Skip to main content

FMO3 Antibody - BSA Free

Novus Biologicals, part of Bio-Techne | Catalog # NBP1-86083

Novus Biologicals, part of Bio-Techne
Catalog #
Availability
Size / Price
Qty
Loading...
NBP1-86083

Key Product Details

Species Reactivity

Human

Applications

Immunohistochemistry, Immunohistochemistry-Paraffin, Western Blot

Label

Unconjugated

Antibody Source

Polyclonal Rabbit IgG

Format

BSA Free

Concentration

Concentrations vary lot to lot. See vial label for concentration. If unlisted please contact technical services.

Product Specifications

Immunogen

This antibody was developed against Recombinant Protein corresponding to amino acids: IYKSVFSNSSKEMMCFPDFPFPDDFPNFMHNSKIQEYIIAFAKEKNLLKYIQFKTFVSSVNKHPDFATTGQWDVTTERDGKKESAVFDAVMVCSGHHVYPNLPK

Clonality

Polyclonal

Host

Rabbit

Isotype

IgG

Description

Novus Biologicals Rabbit FMO3 Antibody - BSA Free (NBP1-86083) is a polyclonal antibody validated for use in IHC and WB. All Novus Biologicals antibodies are covered by our 100% guarantee.

Scientific Data Images for FMO3 Antibody - BSA Free

Immunohistochemistry-Paraffin: FMO3 Antibody [NBP1-86083]

Immunohistochemistry-Paraffin: FMO3 Antibody [NBP1-86083]

Immunohistochemistry-Paraffin: FMO3 Antibody [NBP1-86083] - Analysis in human liver and testis tissues using NBP1-86083 antibody. Corresponding FMO3 RNA-seq data are presented for the same tissues.
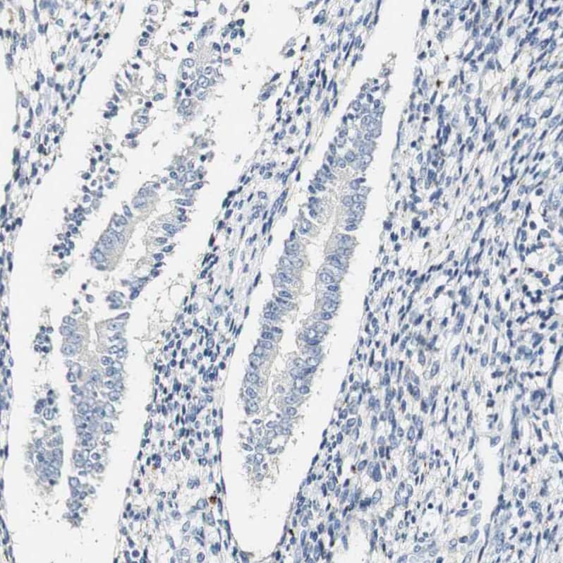
FMO3 Antibody - BSA Free Immunohistochemistry-Paraffin: FMO3 Antibody - BSA Free [NBP1-86083]

Immunohistochemistry-Paraffin: FMO3 Antibody - BSA Free [NBP1-86083]

Staining of human endometrium shows no positivity in glandular cells.
FMO3 Antibody - BSA Free Immunohistochemistry-Paraffin: FMO3 Antibody - BSA Free [NBP1-86083]

Immunohistochemistry-Paraffin: FMO3 Antibody - BSA Free [NBP1-86083]

Staining of human small intestine shows very weak positivity in glandular cells.

Applications for FMO3 Antibody - BSA Free

Application
Recommended Usage

Immunohistochemistry

1:500 - 1:1000

Immunohistochemistry-Paraffin

1:500 - 1:1000

Western Blot

0.04-0.4 ug/ml
Application Notes
For IHC-Paraffin, HIER pH 6 retrieval is recommended.

Formulation, Preparation, and Storage

Purification

Immunogen affinity purified

Formulation

PBS (pH 7.2) and 40% Glycerol

Format

BSA Free

Preservative

0.02% Sodium Azide

Concentration

Concentrations vary lot to lot. See vial label for concentration. If unlisted please contact technical services.

Shipping

The product is shipped with polar packs. Upon receipt, store it immediately at the temperature recommended below.

Stability & Storage

Store at 4C short term. Aliquot and store at -20C long term. Avoid freeze-thaw cycles.

Background: FMO3

The mammalian flavin-containing monooxygenases (FMO; EC 1.14.13.8) represent a multigene family whose gene products are localized in the endoplasmic reticulum of many tissues. These enzymes catalyze the NADPH-dependent oxidative metabolism of many drugs, pesticides, and other foreign compounds. Their substrates are soft nucleophiles with an electron-rich center, typically a nitrogen, sulfur or phosphorus-containing functional group, as the site for oxidative attack by the enzyme (Ziegler, 1990 [PubMed 2203193]; Hines et al., 1994 [PubMed 8128486]).[supplied by OMIM]

Alternate Names

dimethylaniline monooxygenase [N-oxide-forming] 3, Dimethylaniline oxidase 3, dJ127D3.1, EC 1.14.13.8, flavin containing monooxygenase 3, FMO 3, FMO form 2, FMO II, FMOII, Hepatic flavin-containing monooxygenase 3, hepatic flavin-containing monooxygenase-3, MGC34400, TMAU

Gene Symbol

FMO3

Additional FMO3 Products

Product Documents for FMO3 Antibody - BSA Free

Certificate of Analysis

To download a Certificate of Analysis, please enter a lot number in the search box below.

Product Specific Notices for FMO3 Antibody - BSA Free

This product is for research use only and is not approved for use in humans or in clinical diagnosis. Primary Antibodies are guaranteed for 1 year from date of receipt.

Loading...
Loading...
Loading...
Loading...