...
Loading...
Loading...
Loading...
Loading...
Loading...