Skip to main content

FMRP Antibody (OTI1C6)

Novus Biologicals, part of Bio-Techne | Catalog # NBP2-01770

Novus Biologicals, part of Bio-Techne
Catalog #
Availability
Size / Price
Qty
Loading...
NBP2-01770

Key Product Details

Species Reactivity

Validated:

Human, Mouse, Rat, Canine, Monkey

Cited:

Mouse

Applications

Validated:

Immunohistochemistry, Immunohistochemistry-Paraffin, Western Blot, Flow Cytometry, Immunocytochemistry/ Immunofluorescence

Cited:

Western Blot

Label

Unconjugated

Antibody Source

Monoclonal Mouse IgG1 Clone # OTI1C6

Concentration

1 mg/ml

Product Specifications

Immunogen

Human recombinant protein fragment corresponding to amino acids 36-279 of human FMR1(NP_002015) produced in E.coli.

Reactivity Notes

Please note that this antibody is reactive to Mouse and derived from the same host, Mouse. Mouse-On-Mouse blocking reagent may be needed for IHC and ICC experiments to reduce high background signal. You can find these reagents under catalog numbers PK-2200-NB and MP-2400-NB. Please contact Technical Support if you have any questions.

Clonality

Monoclonal

Host

Mouse

Isotype

IgG1

Theoretical MW

71 kDa.
Disclaimer note: The observed molecular weight of the protein may vary from the listed predicted molecular weight due to post translational modifications, post translation cleavages, relative charges, and other experimental factors.

Description

Novus Biologicals Mouse FMRP Antibody (OTI1C6) (NBP2-01770) is a monoclonal antibody validated for use in IHC, WB, Flow and ICC/IF. Anti-FMRP Antibody: Cited in 2 publications. All Novus Biologicals antibodies are covered by our 100% guarantee.

Scientific Data Images for FMRP Antibody (OTI1C6)

Western Blot: FMRP Antibody (1C6) [NBP2-01770] Analysis of extracts (35ug) from 9 different cell lines by using anti-FMRP monoclonal antibody (HepG2: human; HeLa: human; SVT2: mouse; A549: human; COS7: monkey; Jurkat: human; MDCK: canine; PC12: rat; MCF7: human).
Immunocytochemistry/ Immunofluorescence: FMRP Antibody (OTI1C6) [NBP2-01770]

Immunocytochemistry/ Immunofluorescence: FMRP Antibody (OTI1C6) [NBP2-01770]

Immunocytochemistry/Immunofluorescence: FMRP Antibody (1C6) [NBP2-01770] - Staining of COS7 cells transiently transfected by pCMV6-ENTRY FMRP.
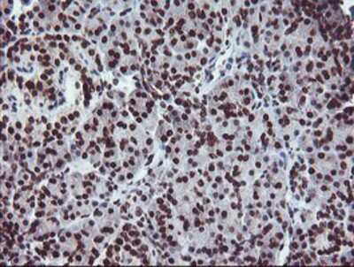
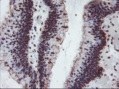
Immunohistochemistry-Paraffin: FMRP Antibody (OTI1C6) [NBP2-01770]

Immunohistochemistry-Paraffin: FMRP Antibody (OTI1C6) [NBP2-01770]

Immunohistochemistry-Paraffin: FMRP Antibody (1C6) [NBP2-01770] - Staining of paraffin-embedded Human pancreas tissue using anti-FMRP mouse monoclonal antibody.

Applications for FMRP Antibody (OTI1C6)

Application
Recommended Usage

Flow Cytometry

1:100

Immunocytochemistry/ Immunofluorescence

1:100

Immunohistochemistry

1:150

Immunohistochemistry-Paraffin

1:150

Western Blot

1:500-2000

Reviewed Applications

Read 1 review rated 4 using NBP2-01770 in the following applications:

Formulation, Preparation, and Storage

Purification

Immunogen affinity purified

Formulation

PBS (pH 7.3), 1.0% BSA and 50% Glycerol

Preservative

0.02% Sodium Azide

Concentration

1 mg/ml

Shipping

The product is shipped with polar packs. Upon receipt, store it immediately at the temperature recommended below.

Stability & Storage

Store at -20C. Avoid freeze-thaw cycles.

Background: FMRP

The protein encoded by this gene binds RNA and is associated with polysomes. The encoded protein may be involved in mRNA trafficking from the nucleus to the cytoplasm. A trinucleotide repeat (CGG) in the 5' UTR is normally found at 6-53 copies, but an expansion to 55-230 repeats is the cause of fragile X syndrome. Expansion of the trinucleotide repeat may also cause one form of premature ovarian failure (POF1). Multiple alternatively spliced transcript variants that encode different protein isoforms and which are located in different cellular locations have been described for this gene. [provided by RefSeq].

Alternate Names

FMRPFRAXAPOF, fragile X mental retardation 1, fragile X mental retardation 1 protein, MGC87458, POF1, premature ovarian failure 1, Protein FMR-1

Entrez Gene IDs

2332 (Human)

Gene Symbol

FMR1

Additional FMRP Products

Product Documents for FMRP Antibody (OTI1C6)

Certificate of Analysis

To download a Certificate of Analysis, please enter a lot number in the search box below.

Product Specific Notices for FMRP Antibody (OTI1C6)

This product is for research use only and is not approved for use in humans or in clinical diagnosis. Primary Antibodies are guaranteed for 1 year from date of receipt.

Loading...
Loading...
Loading...
Loading...
Loading...